验证数据展示
经过测试的应用
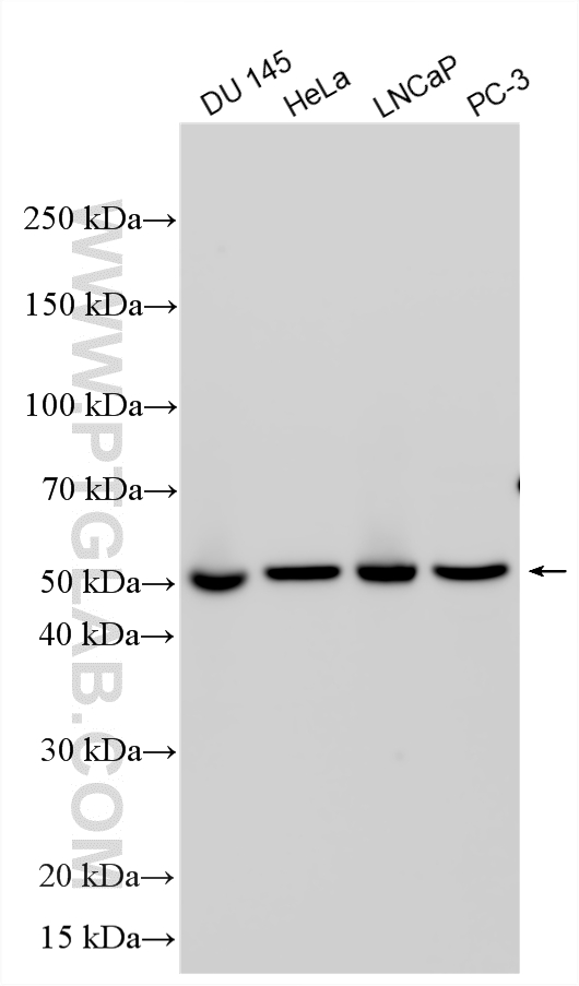
| Positive WB detected in | DU 145 cells, HeLa cells, LNCaP cells, PC-3 cells |
| Positive IF/ICC detected in | HeLa cells |
推荐稀释比
| 应用 | 推荐稀释比 |
|---|---|
| Western Blot (WB) | WB : 1:5000-1:50000 |
| Immunofluorescence (IF)/ICC | IF/ICC : 1:400-1:1600 |
| It is recommended that this reagent should be titrated in each testing system to obtain optimal results. | |
| Sample-dependent, Check data in validation data gallery. | |
产品信息
16903-1-AP targets UBR7 in WB, IF/ICC, ELISA applications and shows reactivity with human samples.
| 经测试应用 | WB, IF/ICC, ELISA Application Description |
| 经测试反应性 | human |
| 免疫原 |
CatNo: Ag10445 Product name: Recombinant human UBR7 protein Source: e coli.-derived, PGEX-4T Tag: GST Domain: 1-349 aa of BC015046 Sequence: ACSYECHGSHKLFELYTKRNFRCDCGNSKFKNLECKLLPDKAKVNSGNKYNDNFFGLYCICKRPYPDPEDEIPDEMIQCVVCEDWFHGRHLGAIPPESGDFQEMVCQACMKRCSFLWAYAAQLAVTKISTEDDGLVRNIDGIGDQEVIKPENGEHQDSTLKEDVPEQGKDDVREVKVEQNSEPCAGSSSESDLQTVFKNESLNAESKSGCKLQELKAKQLIKKDTATYWPLNWRSKLCTCQDCMKMYGDLDVLFLTDEYDTVLAYENKGKIAQATDRSDPLMDTLSSMNRVQQVELICEYNDLKTELKDYLKRFADEGTVVKREDIQQFFEEFQSKKRRRVDGMQYYCS 种属同源性预测 |
| 宿主/亚型 | Rabbit / IgG |
| 抗体类别 | Polyclonal |
| 产品类型 | Antibody |
| 全称 | ubiquitin protein ligase E3 component n-recognin 7 (putative) |
| 别名 | C14orf130, EC:2.3.2.27, N recognin 7, N-recognin-7, Putative E3 ubiquitin-protein ligase UBR7 |
| 计算分子量 | 48 kDa |
| 观测分子量 | 48-60 kDa |
| GenBank蛋白编号 | BC015046 |
| 基因名称 | UBR7 |
| Gene ID (NCBI) | 55148 |
| RRID | AB_2256707 |
| 偶联类型 | Unconjugated |
| 形式 | Liquid |
| 纯化方式 | Antigen affinity purification |
| UNIPROT ID | Q8N806 |
| 储存缓冲液 | PBS with 0.02% sodium azide and 50% glycerol, pH 7.3. |
| 储存条件 | Store at -20°C. Stable for one year after shipment. Aliquoting is unnecessary for -20oC storage. |
背景介绍
UBR7 (C14orf130), is a 425-amino-acid putative E3 ubiquitin-protein ligase which is a component of the N-end rule pathway. The N-end rule pathway is a ubiquitin-dependent system where E3 ligases called N-recognins, including UBR1, UBR2 and UBR7 (N-recognin-7), leading to target protein ubiquitination and subsequent degradation (PMID: 19008229). UBR7 contains a PHD-type zinc finger and a UBR-type zinc finger domain (PMID: 14702039), and probably undergoes acetylation (PMID: 19413330). Till date its precise function is not well known. Proteintech's UBR7 antibody 16903-1-AP is able to detect UBR7 with a theoretical MW of 48 kDa.
实验方案
| Product Specific Protocols | |
|---|---|
| IF protocol for UBR7 antibody 16903-1-AP | Download protocol |
| WB protocol for UBR7 antibody 16903-1-AP | Download protocol |
| Standard Protocols | |
|---|---|
| Click here to view our Standard Protocols |

