验证数据展示
经过测试的应用
| Positive WB detected in | HeLa cells, pig brain tissue, human placenta tissue, pig heart tissue, pig kidney, rat brain tissue, mouse brain tissue |
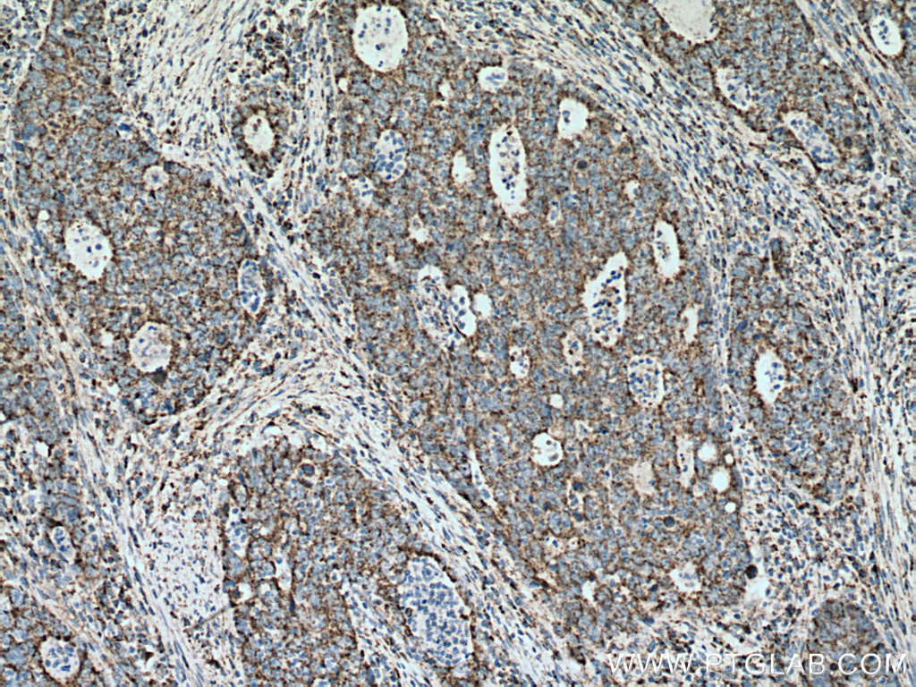
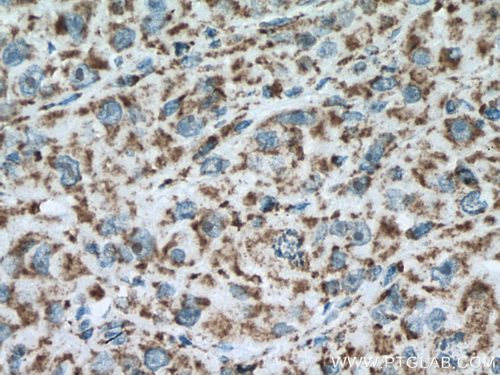
| Positive IHC detected in | human colon cancer tissue, human liver cancer tissue Note: suggested antigen retrieval with TE buffer pH 9.0; (*) Alternatively, antigen retrieval may be performed with citrate buffer pH 6.0 |
推荐稀释比
| 应用 | 推荐稀释比 |
|---|---|
| Western Blot (WB) | WB : 1:5000-1:50000 |
| Immunohistochemistry (IHC) | IHC : 1:500-1:2000 |
| It is recommended that this reagent should be titrated in each testing system to obtain optimal results. | |
| Sample-dependent, Check data in validation data gallery. | |
发表文章中的应用
| WB | See 9 publications below |
产品信息
67547-1-Ig targets UQCRC2 in WB, IHC, ELISA applications and shows reactivity with human, mouse, rat, pig samples.
| 经测试应用 | WB, IHC, ELISA Application Description |
| 文献引用应用 | WB |
| 经测试反应性 | human, mouse, rat, pig |
| 文献引用反应性 | human, mouse, rat |
| 免疫原 |
CatNo: Ag6874 Product name: Recombinant human UQCRC2 protein Source: e coli.-derived, PET28a Tag: 6*His Domain: 103-453 aa of BC000484 Sequence: IEAVGGKLSVTATRENMAYTVECLRGDVDILMEFLLNVTTAPEFRRWEVADLQPQLKIDKAVAFQNPQTHVIENLHAAAYRNALANPLYCPDYRIGKVTSEELHYFVQNHFTSARMALIGLGVSHPVLKQVAEQFLNMRGGLGLSGAKANYRGGEIREQNGDSLVHAAFVAESAVAGSAEANAFSVLQHVLGAGPHVKRGSNTTSHLHQAVAKATQQPFDVSAFNASYSDSGLFGIYTISQATAAGDVIKAAYNQVKTIAQGNLSNTDVQAAKNKLKAGYLMSVESSECFLEEVGSQALVAGSYMPPSTVLQQIDSVANADIINAAKKFVSGQKSMAASGNLGHTPFVDEL 种属同源性预测 |
| 宿主/亚型 | Mouse / IgG1 |
| 抗体类别 | Monoclonal |
| 产品类型 | Antibody |
| 全称 | ubiquinol-cytochrome c reductase core protein II |
| 别名 | 1A5G11, Complex III subunit 2, Core protein II, Cytochrome b-c1 complex subunit 2, mitochondrial, QCR2 |
| 计算分子量 | 48 kDa |
| 观测分子量 | 48 kDa |
| GenBank蛋白编号 | BC000484 |
| 基因名称 | UQCRC2 |
| Gene ID (NCBI) | 7385 |
| RRID | AB_2882763 |
| 偶联类型 | Unconjugated |
| 形式 | Liquid |
| 纯化方式 | Protein G purification |
| UNIPROT ID | P22695 |
| 储存缓冲液 | PBS with 0.02% sodium azide and 50% glycerol, pH 7.3. |
| 储存条件 | Store at -20°C. Stable for one year after shipment. Aliquoting is unnecessary for -20oC storage. |
实验方案
| Product Specific Protocols | |
|---|---|
| IHC protocol for UQCRC2 antibody 67547-1-Ig | Download protocol |
| WB protocol for UQCRC2 antibody 67547-1-Ig | Download protocol |
| Standard Protocols | |
|---|---|
| Click here to view our Standard Protocols |
发表文章
| Species | Application | Title |
|---|---|---|
J Transl Med DMC-BH derivative DMC-GF inhibits the growth of glioma stem cells by targeting the TRIM33/SLC25A1/mitochondrial oxidative phosphorylation pathway | ||
Phytomedicine Zhen Wu decoction represses renal fibrosis by invigorating tubular NRF2 and TFAM to fuel mitochondrial bioenergetics | ||
Phytother Res Rutin-activated adipose tissue thermogenesis is correlated with increased intestinal short-chain fatty acid levels. | ||
Sci Total Environ Fluoride impairs mitochondrial translation by targeting miR-221-3p/c-Fos/RMND1 axis contributing to neurodevelopment defects | ||
Cell Death Dis BNIP3-mediated mitophagy boosts the competitive growth of Lenvatinib-resistant cells via energy metabolism reprogramming in HCC |







