验证数据展示
经过测试的应用
| Positive WB detected in | K-562 cells, Raji cells, rat kidney tissue, U-937 cells |
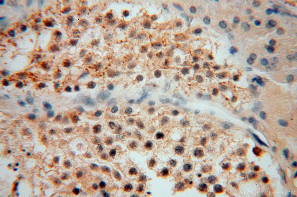
| Positive IHC detected in | mouse kidney tissue, human placenta tissue, human testis tissue, human brain tissue, human ovary tissue Note: suggested antigen retrieval with TE buffer pH 9.0; (*) Alternatively, antigen retrieval may be performed with citrate buffer pH 6.0 |
推荐稀释比
| 应用 | 推荐稀释比 |
|---|---|
| Western Blot (WB) | WB : 1:500-1:2000 |
| Immunohistochemistry (IHC) | IHC : 1:50-1:500 |
| It is recommended that this reagent should be titrated in each testing system to obtain optimal results. | |
| Sample-dependent, Check data in validation data gallery. | |
产品信息
17005-1-AP targets UCKL1 in WB, IHC, IF, CoIP, ELISA applications and shows reactivity with human, mouse, rat samples.
| 经测试应用 | WB, IHC, ELISA Application Description |
| 文献引用应用 | WB, IHC, IF, CoIP |
| 经测试反应性 | human, mouse, rat |
| 文献引用反应性 | human, mouse |
| 免疫原 |
CatNo: Ag10701 Product name: Recombinant human UCKL1 protein Source: e coli.-derived, PGEX-4T Tag: GST Domain: 74-419 aa of BC033078 Sequence: TSKRTIYTAGRPPWYNEHGTQSKEAFAIGLGGGSASGKTTVARMIIEALDVPWVVLLSMDSFYKVLTEQQQEQAAHNNFNFDHPDAFDFDLIISTLKKLKQGKSVKVPIYDFTTHSRKKDWKTLYGANVIIFEGIMAFADKTLLELLDMKIFVDTDSDIRLVRRLRRDISERGRDIEGVIKQYNKFVKPSFDQYIQPTMRLADIVVPRGSGNTVAIDLIVQHVHSQLEEGCAGLGTPVPPAAPDAERPEEHAAGTGHAHHHQVRAHLGTGRPRARAPAQLLAPQGQGDQSRRVHLLLQETDAAAHRARALLPALSGLRRTDPAGAGLCGQVLCGEADHRCVHSARR 种属同源性预测 |
| 宿主/亚型 | Rabbit / IgG |
| 抗体类别 | Polyclonal |
| 产品类型 | Antibody |
| 全称 | uridine-cytidine kinase 1-like 1 |
| 别名 | F538, UCK1 LIKE, UCK1L, UCKL1, Uridine cytidine kinase like 1, URKL1 |
| 计算分子量 | 419 aa, 46 kDa |
| 观测分子量 | 61 kDa, 46 kDa |
| GenBank蛋白编号 | BC033078 |
| 基因名称 | UCKL1 |
| Gene ID (NCBI) | 54963 |
| RRID | AB_2210783 |
| 偶联类型 | Unconjugated |
| 形式 | Liquid |
| 纯化方式 | Antigen affinity purification |
| UNIPROT ID | Q9NWZ5 |
| 储存缓冲液 | PBS with 0.02% sodium azide and 50% glycerol, pH 7.3. |
| 储存条件 | Store at -20°C. Stable for one year after shipment. Aliquoting is unnecessary for -20oC storage. |
实验方案
| Product Specific Protocols | |
|---|---|
| IHC protocol for UCKL1 antibody 17005-1-AP | Download protocol |
| WB protocol for UCKL1 antibody 17005-1-AP | Download protocol |
| Standard Protocols | |
|---|---|
| Click here to view our Standard Protocols |
发表文章
| Species | Application | Title |
|---|---|---|
EBioMedicine Non-canonical role of UCKL1 on ferroptosis defence in colorectal cancer
| ||
Mol Biomed Uridine-Cytidine Kinase 2 (UCK2)/Uridine-Cytidine Kinase Like 1 (UCKL1) complex exacerbates the differentiation of myocardial fibroblasts via TRIM21/Smurf2/Smad3 pathway after myocardial infarction.
|













