验证数据展示
经过测试的应用
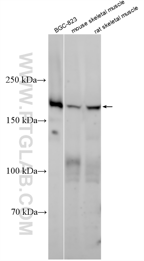
| Positive WB detected in | BGC-823 cells, mouse skeletal muscle tissue, rat skeletal muscle tissue |
| Positive IP detected in | mouse skeletal muscle tissue |
推荐稀释比
| 应用 | 推荐稀释比 |
|---|---|
| Western Blot (WB) | WB : 1:200-1:1000 |
| Immunoprecipitation (IP) | IP : 0.5-4.0 ug for 1.0-3.0 mg of total protein lysate |
| It is recommended that this reagent should be titrated in each testing system to obtain optimal results. | |
| Sample-dependent, Check data in validation data gallery. | |
产品信息
26069-1-AP targets UBR1 in WB, IP, CoIP, ELISA applications and shows reactivity with human, mouse, rat samples.
| 经测试应用 | WB, IP, ELISA Application Description |
| 文献引用应用 | WB, IP, CoIP |
| 经测试反应性 | human, mouse, rat |
| 文献引用反应性 | human, mouse |
| 免疫原 |
CatNo: Ag22076 Product name: Recombinant human UBR1 protein Source: e coli.-derived, PGEX-4T Tag: GST Domain: 1-98 aa of BC113505 Sequence: MADEEAGGTERMEISAELPQTPQRLASWWDQQVDFYTAFLHHLAQLVPEIYFAEMDPDLEKQEESVQMSIFTPLEWYLFGEDPDICLEKLKHSGAFQL 种属同源性预测 |
| 宿主/亚型 | Rabbit / IgG |
| 抗体类别 | Polyclonal |
| 产品类型 | Antibody |
| 全称 | ubiquitin protein ligase E3 component n-recognin 1 |
| 别名 | E3 ubiquitin-protein ligase UBR1, EC:2.3.2.27, JBS, N recognin 1, N-recognin-1 |
| 计算分子量 | 1749 aa, 200 kDa |
| 观测分子量 | 200 kDa |
| GenBank蛋白编号 | BC113505 |
| 基因名称 | UBR1 |
| Gene ID (NCBI) | 197131 |
| RRID | AB_2880360 |
| 偶联类型 | Unconjugated |
| 形式 | Liquid |
| 纯化方式 | Antigen affinity purification |
| UNIPROT ID | Q8IWV7 |
| 储存缓冲液 | PBS with 0.02% sodium azide and 50% glycerol, pH 7.3. |
| 储存条件 | Store at -20°C. Stable for one year after shipment. Aliquoting is unnecessary for -20oC storage. |
实验方案
| Product Specific Protocols | |
|---|---|
| IP protocol for UBR1 antibody 26069-1-AP | Download protocol |
| WB protocol for UBR1 antibody 26069-1-AP | Download protocol |
| Standard Protocols | |
|---|---|
| Click here to view our Standard Protocols |
发表文章
| Species | Application | Title |
|---|---|---|
J Cachexia Sarcopenia Muscle Identification of Ubr1 as an amino acid sensor of steatosis in liver and muscle | ||
EMBO Rep METTL3 protects METTL14 from STUB1-mediated degradation to maintain m6 A homeostasis | ||
Aging (Albany NY) UBR1 is a prognostic biomarker and therapeutic target associated with immune cell infiltration in gastric cancer | ||
Mol Cell A regulator of amino acid sensing links lipid peroxidation and lipid droplet-dependent antioxidant response | ||
bioRxiv Response of UBR-box E3 ubiquitin ligases and protein quality control pathways to perturbations in protein synthesis and skeletal muscle size. | ||
Am J Physiol Cell Physiol Response of UBR-box E3 ubiquitin ligases and protein quality control pathways to perturbations in protein synthesis and skeletal muscle size. |

