验证数据展示
经过测试的应用
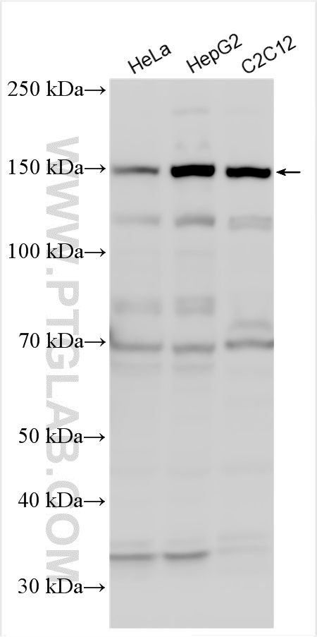
| Positive WB detected in | HeLa cells, C2C12 cells, HepG2 cells, HSC-T6 cellls |
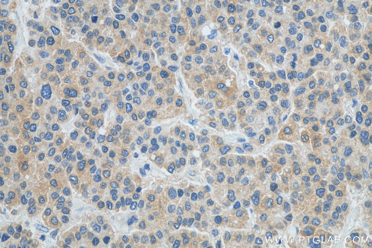
| Positive IHC detected in | mouse skeletal muscle tissue, human liver cancer tissue Note: suggested antigen retrieval with TE buffer pH 9.0; (*) Alternatively, antigen retrieval may be performed with citrate buffer pH 6.0 |
| Positive IF/ICC detected in | HeLa cells |
推荐稀释比
| 应用 | 推荐稀释比 |
|---|---|
| Western Blot (WB) | WB : 1:500-1:2000 |
| Immunohistochemistry (IHC) | IHC : 1:50-1:500 |
| Immunofluorescence (IF)/ICC | IF/ICC : 1:50-1:500 |
| It is recommended that this reagent should be titrated in each testing system to obtain optimal results. | |
| Sample-dependent, Check data in validation data gallery. | |
发表文章中的应用
| WB | See 2 publications below |
| IHC | See 1 publications below |
产品信息
27352-1-AP targets ULK1 in WB, IHC, IF/ICC, ELISA applications and shows reactivity with human, mouse, rat samples.
| 经测试应用 | WB, IHC, IF/ICC, ELISA Application Description |
| 文献引用应用 | WB, IHC |
| 经测试反应性 | human, mouse, rat |
| 文献引用反应性 | human |
| 免疫原 |
CatNo: Ag22397 Product name: Recombinant human ULK1 protein Source: e coli.-derived, PET28a Tag: 6*His Domain: 17-466 aa of NM_003565 Sequence: SRKDLIGHGAFAVVFKGRHREKHDLEVAVKCINKKNLAKSQTLLGKEIKILKELKHENIVALYDFQEMANSVYLVMEYCNGGDLADYLHAMRTLSEDTIRLFLQQIAGAMRLLHSKGIIHRDLKPQNILLSNPAGRRANPNSIRVKIADFGFARYLQSNMMAATLCGSPMYMAPEVIMSQHYDGKADLWSIGTIVYQCLTGKAPFQASSPQDLRLFYEKNKTLVPTIPRETSAPLRQLLLALLQRNHKDRMDFDEFFHHPFLDASPSVRKSPPVPVPSYPSSGSGSSSSSSSTSHLASPPSLGEMQQLQKTLASPADTAGFLHSSRDSGGSKDSSCDTDDFVMVPAQFPGDLVAEAPSAKPPPDSLMCSGSSLVASAGLESHGRTPSPSPPCSSSPSPSGRAGPFSSSRCGASVPIPVPTQVQNYQRIERNLQSPTQFQTPRSSAIRRSG 种属同源性预测 |
| 宿主/亚型 | Rabbit / IgG |
| 抗体类别 | Polyclonal |
| 产品类型 | Antibody |
| 全称 | unc-51-like kinase 1 (C. elegans) |
| 别名 | Serine/threonine-protein kinase ULK1, KIAA0722, hATG1, EC:2.7.11.1, Autophagy-related protein 1 homolog |
| 观测分子量 | 140-150 kDa |
| GenBank蛋白编号 | NM_003565 |
| 基因名称 | ULK1 |
| Gene ID (NCBI) | 8408 |
| RRID | AB_3085951 |
| 偶联类型 | Unconjugated |
| 形式 | Liquid |
| 纯化方式 | Antigen affinity purification |
| UNIPROT ID | O75385 |
| 储存缓冲液 | PBS with 0.02% sodium azide and 50% glycerol, pH 7.3. |
| 储存条件 | Store at -20°C. Stable for one year after shipment. Aliquoting is unnecessary for -20oC storage. |
背景介绍
ULK1, also named as KIAA0722, belongs to the protein kinase superfamily, Ser/Thr protein kinase family and APG1/unc-51/ULK1 subfamily. It is involved in autophagy. ULK1 is required for autophagosome formation. It forms a stable complex with Atg13 and focal adhesion kinase (FAK) family interacting protein of 200 kDa (FIP 200)(PMID:21460634). ULK1 phosphorylates ATG13/KIAA0652. It is involved in axon growth. ULK1 plays an essential role in neurite extension of cerebellar granule cells. ULK1 represents a potential novel prognostic biomarker for HCC patients and may play an important role during the progression of HCC(PMID:23573318). ULK1 is a 113 kDa protein that it also can be detected a band of 150 kDa through the western blot (PMID: 32904616, PMID: 32899862, PMID: 37270528).
实验方案
| Product Specific Protocols | |
|---|---|
| WB protocol for ULK1 antibody 27352-1-AP | Download protocol |
| IHC protocol for ULK1 antibody 27352-1-AP | Download protocol |
| IF protocol for ULK1 antibody 27352-1-AP | Download protocol |
| Standard Protocols | |
|---|---|
| Click here to view our Standard Protocols |
发表文章
| Species | Application | Title |
|---|---|---|
Mol Carcinog Zinc Finger Protein 263 Augments Autophagy and Promotes Intrahepatic Cholangiocarcinoma Proliferation | ||
Bone Res IGF2BP3-mediated m6A modification of RASGRF1 promoting joint injury in rheumatoid arthritis |







