验证数据展示
经过测试的应用
| Positive WB detected in | PC-3 cells, mouse testis tissue | 
| Positive IP detected in | mouse testis tissue | 
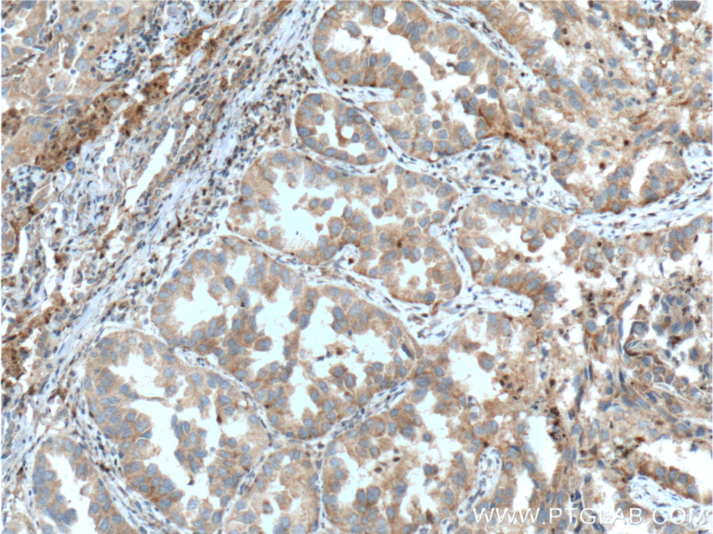
| Positive IHC detected in | human testis tissue, human lung cancer tissue Note: suggested antigen retrieval with TE buffer pH 9.0; (*) Alternatively, antigen retrieval may be performed with citrate buffer pH 6.0 | 
推荐稀释比
| 应用 | 推荐稀释比 | 
|---|---|
| Western Blot (WB) | WB : 1:500-1:1000 | 
| Immunoprecipitation (IP) | IP : 0.5-4.0 ug for 1.0-3.0 mg of total protein lysate | 
| Immunohistochemistry (IHC) | IHC : 1:50-1:500 | 
| It is recommended that this reagent should be titrated in each testing system to obtain optimal results. | |
| Sample-dependent, Check data in validation data gallery. | |
产品信息
13109-1-AP targets UBXN11 in WB, IP, IHC, ELISA applications and shows reactivity with human, mouse, rat samples.
| 经测试应用 | WB, IP, IHC, ELISA Application Description | 
| 经测试反应性 | human, mouse, rat | 
| 免疫原 | CatNo: Ag3772 Product name: Recombinant human UBXN11 protein Source: e coli.-derived, PGEX-4T Tag: GST Domain: 1-324 aa of BC038106 Sequence: MSSPLASLSKTRKVPLPSEPMNPGRRGIRIYGDEDEVDMLSDGCGSEEKISVPSCYGGIGAPVSRQVPASHDSELMAFMTRKLWDLEQQVKAQTDEILSKDQKIAALEDLVQTLRPHPAEATLQRQEELETMCVQLQRQVREMERFLSDYGLQWVGEPMDQEDSESKTVSEHGERDWMTAKKFWKPGDSLAPPEVDFDRLLASLQDLSELVVEGDTQVTPVPGGARLRTLEPIPLKLYRNGIMMFDGPFQPFYDPSTQRCLRDILDGFFPSELQRLYPNGVPFKVISCSSNHTFGDFEGSGDTQPPQTPPILRGSRCTPWGTPV种属同源性预测 | 
| 宿主/亚型 | Rabbit / IgG | 
| 抗体类别 | Polyclonal | 
| 产品类型 | Antibody | 
| 全称 | UBX domain protein 11 | 
| 别名 | COA 1, PP2243, SOC, SOCI, Socius, UBX domain protein 11, UBXD5, UBXN11 | 
| 计算分子量 | 57 kDa | 
| 观测分子量 | 48-54 kDa | 
| GenBank蛋白编号 | BC038106 | 
| 基因名称 | UBXN11 | 
| Gene ID (NCBI) | 91544 | 
| RRID | AB_2288037 | 
| 偶联类型 | Unconjugated | 
| 形式 | Liquid | 
| 纯化方式 | Antigen affinity purification | 
| UNIPROT ID | Q5T124 | 
| 储存缓冲液 | PBS with 0.02% sodium azide and 50% glycerol, pH 7.3. | 
| 储存条件 | Store at -20°C. Stable for one year after shipment. Aliquoting is unnecessary for -20oC storage. | 
实验方案
| Product Specific Protocols | |
|---|---|
| IHC protocol for UBXN11 antibody 13109-1-AP | Download protocol | 
| IP protocol for UBXN11 antibody 13109-1-AP | Download protocol | 
| WB protocol for UBXN11 antibody 13109-1-AP | Download protocol | 
| Standard Protocols | |
|---|---|
| Click here to view our Standard Protocols | 











