验证数据展示
经过测试的应用
| Positive WB detected in | HT-29 cells, HuH-7 cells, HeLa cells |
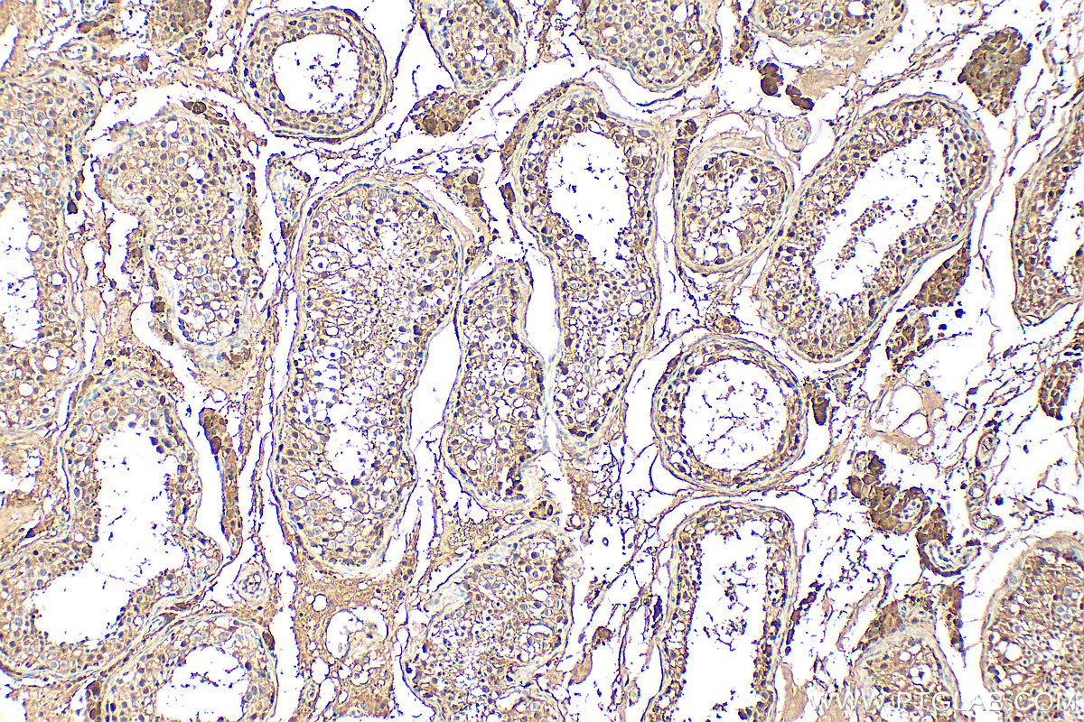
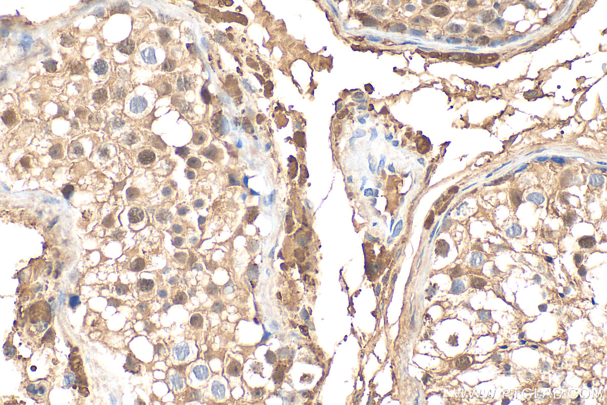
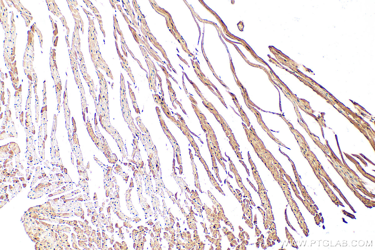
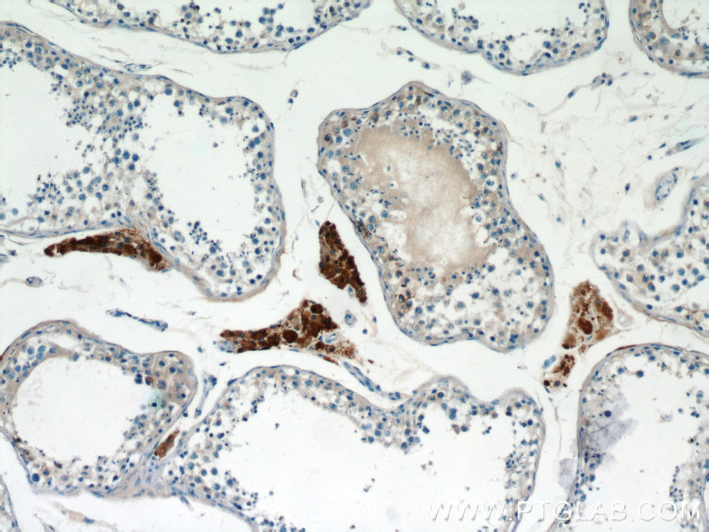
| Positive IHC detected in | human testis tissue, mouse heart tissue Note: suggested antigen retrieval with TE buffer pH 9.0; (*) Alternatively, antigen retrieval may be performed with citrate buffer pH 6.0 |
| Positive IF/ICC detected in | HeLa cells |
推荐稀释比
| 应用 | 推荐稀释比 |
|---|---|
| Western Blot (WB) | WB : 1:500-1:2000 |
| Immunohistochemistry (IHC) | IHC : 1:200-1:800 |
| Immunofluorescence (IF)/ICC | IF/ICC : 1:50-1:500 |
| It is recommended that this reagent should be titrated in each testing system to obtain optimal results. | |
| Sample-dependent, Check data in validation data gallery. | |
发表文章中的应用
| WB | See 2 publications below |
产品信息
12394-1-AP targets UNG in WB, IHC, IF/ICC, ELISA applications and shows reactivity with human, mouse, rat samples.
