验证数据展示
经过测试的应用
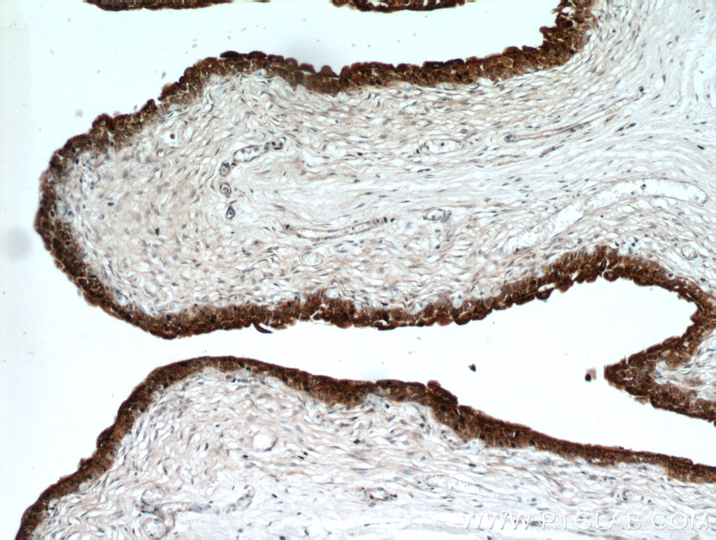
| Positive IHC detected in | human bladder tissue, mouse bladder tissue Note: suggested antigen retrieval with TE buffer pH 9.0; (*) Alternatively, antigen retrieval may be performed with citrate buffer pH 6.0 |
推荐稀释比
| 应用 | 推荐稀释比 |
|---|---|
| Immunohistochemistry (IHC) | IHC : 1:50-1:500 |
| It is recommended that this reagent should be titrated in each testing system to obtain optimal results. | |
| Sample-dependent, Check data in validation data gallery. | |
产品信息
21149-1-AP targets UPK2 in WB, IHC, IF, ELISA applications and shows reactivity with human, mouse samples.
| 经测试应用 | IHC, ELISA Application Description |
| 文献引用应用 | WB, IHC, IF |
| 经测试反应性 | human, mouse |
| 文献引用反应性 | human, mouse, rat |
| 免疫原 |
CatNo: Ag15694 Product name: Recombinant human UPK2 protein Source: e coli.-derived, PGEX-4T Tag: GST Domain: 41-168 aa of BC113900 Sequence: TESLLVALPPCHLTGGNATLMVRRANDSKVVTSSFVVPPCRGRRELVSVVDSGAGFTVTRLSAYQVTNLVPGTKFYISYLVKKGTATESSREIPMSTLPRRNMESIGLGMARTGGMVVITVLLSVAMF 种属同源性预测 |
| 宿主/亚型 | Rabbit / IgG |
| 抗体类别 | Polyclonal |
| 产品类型 | Antibody |
| 全称 | uroplakin 2 |
| 别名 | UP2, UPII, upk 2, UPK2, uroplakin 2, Uroplakin II |
| 计算分子量 | 184 aa, 19 kDa |
| 观测分子量 | 28 kDa |
| GenBank蛋白编号 | BC113900 |
| 基因名称 | UPK2 |
| Gene ID (NCBI) | 7379 |
| RRID | AB_10755290 |
| 偶联类型 | Unconjugated |
| 形式 | Liquid |
| 纯化方式 | Antigen affinity purification |
| UNIPROT ID | O00526 |
| 储存缓冲液 | PBS with 0.02% sodium azide and 50% glycerol, pH 7.3. |
| 储存条件 | Store at -20°C. Stable for one year after shipment. Aliquoting is unnecessary for -20oC storage. |
背景介绍
Uroplakins are a group of urothelial differentiation-related membrane proteins. They are components of the asymmetric unit membrane (AUM), which forms the apical plaques of mammalian urothelium and is believed to play a role in strengthening the urothelial apical surface thus preventing the cells from rupturing during bladder distention (PMID: 8175808). Uroplakin-2 (UPK2) is a single-pass type I membrane protein. UPK2 may play an important role in regulating the assembly of the AUM.
实验方案
| Product Specific Protocols | |
|---|---|
| IHC protocol for UPK2 antibody 21149-1-AP | Download protocol |
| Standard Protocols | |
|---|---|
| Click here to view our Standard Protocols |
发表文章
| Species | Application | Title |
|---|---|---|
Biofabrication Construction of a three-dimensional urothelium on-chip with barrier function based on urinary flow microenvironment | ||
Sci Rep Direct conversion of fibroblasts into urothelial cells that may be recruited to regenerating mucosa of injured urinary bladder. | ||
Int J Mol Sci Involvement of Mast-Cell-Tryptase- and Protease-Activated Receptor 2-Mediated Signaling and Urothelial Barrier Dysfunction with Reduced Uroplakin II Expression in Bladder Hyperactivity Induced by Chronic Bladder Ischemia in the Rat | ||
Adv Sci (Weinh) In Situ Transformable Nanoparticle Effectively Suppresses Bladder Cancer by Damaging Mitochondria and Blocking Mitochondrial Autophagy Flux | ||
Exp Cell Res Mapping the initial effects of carcinogen-induced oncogenic transformation in the mouse bladder | ||
Biomark Res S100A9 as a potential novel target for experimental autoimmune cystitis and interstitial cystitis/bladder pain syndrome |




