验证数据展示
经过测试的应用
| Positive WB detected in | A549 cells, human kidney tissue, HeLa cells, HepG2 cells, Jurkat cells, MCF-7 cells | 
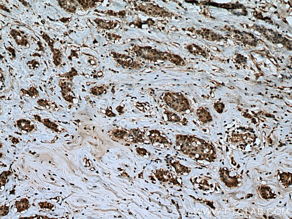
| Positive IHC detected in | human breast cancer tissue Note: suggested antigen retrieval with TE buffer pH 9.0; (*) Alternatively, antigen retrieval may be performed with citrate buffer pH 6.0 | 
推荐稀释比
| 应用 | 推荐稀释比 | 
|---|---|
| Western Blot (WB) | WB : 1:1000-1:4000 | 
| Immunohistochemistry (IHC) | IHC : 1:50-1:500 | 
| It is recommended that this reagent should be titrated in each testing system to obtain optimal results. | |
| Sample-dependent, Check data in validation data gallery. | |
产品信息
13856-1-AP targets UBP1 in WB, IHC, ELISA applications and shows reactivity with human, mouse, rat samples.
| 经测试应用 | WB, IHC, ELISA Application Description | 
| 经测试反应性 | human, mouse, rat | 
| 免疫原 | CatNo: Ag4830 Product name: Recombinant human UBP1 protein Source: e coli.-derived, PGEX-4T Tag: GST Domain: 280-540 aa of BC047235 Sequence: IEDAVEHEQKKSSKRTLPADYGDSLAKRGSCSPWPDAPTAYVNNSPSPAPTFTSPQQSTCSVPDSNSSSPNHQGDGASQTSGEQIQPSATIQETQQWLLKNRFSSYTRLFSNFSGADLLKLTKEDLVQICGAADGIRLYNSLKSRSVRPRLTIYVCREQPSSTVLQGQQQAASSASENGSGAPYVYHAIYLEEMIASEVARKLALVFNIPLHQINQVYRQGPTGIHILVSDQMVQNFQDESCFLFSTVKAESSDGIHIILK种属同源性预测 | 
| 宿主/亚型 | Rabbit / IgG | 
| 抗体类别 | Polyclonal | 
| 产品类型 | Antibody | 
| 全称 | upstream binding protein 1 (LBP-1a) | 
| 别名 | LBP 1a, LBP 1B, LBP1, LBP1A, LBP1B, Transcription factor LBP 1, UBP1, Upstream binding protein 1 | 
| 计算分子量 | 60 kDa | 
| 观测分子量 | 68 kDa | 
| GenBank蛋白编号 | BC047235 | 
| 基因名称 | UBP1 | 
| Gene ID (NCBI) | 7342 | 
| RRID | AB_2304131 | 
| 偶联类型 | Unconjugated | 
| 形式 | Liquid | 
| 纯化方式 | Antigen affinity purification | 
| UNIPROT ID | Q9NZI7 | 
| 储存缓冲液 | PBS with 0.02% sodium azide and 50% glycerol, pH 7.3. | 
| 储存条件 | Store at -20°C. Stable for one year after shipment. Aliquoting is unnecessary for -20oC storage. | 
背景介绍
UBP1, also known as Transcription factor LBP-1, is a 540 amino acid protein, which is expressed in adrenal tissue, JEG-3, NCI-H295A, Hep-G2 and HeLa cell lines. UBP1 localizes in nuclear and can be induced by HIV-1 infection of lymphocytes. UBP1 functions as a transcriptional activator in a promoter context-dependent manner and modulates the placental expression of CYP11A1. UBP1 is involved in regulation of the alpha-globin gene in erythroid cells and represses HIV-1 transcription by inhibiting the binding of TFIID to the TATA-box.
实验方案
| Product Specific Protocols | |
|---|---|
| IHC protocol for UBP1 antibody 13856-1-AP | Download protocol | 
| WB protocol for UBP1 antibody 13856-1-AP | Download protocol | 
| Standard Protocols | |
|---|---|
| Click here to view our Standard Protocols | 




