验证数据展示
经过测试的应用
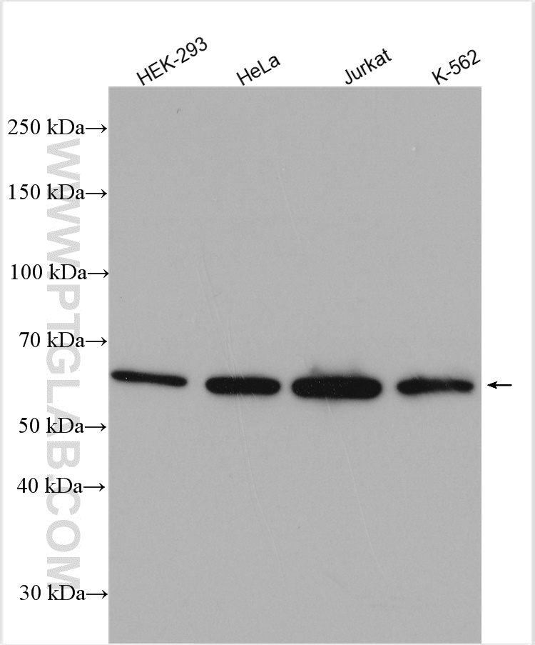
| Positive WB detected in | HeLa cells, HEK-293 cells, K-562 cells, Jurkat cells, mouse brain tissue |
| Positive IHC detected in | human ovary tumor tissue, human skeletal muscle tissue, human heart tissue Note: suggested antigen retrieval with TE buffer pH 9.0; (*) Alternatively, antigen retrieval may be performed with citrate buffer pH 6.0 |
推荐稀释比
| 应用 | 推荐稀释比 |
|---|---|
| Western Blot (WB) | WB : 1:1000-1:6000 |
| Immunohistochemistry (IHC) | IHC : 1:50-1:500 |
| It is recommended that this reagent should be titrated in each testing system to obtain optimal results. | |
| Sample-dependent, Check data in validation data gallery. | |
发表文章中的应用
| KD/KO | See 1 publications below |
| WB | See 1 publications below |
| IHC | See 1 publications below |
产品信息
23301-1-AP targets UPF3B in WB, IHC, ELISA applications and shows reactivity with human, mouse, rat samples.
| 经测试应用 | WB, IHC, ELISA Application Description |
| 文献引用应用 | WB, IHC |
| 经测试反应性 | human, mouse, rat |
| 文献引用反应性 | human |
| 免疫原 |
CatNo: Ag18568 Product name: Recombinant human UPF3B protein Source: e coli.-derived, PGEX-4T Tag: GST Domain: 288-470 aa of BC121017 Sequence: AKKLDKENLSDERASGQSCTLPKRSDSELKDEKPKRPEDESGRDYREREREYERDQEHILRERERLKRQEEERRRQKERYEKEKTFKRKEEEMKKEKDTLRDKGKKAESTESIGSSEKTEKKEEVVKRDRIRNKDRPAMQLYQPGARSRNRLCPPDDSTKSGDSAAERKQESGISHRKEGGEE 种属同源性预测 |
| 宿主/亚型 | Rabbit / IgG |
| 抗体类别 | Polyclonal |
| 产品类型 | Antibody |
| 全称 | UPF3 regulator of nonsense transcripts homolog B (yeast) |
| 别名 | RENT3B, hUpf3B, hUpf3p X, hUpf3p-X, MRXS14 |
| 计算分子量 | 483 aa, 58 kDa |
| 观测分子量 | 58 kDa |
| GenBank蛋白编号 | BC121017 |
| 基因名称 | UPF3B |
| Gene ID (NCBI) | 65109 |
| RRID | AB_2879249 |
| 偶联类型 | Unconjugated |
| 形式 | Liquid |
| 纯化方式 | Antigen affinity purification |
| UNIPROT ID | Q9BZI7 |
| 储存缓冲液 | PBS with 0.02% sodium azide and 50% glycerol, pH 7.3. |
| 储存条件 | Store at -20°C. Stable for one year after shipment. Aliquoting is unnecessary for -20oC storage. |
背景介绍
Regulator of nonsense transcripts 3B (UPF3B) is also named as RENT3B, and belongs to the RENT3 family. UPF3B is a core junction protein in the Nonsense-mediated RNA decay (NMD) pathway, involved in the exonuclear transport and quality supervision of mRNA. And UPF3B showed heightened expression in hepatocellular carcinoma (HCC) tissues and was linked with adverse prognosis (PMID: 38889220). UPF3B promotes the dissociation of post-termination ribosomal complexes that lack nascent peptide. UPF3B could promote ribosome recycling, and UPF3B serves as a direct regulator of translation termination (PMID: 29333258).
实验方案
| Product Specific Protocols | |
|---|---|
| IHC protocol for UPF3B antibody 23301-1-AP | Download protocol |
| WB protocol for UPF3B antibody 23301-1-AP | Download protocol |
| Standard Protocols | |
|---|---|
| Click here to view our Standard Protocols |
发表文章
| Species | Application | Title |
|---|---|---|
Front Genet Molecular Characterization and Clinical Relevance of RNA Binding Proteins in Colorectal Cancer. | ||
Int J Mol Med RBM8A promotes gastric cancer progression by binding with UPF3B to induce BBC3 mRNA degradation | ||







