验证数据展示
经过测试的应用
| Positive WB detected in | K-562 cells, HeLa cells, HepG2 cells, human testis tissue, mouse thymus tissue, Raji cells |
| Positive IP detected in | Raji cells |
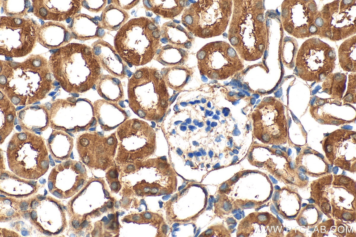
| Positive IHC detected in | human stomach tissue, mouse kidney tissue Note: suggested antigen retrieval with TE buffer pH 9.0; (*) Alternatively, antigen retrieval may be performed with citrate buffer pH 6.0 |
| Positive IF/ICC detected in | HepG2 cells, HeLa cells |
| Positive FC (Intra) detected in | HEK-293 cells |
推荐稀释比
| 应用 | 推荐稀释比 |
|---|---|
| Western Blot (WB) | WB : 1:1000-1:6000 |
| Immunoprecipitation (IP) | IP : 0.5-4.0 ug for 1.0-3.0 mg of total protein lysate |
| Immunohistochemistry (IHC) | IHC : 1:50-1:500 |
| Immunofluorescence (IF)/ICC | IF/ICC : 1:50-1:500 |
| Flow Cytometry (FC) (INTRA) | FC (INTRA) : 0.40 ug per 10^6 cells in a 100 µl suspension |
| It is recommended that this reagent should be titrated in each testing system to obtain optimal results. | |
| Sample-dependent, Check data in validation data gallery. | |
产品信息
10615-1-AP targets UFD1L in WB, IHC, IF/ICC, FC (Intra), IP, ELISA applications and shows reactivity with human, mouse samples.
| 经测试应用 | WB, IHC, IF/ICC, FC (Intra), IP, ELISA Application Description |
| 文献引用应用 | WB, IHC, IF, IP |
| 经测试反应性 | human, mouse |
| 文献引用反应性 | human, mouse |
| 免疫原 |
CatNo: Ag0954 Product name: Recombinant human UFD1L protein Source: e coli.-derived, PGEX-4T Tag: GST Domain: 1-307 aa of BC005087 Sequence: MFSFNMFDHPIPRVFQNRFSTQYRCFSVSMLAGPNDRSDVEKGGKIIMPPSALDQLSRLNITYPMLFKLTNKNSDRMTHCGVLEFVADEGICYLPHWMMQNLLLEEGGLVQVESVNLQVATYSKFQPQSPDFLDITNPKAVLENALRNFACLTTGDVIAINYNEKIYELRVMETKPDKAVSIIECDMNVDFDAPLGYKEPERQVQHEESTEGEADHSGYAGELGFRAFSGSGNRLDGKKKGVEPSPSPIKPGDIKRGIPNYEFKLGKITFIRNSRPLVKKVEEDEAGGRFVAFSGEGQSLRKKGRKP 种属同源性预测 |
| 宿主/亚型 | Rabbit / IgG |
| 抗体类别 | Polyclonal |
| 产品类型 | Antibody |
| 全称 | ubiquitin fusion degradation 1 like (yeast) |
| 别名 | UB fusion protein 1, Ubiquitin fusion degradation protein 1, Ubiquitin recognition factor in ER-associated degradation protein 1, UFD1 |
| 计算分子量 | 35 kDa |
| 观测分子量 | 35 kDa |
| GenBank蛋白编号 | BC005087 |
| 基因名称 | UFD1L |
| Gene ID (NCBI) | 7353 |
| RRID | AB_2213944 |
| 偶联类型 | Unconjugated |
| 形式 | Liquid |
| 纯化方式 | Antigen affinity purification |
| UNIPROT ID | Q92890 |
| 储存缓冲液 | PBS with 0.02% sodium azide and 50% glycerol, pH 7.3. |
| 储存条件 | Store at -20°C. Stable for one year after shipment. Aliquoting is unnecessary for -20oC storage. |
实验方案
| Product Specific Protocols | |
|---|---|
| FC protocol for UFD1L antibody 10615-1-AP | Download protocol |
| IF protocol for UFD1L antibody 10615-1-AP | Download protocol |
| IHC protocol for UFD1L antibody 10615-1-AP | Download protocol |
| IP protocol for UFD1L antibody 10615-1-AP | Download protocol |
| WB protocol for UFD1L antibody 10615-1-AP | Download protocol |
| Standard Protocols | |
|---|---|
| Click here to view our Standard Protocols |
发表文章
| Species | Application | Title |
|---|---|---|
Science Ubiquitination of G3BP1 mediates stress granule disassembly in a context-specific manner. | ||
Nat Commun A UFD1 variant encoding a microprotein modulates UFD1f and IPMK ubiquitination to play pivotal roles in anti-stress responses | ||
Dev Cell The ESCRT machinery counteracts Nesprin-2G-mediated mechanical forces during nuclear envelope repair.
| ||
Sci Signal TRIM55 promotes noncanonical NF-κB signaling and B cell-mediated immune responses by coordinating p100 ubiquitination and processing |