| 经测试应用 | WB, IHC, IF/ICC, ELISA Application Description |
| 文献引用应用 | WB |
| 经测试反应性 | human, mouse, rat |
| 文献引用反应性 | human |
| 免疫原 |
CatNo: Ag3072 Product name: Recombinant human UNG protein Source: e coli.-derived, PGEX-4T Tag: GST Domain: 1-304 aa of BC015205 Sequence: MGVFCLGPWGLGRKLRTPGKGPLQLLSRLCGDHLQAIPAKKAPAGQEEPGTPPSSPLSAEQLDRIQRNKAAALLRLAARNVPVGFGESWKKHLSGEFGKPYFIKLMGFVAEERKHYTVYPPPHQVFTWTQMCDIKDVKVVILGQDPYHGPNQAHGLCFSVQRPVPPPPSLENIYKELSTDIEDFVHPGHGDLSGWAKQGVLLLNAVLTVRAHQANSHKERGWEQFTDAVVSWLNQNSNGLVFLLWGSYAQKKGSAIDRKRHHVLQTAHPSPLSVYRGFFGCRHFSKTNELLQKSGKKPIDWKEL 种属同源性预测 |
| 宿主/亚型 | Rabbit / IgG |
| 抗体类别 | Polyclonal |
| 产品类型 | Antibody |
| 全称 | uracil-DNA glycosylase |
| 别名 | DGU, EC:3.2.2.27, UNG1, Uracil-DNA glycosylase |
| 计算分子量 | 304 aa, 34 kDa |
| 观测分子量 | 28 kDa, 34-40 kDa |
| GenBank蛋白编号 | BC015205 |
| 基因名称 | UNG |
| Gene ID (NCBI) | 7374 |
| RRID | AB_10734597 |
| 偶联类型 | Unconjugated |
| 形式 | Liquid |
| 纯化方式 | Antigen affinity purification |
| UNIPROT ID | P13051 |
| 储存缓冲液 | PBS with 0.02% sodium azide and 50% glycerol, pH 7.3. |
| 储存条件 | Store at -20°C. Stable for one year after shipment. Aliquoting is unnecessary for -20oC storage. |
背景介绍
UNG(Uracil-DNA glycosylase) removes uracil in DNA resulting from deamination of cytosine or replicative incorporation of dUMP instead of dTMP. Thus, UNG plays a role in suppressing GC-to-AT transition mutations.The UNG gene encodes 2 isoforms that are individually targeted to the mitochondria and the nucleus(PMID:12369930). Defects in UNG are a cause of immunodeficiency with hyper-IgM type 5 (HIGM5).
实验方案
| Product Specific Protocols | |
|---|---|
| IF protocol for UNG antibody 12394-1-AP | Download protocol |
| IHC protocol for UNG antibody 12394-1-AP | Download protocol |
| WB protocol for UNG antibody 12394-1-AP | Download protocol |
| Standard Protocols | |
|---|---|
| Click here to view our Standard Protocols |
发表文章
| Species | Application | Title |
|---|---|---|
Dev Cell Fam72a functions as a cell-cycle-controlled gene during proliferation and antagonizes apoptosis through reprogramming PP2A substrates | ||
Mol Cell Uracil processing by SMUG1 in the absence of UNG triggers homologous recombination and selectively kills BRCA1/2-deficient tumors |






