验证数据展示
产品信息
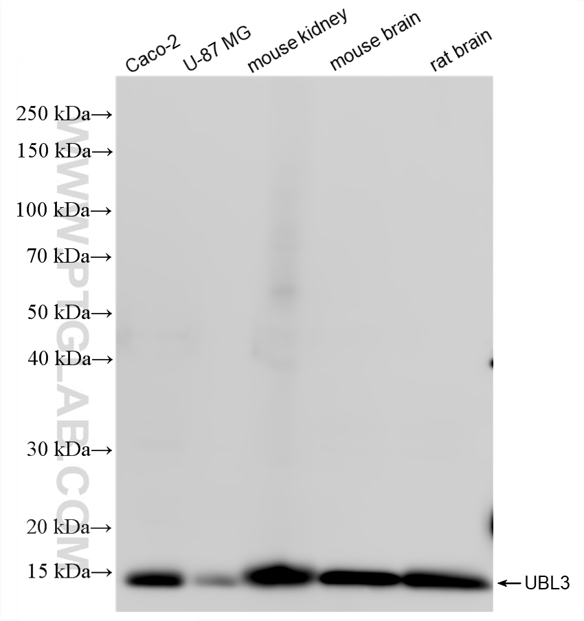
87070-3-PBS targets UBL3 in WB, Indirect ELISA applications and shows reactivity with human samples.
| 经测试应用 | WB, Indirect ELISA Application Description |
| 经测试反应性 | human |
| 免疫原 |
CatNo: Eg5932 Product name: Recombinant human UBL3 protein Source: mammalian cells-derived, V37 Tag: C-rFc Domain: 1-117 aa of NM_007106.3 Sequence: MSSNVPADMINLRLILVSGKTKEFLFSPNDSASDIAKHVYDNWPMDWEEEQVSSPNILRLIYQGRFLHGNVTLGALKLPFGKTTVMHLVARETLPEPNSQGQRNREKTGESNCCVIL 种属同源性预测 |
| 宿主/亚型 | Rabbit / IgG |
| 抗体类别 | Recombinant |
| 产品类型 | Antibody |
| 全称 | ubiquitin-like 3 |
| 别名 | Membrane-anchored ubiquitin-fold protein, PNSC1, Protein HCG-1, Ubiquitin-like protein 3 |
| 计算分子量 | 13 kDa |
| 观测分子量 | 13 kDa |
| GenBank蛋白编号 | NM_007106.3 |
| 基因名称 | UBL3 |
| Gene ID (NCBI) | 5412 |
| 偶联类型 | Unconjugated |
| 形式 | Liquid |
| 纯化方式 | Protein A purification |
| UNIPROT ID | O95164 |
| 储存缓冲液 | PBS only, pH 7.3. |
| 储存条件 | Store at -80°C. The product is shipped with ice packs. Upon receipt, store it immediately at -80°C |
背景介绍
Ubiquitin-like 3 (UBL3)/membrane-anchored Ub-fold protein (MUB) acts as a post-translational modification (PTM) factor to regulate efficient protein sorting to sEVs (small extracellular vesicles). (PMID: 31363817, PMID: 30258067).
