验证数据展示
经过测试的应用
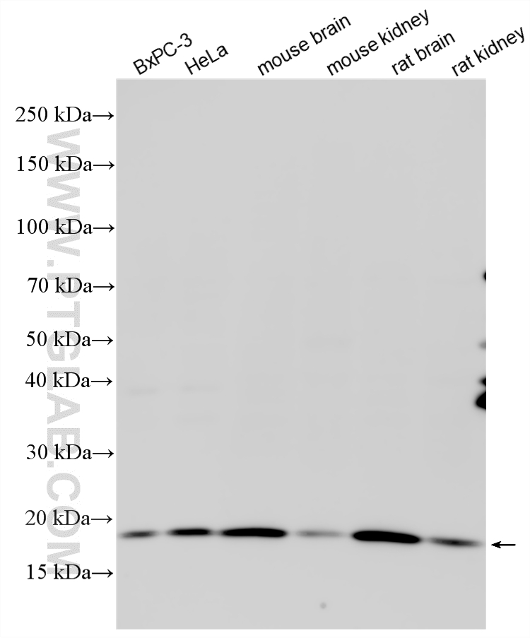
| Positive WB detected in | BxPC-3 cells, HeLa cells, mouse brain tissue, mouse kidney tissue, rat brain tissue, rat kidney tissue |
推荐稀释比
| 应用 | 推荐稀释比 |
|---|---|
| Western Blot (WB) | WB : 1:500-1:2000 |
| It is recommended that this reagent should be titrated in each testing system to obtain optimal results. | |
| Sample-dependent, Check data in validation data gallery. | |
发表文章中的应用
| WB | See 1 publications below |
产品信息
10207-2-AP targets UBE2V1 in WB, ELISA applications and shows reactivity with human, mouse, rat samples.
| 经测试应用 | WB, ELISA Application Description |
| 文献引用应用 | WB |
| 经测试反应性 | human, mouse, rat |
| 文献引用反应性 | mouse |
| 免疫原 |
CatNo: Ag0278 Product name: Recombinant human UBE2V1 protein Source: e coli.-derived, PGEX-4T Tag: GST Domain: 17-109 aa of BC000468 Sequence: LLEELEEGQKGVGDGTVSWGLEDDEDMTLTRWTGMIIGPPRTIYENRIYSLKIECGPKYPEAPPFVRFVTKINMNGVNSSNGVVDPRAISVLA 种属同源性预测 |
| 宿主/亚型 | Rabbit / IgG |
| 抗体类别 | Polyclonal |
| 产品类型 | Antibody |
| 全称 | ubiquitin-conjugating enzyme E2 variant 1 |
| 别名 | CIR1, CROC 1, CROC1, CROC-1, P/OKcl.19 |
| 计算分子量 | 20 kDa |
| 观测分子量 | 20 kDa |
| GenBank蛋白编号 | BC000468 |
| 基因名称 | UBE2V1 |
| Gene ID (NCBI) | 7335 |
| RRID | AB_2272560 |
| 偶联类型 | Unconjugated |
| 形式 | Liquid |
| 纯化方式 | Antigen affinity purification |
| UNIPROT ID | Q13404 |
| 储存缓冲液 | PBS with 0.02% sodium azide and 50% glycerol, pH 7.3. |
| 储存条件 | Store at -20°C. Stable for one year after shipment. Aliquoting is unnecessary for -20oC storage. |
背景介绍
UBE2V1(Ubiquitin-conjugating enzyme E2 variant 1) is also named as CROC1, UBE2V, UEV1 and belongs to the ubiquitin-conjugating enzyme family. It has no ubiquitin ligase activity on its own and the UBE2V1-UBE2N heterodimer catalyzes the synthesis of non-canonical poly-ubiquitin chains that are linked through Lys-63. CROC1 transcripts in all human tissues examined, with highest levels in brain, skeletal muscle, and kidney(PMID:9305758). It has 5 isoforms produced by alternative splicing.
实验方案
| Product Specific Protocols | |
|---|---|
| WB protocol for UBE2V1 antibody 10207-2-AP | Download protocol |
| Standard Protocols | |
|---|---|
| Click here to view our Standard Protocols |
