验证数据展示
经过测试的应用
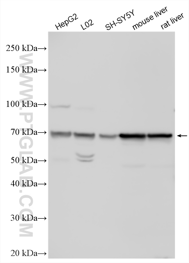
| Positive WB detected in | HepG2 cells, L02 cells, SH-SY5Y cells, mouse liver tissue, rat liver tissue |
推荐稀释比
| 应用 | 推荐稀释比 |
|---|---|
| Western Blot (WB) | WB : 1:500-1:2000 |
| It is recommended that this reagent should be titrated in each testing system to obtain optimal results. | |
| Sample-dependent, Check data in validation data gallery. | |
产品信息
23495-1-AP targets UGT1A1 in WB, IHC, IF, ELISA applications and shows reactivity with human, mouse, rat samples.
| 经测试应用 | WB, ELISA Application Description |
| 文献引用应用 | WB, IHC, IF |
| 经测试反应性 | human, mouse, rat |
| 文献引用反应性 | human, mouse, rat |
| 免疫原 |
CatNo: Ag19001 Product name: Recombinant human UGT1A1 protein Source: e coli.-derived, PET28a Tag: 6*His Domain: 26-263 aa of BC128415 Sequence: HAGKILLIPVDGSHWLSMLGAIQQLQQRGHEIVVLAPDASLYIRDGAFYTLKTYPVPFQREDVKESFVSLGHNVFENDSFLQRVIKTYKKIKKDSAMLLSGCSHLLHNKELMASLAESSFDVMLTDPFLPCSPIVAQYLSLPTVFFLHALPCSLEFEATQCPNPFSYVPRPLSSHSDHMTFLQRVKNMLIAFSQNFLCDVVYSPYATLASEFLQREVTVQDLLSSASVWLFRSDFVKD 种属同源性预测 |
| 宿主/亚型 | Rabbit / IgG |
| 抗体类别 | Polyclonal |
| 产品类型 | Antibody |
| 全称 | UDP glucuronosyltransferase 1 family, polypeptide A1 |
| 别名 | Bilirubin-specific UDPGT isozyme 1, EC:2.4.1.17, GNT1, HUG BR1, hUG-BR1 |
| 计算分子量 | 533 aa, 60 kDa |
| 观测分子量 | 50-60 kDa, 65-70 kDa |
| GenBank蛋白编号 | BC128415 |
| 基因名称 | UGT1A1 |
| Gene ID (NCBI) | 54658 |
| RRID | AB_2879286 |
| 偶联类型 | Unconjugated |
| 形式 | Liquid |
| 纯化方式 | Antigen Affinity purified |
| UNIPROT ID | P22309 |
| 储存缓冲液 | PBS with 0.02% sodium azide and 50% glycerol, pH 7.3. |
| 储存条件 | Store at -20°C. Stable for one year after shipment. Aliquoting is unnecessary for -20oC storage. |
背景介绍
UDP-glucuronosyltransferase 1A1 (UGT1A1) is one of nine transferases encoded on the UGT1 locus. Developmental regulation of the UGT1A1 gene is an important process that is needed to achieve normal levels of serum total bilirubin (TB). UGT1A1 is a 50-60 kda member of the UGT1A subfamily, and can be detected as 65-70 kda band after posttranslational modification.
实验方案
| Product Specific Protocols | |
|---|---|
| WB protocol for UGT1A1 antibody 23495-1-AP | Download protocol |
| Standard Protocols | |
|---|---|
| Click here to view our Standard Protocols |
发表文章
| Species | Application | Title |
|---|---|---|
J Mol Biol Silencing of Aberrant Secretory Protein Expression by Disease-Associated Mutations. | ||
Phytomedicine Oleanolic acid alleviates ANIT-induced cholestatic liver injury by activating Fxr and Nrf2 pathways to ameliorate disordered bile acids homeostasis. | ||
Phytomedicine NRF2 and FXR dual signaling pathways cooperatively regulate the effects of oleanolic acid on cholestatic liver injury | ||
Pathogens Dysregulated Glucuronidation of Bilirubin Exacerbates Liver Inflammation and Fibrosis in Schistosomiasis Japonica through the NF-κB Signaling Pathway | ||
Front Nutr The Protective Effect of Sulforaphane on Dextran Sulfate Sodium-Induced Colitis Depends on Gut Microbial and Nrf2-Related Mechanism. | ||
Metabolites The Glycosyltransferase Pathway: An Integrated Analysis of the Cell Metabolome |
