验证数据展示
经过测试的应用
| Positive WB detected in | HeLa cells, HepG2 cells, mouse brain tissue, rat brain tissue |
| Positive IP detected in | mouse brain tissue |
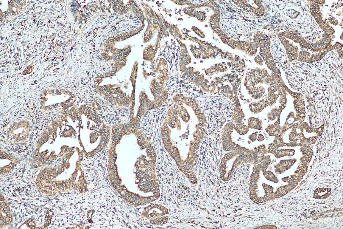
| Positive IHC detected in | human pancreas cancer tissue, human colon cancer tissue Note: suggested antigen retrieval with TE buffer pH 9.0; (*) Alternatively, antigen retrieval may be performed with citrate buffer pH 6.0 |
推荐稀释比
| 应用 | 推荐稀释比 |
|---|---|
| Western Blot (WB) | WB : 1:500-1:2000 |
| Immunoprecipitation (IP) | IP : 0.5-4.0 ug for 1.0-3.0 mg of total protein lysate |
| Immunohistochemistry (IHC) | IHC : 1:50-1:500 |
| It is recommended that this reagent should be titrated in each testing system to obtain optimal results. | |
| Sample-dependent, Check data in validation data gallery. | |
产品信息
14170-1-AP targets UGCGL1 in WB, IHC, IF, IP, ELISA applications and shows reactivity with human, mouse, rat samples.
| 经测试应用 | WB, IHC, IP, ELISA Application Description |
| 文献引用应用 | WB, IHC, IF, IP |
| 经测试反应性 | human, mouse, rat |
| 文献引用反应性 | human, mouse, rat |
| 免疫原 |
CatNo: Ag5369 Product name: Recombinant human UGCGL1 protein Source: e coli.-derived, PGEX-4T Tag: GST Domain: 1221-1531 aa of BC041098 Sequence: TEEVKQDKDDIINIFSVASGHLYERFLRIMMLSVLKNTKTPVKFWFLKNYLSPTFKEFIPYMANEYNFQYELVQYKWPRWLHQQTEKQRIIWGYKILFLDVLFPLVVDKFLFVDADQIVRTDLKELRDFNLDGAPYGYTPFCDSRREMDGYRFWKSGYWASHLAGRKYHISALYVVDLKKFRKIAAGDRLRGQYQGLSQDPNSLSNLDQDLPNNMIHQVPIKSLPQEWLWCETWCDDASKKRAKTIDLCNNPMTKEPKLEAAVRIVPEWQDYDQEIKQLQIRFQKEKETGALYKEKTKEPSREGPQKREEL 种属同源性预测 |
| 宿主/亚型 | Rabbit / IgG |
| 抗体类别 | Polyclonal |
| 产品类型 | Antibody |
| 全称 | UDP-glucose ceramide glucosyltransferase-like 1 |
| 别名 | UGGT1, UDP-glucose:glycoprotein glucosyltransferase 1, UDP-glucose ceramide glucosyltransferase-like 1, UDP--Glc:glycoprotein glucosyltransferase, hUGT1 |
| 计算分子量 | 1531 aa, 175 kDa |
| 观测分子量 | 170 kDa |
| GenBank蛋白编号 | BC041098 |
| 基因名称 | UGCGL1 |
| Gene ID (NCBI) | 56886 |
| RRID | AB_1288973 |
| 偶联类型 | Unconjugated |
| 形式 | Liquid |
| 纯化方式 | Antigen affinity purification |
| UNIPROT ID | Q9NYU2 |
| 储存缓冲液 | PBS with 0.02% sodium azide and 50% glycerol, pH 7.3. |
| 储存条件 | Store at -20°C. Stable for one year after shipment. Aliquoting is unnecessary for -20oC storage. |
背景介绍
UDP-glucose:glycoprotein glucosyltransferase 1 (UGCGL1) is a central quality control gatekeeper in the mammalian endoplasmic reticulum (ER) and serves as a folding sensor in the calnexin/calreticulin glycoprotein quality control cycle (PMID: 28425917). UGCGL1 acts as a checkpoint in the quality control of the MHC class I antigen presentation pathway (PMID: 21383159). Western blot analysis detected UGCGL1 at an apparent molecular mass of 170 kDa.
实验方案
| Product Specific Protocols | |
|---|---|
| IHC protocol for UGCGL1 antibody 14170-1-AP | Download protocol |
| IP protocol for UGCGL1 antibody 14170-1-AP | Download protocol |
| WB protocol for UGCGL1 antibody 14170-1-AP | Download protocol |
| Standard Protocols | |
|---|---|
| Click here to view our Standard Protocols |
发表文章
| Species | Application | Title |
|---|---|---|
J Cell Biol Competition for calnexin binding regulates secretion and turnover of misfolded GPI-anchored proteins | ||
Mol Cell Proteomics Thyroglobulin Interactome Profiling Defines Altered Proteostasis Topology Associated With Thyroid Dyshormonogenesis | ||
Mol Cell Proteomics Thyroglobulin Interactome Profiling Defines Altered Proteostasis Topology Associated With Thyroid Dyshormonogenesis. | ||
Toxicology Tauroursodeoxycholic acid attenuates cisplatin-induced ototoxicity by inhibiting the accumulation and aggregation of unfolded or misfolded proteins in the endoplasmic reticulum. | ||
Glycobiology Polypeptide N-acetylgalactosaminyltransferase 18 Retains in Endoplasmic Reticulum Depending on its Luminal Regions Interacting with ER resident UGGT1, PLOD3 and LPCAT1. | ||
Biochem Biophys Res Commun UGGT1 retains proinsulin in the endoplasmic reticulum in an arginine dependent manner. |



