验证数据展示
经过测试的应用
| Positive IP detected in | mouse bladder tissue |
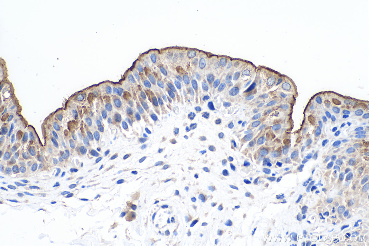
| Positive IHC detected in | human bladder tissue, rat bladder tissue, mouse bladder tissue Note: suggested antigen retrieval with TE buffer pH 9.0; (*) Alternatively, antigen retrieval may be performed with citrate buffer pH 6.0 |
推荐稀释比
| 应用 | 推荐稀释比 |
|---|---|
| Immunoprecipitation (IP) | IP : 0.5-4.0 ug for 1.0-3.0 mg of total protein lysate |
| Immunohistochemistry (IHC) | IHC : 1:2500-1:10000 |
| It is recommended that this reagent should be titrated in each testing system to obtain optimal results. | |
| Sample-dependent, Check data in validation data gallery. | |
发表文章中的应用
| IHC | See 1 publications below |
| IF | See 1 publications below |
产品信息
25275-1-AP targets UPK1A in IP, IF, IHC, ELISA applications and shows reactivity with human, mouse, rat samples.
| 经测试应用 | IP, IHC, ELISA Application Description |
| 文献引用应用 | IF, IHC |
| 经测试反应性 | human, mouse, rat |
| 文献引用反应性 | human |
| 免疫原 |
CatNo: Ag17356 Product name: Recombinant human UPK1A protein Source: e coli.-derived, PET28a Tag: 6*His Domain: 111-230 aa of BC107098 Sequence: CITSYTHRDYMVSNPSLITKQMLTFYSADTDQGQELTRLWDRVMIEQECCGTSGPMDWVNFTSAFRAATPEVVFPWPPLCCRRTGNFIPLNEEGCRLGHMDYLFTKGCFEHIGHAIDSYT 种属同源性预测 |
| 宿主/亚型 | Rabbit / IgG |
| 抗体类别 | Polyclonal |
| 产品类型 | Antibody |
| 全称 | uroplakin 1A |
| 别名 | Tetraspanin 21, Tspan 21, TSPAN21, UP1A, UPIA, UPK1A, UPKA, uroplakin 1A, Uroplakin Ia |
| 计算分子量 | 258 aa, 29 kDa |
| 观测分子量 | 29 kDa |
| GenBank蛋白编号 | BC107098 |
| 基因名称 | UPK1A |
| Gene ID (NCBI) | 11045 |
| RRID | AB_2880000 |
| 偶联类型 | Unconjugated |
| 形式 | Liquid |
| 纯化方式 | Antigen affinity purification |
| UNIPROT ID | O00322 |
| 储存缓冲液 | PBS with 0.02% sodium azide and 50% glycerol, pH 7.3. |
| 储存条件 | Store at -20°C. Stable for one year after shipment. Aliquoting is unnecessary for -20oC storage. |
背景介绍
Uroplakins are a group of urothelial differentiation-related membrane proteins. They are components of the asymmetric unit membrane (AUM), which forms the apical plaques of mammalian urothelium and is believed to play a role in strengthening the urothelial apical surface thus preventing the cells from rupturing during bladder distention (PMID: 8175808). Uroplakin-1a (UPK1A) belongs to the tetraspanin (TM4SF) family. UPK1A plays an important role in normal bladder epithelial physiology, possibly in regulating membrane permeability of superficial umbrella cells or in stabilizing the apical membrane.
实验方案
| Product Specific Protocols | |
|---|---|
| IHC protocol for UPK1A antibody 25275-1-AP | Download protocol |
| IP protocol for UPK1A antibody 25275-1-AP | Download protocol |
| Standard Protocols | |
|---|---|
| Click here to view our Standard Protocols |
发表文章
| Species | Application | Title |
|---|---|---|
Stem Cells Int Pyridoxal-5'-Phosphate Promotes Immunomodulatory Function of Adipose-Derived Mesenchymal Stem Cells through Indoleamine 2,3-Dioxygenase-1 and TLR4/NF-κB Pathway. | ||
Int J Urol Differential effects of adipose tissue stromal cells on the apoptosis, growth and invasion of bladder urothelial carcinoma between the superficial and invasive types. |






