验证数据展示
经过测试的应用
| Positive WB detected in | HeLa cells, K-562 cells |
| Positive IP detected in | K-562 cells |
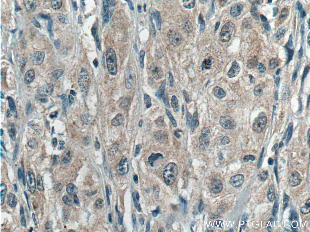
| Positive IHC detected in | human cervical cancer tissue Note: suggested antigen retrieval with TE buffer pH 9.0; (*) Alternatively, antigen retrieval may be performed with citrate buffer pH 6.0 |
| Positive IF/ICC detected in | MCF-7 cells |
推荐稀释比
| 应用 | 推荐稀释比 |
|---|---|
| Western Blot (WB) | WB : 1:500-1:2000 |
| Immunoprecipitation (IP) | IP : 0.5-4.0 ug for 1.0-3.0 mg of total protein lysate |
| Immunohistochemistry (IHC) | IHC : 1:50-1:500 |
| Immunofluorescence (IF)/ICC | IF/ICC : 1:20-1:200 |
| It is recommended that this reagent should be titrated in each testing system to obtain optimal results. | |
| Sample-dependent, Check data in validation data gallery. | |
发表文章中的应用
| WB | See 1 publications below |
产品信息
14913-1-AP targets UROS in WB, IHC, IF/ICC, IP, ELISA applications and shows reactivity with human, mouse, rat samples.
| 经测试应用 | WB, IHC, IF/ICC, IP, ELISA Application Description |
| 文献引用应用 | WB |
| 经测试反应性 | human, mouse, rat |
| 文献引用反应性 | human |
| 免疫原 |
CatNo: Ag6711 Product name: Recombinant human UROS protein Source: e coli.-derived, PGEX-4T Tag: GST Domain: 1-265 aa of BC002573 Sequence: MKVLLLKDAKEDDCGQDPYIRELGLYGLEATLIPVLSFEFLSLPSFSEKLSHPEDYGGLIFTSPRAVEAAELCLEQNNKTEVWERSLKEKWNAKSVYVVGNATASLVSKIGLDTEGETCGNAEKLAEYICSRESSALPLLFPCGNLKREILPKALKDKGIAMESITVYQTVAHPGIQGNLNSYYSQQGVPASITFFSPSGLTYSLKHIQELSGDNIDQIKFAAIGPTTARALAAQGLPVSCTAESPTPQALATGIRKALQPHGCC 种属同源性预测 |
| 宿主/亚型 | Rabbit / IgG |
| 抗体类别 | Polyclonal |
| 产品类型 | Antibody |
| 全称 | uroporphyrinogen III synthase |
| 别名 | Uroporphyrinogen-III synthase, Uroporphyrinogen-III cosynthase, uroporphyrinogen III synthase, UROIIIS, EC:4.2.1.75 |
| 计算分子量 | 29 kDa |
| 观测分子量 | 29 kDa |
| GenBank蛋白编号 | BC002573 |
| 基因名称 | UROS |
| Gene ID (NCBI) | 7390 |
| RRID | AB_2213824 |
| 偶联类型 | Unconjugated |
| 形式 | Liquid |
| 纯化方式 | Antigen affinity purification |
| UNIPROT ID | P10746 |
| 储存缓冲液 | PBS with 0.02% sodium azide and 50% glycerol, pH 7.3. |
| 储存条件 | Store at -20°C. Stable for one year after shipment. Aliquoting is unnecessary for -20oC storage. |
实验方案
| Product Specific Protocols | |
|---|---|
| IF protocol for UROS antibody 14913-1-AP | Download protocol |
| IHC protocol for UROS antibody 14913-1-AP | Download protocol |
| IP protocol for UROS antibody 14913-1-AP | Download protocol |
| WB protocol for UROS antibody 14913-1-AP | Download protocol |
| Standard Protocols | |
|---|---|
| Click here to view our Standard Protocols |






