验证数据展示
经过测试的应用
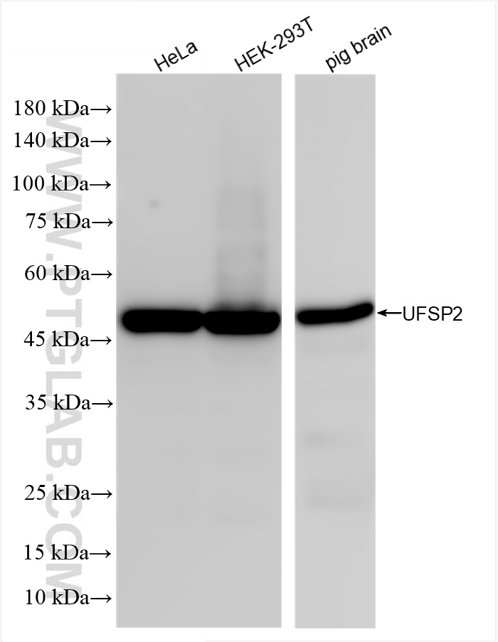
| Positive WB detected in | HeLa cells, mouse pancreas tissue, HEK-293T cells, pig brain tissue, rat pancreas tissue |
推荐稀释比
| 应用 | 推荐稀释比 |
|---|---|
| Western Blot (WB) | WB : 1:2000-1:10000 |
| It is recommended that this reagent should be titrated in each testing system to obtain optimal results. | |
| Sample-dependent, Check data in validation data gallery. | |
产品信息
86436-1-RR targets UFSP2 in WB, ELISA applications and shows reactivity with human, mouse, rat, pig samples.
| 经测试应用 | WB, ELISA Application Description |
| 经测试反应性 | human, mouse, rat, pig |
| 免疫原 |
CatNo: Ag10692 Product name: Recombinant human UFSP2 protein Source: e coli.-derived, PGEX-4T Tag: GST Domain: 120-469 aa of BC010493 Sequence: MLEMSTSLAAVTPIIERESGGHHYVNMTLPVDAVISVAPEETWGKVRKLLVDAIHNQLTDMEKCILKYMKGTSIVVPEPLHFLLPGKKNLVTISYPSGIPDGQLQAYRKELHDLFNLPHDRPYFKRSNAYHFPDEPYKDGYIRNPHTYLNPPNMETGMIYVVQGIYGYHHYMQDRIDDNGWGCAYRSLQTICSWFKHQGYTERSIPTHREIQQALVDAGDKPATFVGSRQWIGSIEVQLVLNQLIGITSKILFVSQGSEIASQGRELANHFQSEGTPVMIGGGVLAHTILGVAWNEITGQIKFLILDPHYTGAEDLQVILEKGWCGWKGPDFWNKDAYYNLCLPQRPNMI 种属同源性预测 |
| 宿主/亚型 | Rabbit / IgG |
| 抗体类别 | Recombinant |
| 产品类型 | Antibody |
| 全称 | UFM1-specific peptidase 2 |
| 别名 | C4orf20, EC:3.4.22.-, Ufm1 specific protease 2, Ufm1-specific protease 2 |
| 计算分子量 | 469 aa, 53 kDa |
| 观测分子量 | 53 kDa |
| GenBank蛋白编号 | BC010493 |
| 基因名称 | UFSP2 |
| Gene ID (NCBI) | 55325 |
| 偶联类型 | Unconjugated |
| 形式 | Liquid |
| 纯化方式 | Protein A purification |
| UNIPROT ID | Q9NUQ7 |
| 储存缓冲液 | PBS with 0.02% sodium azide and 50% glycerol, pH 7.3. |
| 储存条件 | Store at -20°C. Stable for one year after shipment. Aliquoting is unnecessary for -20oC storage. |
实验方案
| Product Specific Protocols | |
|---|---|
| WB protocol for UFSP2 antibody 86436-1-RR | Download protocol |
| Standard Protocols | |
|---|---|
| Click here to view our Standard Protocols |


