验证数据展示
经过测试的应用
| Positive WB detected in | mouse testis tissue, HepG2 cells, human testis tissue |
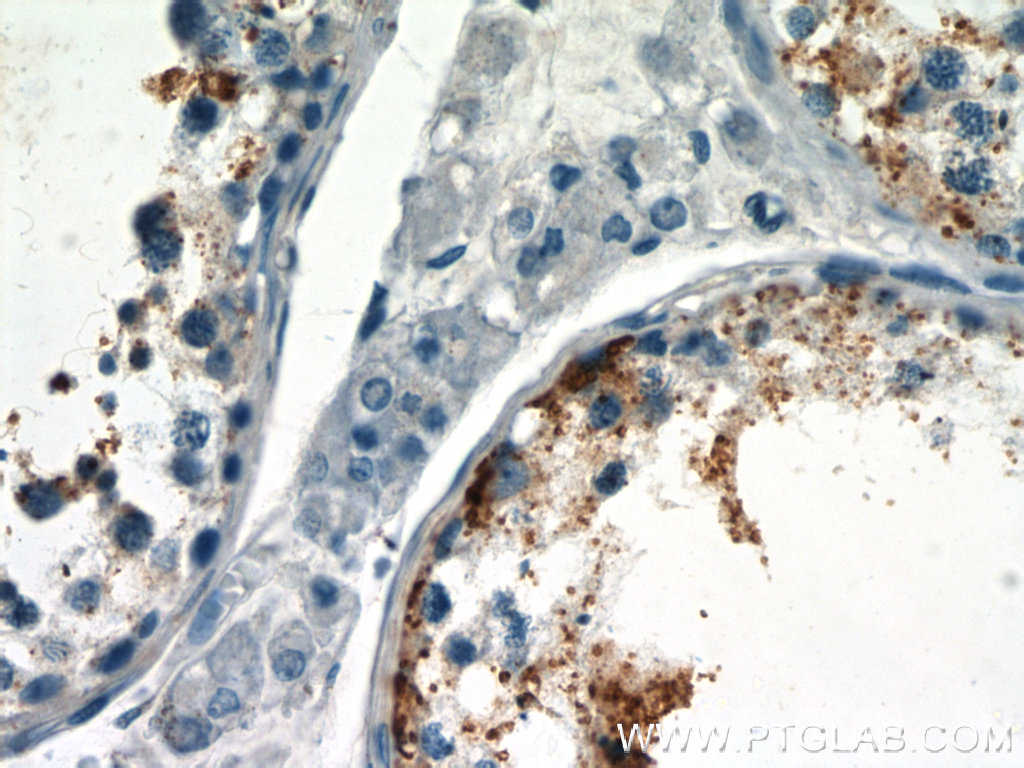
| Positive IHC detected in | human testis tissue Note: suggested antigen retrieval with TE buffer pH 9.0; (*) Alternatively, antigen retrieval may be performed with citrate buffer pH 6.0 |
| Positive IF/ICC detected in | HepG2 cells |
推荐稀释比
| 应用 | 推荐稀释比 |
|---|---|
| Western Blot (WB) | WB : 1:500-1:2000 |
| Immunohistochemistry (IHC) | IHC : 1:20-1:200 |
| Immunofluorescence (IF)/ICC | IF/ICC : 1:200-1:800 |
| It is recommended that this reagent should be titrated in each testing system to obtain optimal results. | |
| Sample-dependent, Check data in validation data gallery. | |
产品信息
23372-1-AP targets UBQLN3 in WB, IHC, IF/ICC, ELISA applications and shows reactivity with human, mouse samples.
| 经测试应用 | WB, IHC, IF/ICC, ELISA Application Description |
| 经测试反应性 | human, mouse |
| 免疫原 |
CatNo: Ag19982 Product name: Recombinant human Ubiquilin 3 protein Source: e coli.-derived, PGEX-4T Tag: GST Domain: 306-620 aa of BC036743 Sequence: WTSTHGGSGSRQGRQDGDQDAPDIRNRFPNFLGIIRLYDYLQQLHENPQSLGTYLQGTASALSQSQEPPPSVNRVPPSSPSSQEPGSGQPLPEESVAIKGRSSCPAFLRYPTENSTGQGGDQDGAGKSSTGHSTNLPDLVSGLGDSANRVPFAPLSFSPTAAIPGIPEPPWLPSPAYPRSLRPDGMNPAPQLQDEIQPQLPLLMHLQAAMANPRALQALRQIEQGLQVLATEAPRLLLWFMPCLAGTGSVAGGIESREDPLMSEDPLPNPPPEVFPALDSAELGFLSPPFLHMLQDLVSTNPQQLQPEAHFQVQL 种属同源性预测 |
| 宿主/亚型 | Rabbit / IgG |
| 抗体类别 | Polyclonal |
| 产品类型 | Antibody |
| 全称 | ubiquilin 3 |
| 别名 | UBQLN 3, Ubiquilin-3, ubiquilin3, ubiquilin 3, TUP1 |
| 计算分子量 | 655 aa, 71 kDa |
| 观测分子量 | 71 kDa |
| GenBank蛋白编号 | BC036743 |
| 基因名称 | UBQLN3 |
| Gene ID (NCBI) | 50613 |
| RRID | AB_2879268 |
| 偶联类型 | Unconjugated |
| 形式 | Liquid |
| 纯化方式 | Antigen affinity purification |
| UNIPROT ID | Q9H347 |
| 储存缓冲液 | PBS with 0.02% sodium azide and 50% glycerol, pH 7.3. |
| 储存条件 | Store at -20°C. Stable for one year after shipment. Aliquoting is unnecessary for -20oC storage. |
背景介绍
UBQLN3(Ubiquilin-3) may interact with the testis-specific cyclin A1 and regulate cell cycle progression during spermatogenesis, as does frog Xdrp1, with which UBQLN3 shares sequence similarity(PMID:10831842).UBQLN3 expression is not observed in mouse eye, thyroid, pancreas,smooth muscle, ovary, submaxillary gland, uterus, and epididymis by northern blot(PMID:10831842 ).
实验方案
| Product Specific Protocols | |
|---|---|
| IF protocol for UBQLN3 antibody 23372-1-AP | Download protocol |
| IHC protocol for UBQLN3 antibody 23372-1-AP | Download protocol |
| WB protocol for UBQLN3 antibody 23372-1-AP | Download protocol |
| Standard Protocols | |
|---|---|
| Click here to view our Standard Protocols |





