验证数据展示
经过测试的应用
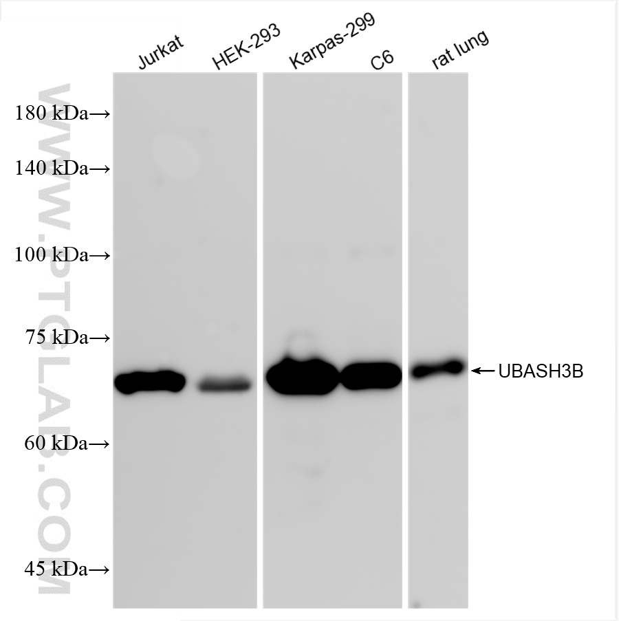
| Positive WB detected in | Jurkat cells, HEK-293 cells, Karpas-299 cells, C6 cells, rat lung tissue |
| Positive IF/ICC detected in | Jurkat cells |
推荐稀释比
| 应用 | 推荐稀释比 |
|---|---|
| Western Blot (WB) | WB : 1:5000-1:50000 |
| Immunofluorescence (IF)/ICC | IF/ICC : 1:50-1:500 |
| It is recommended that this reagent should be titrated in each testing system to obtain optimal results. | |
| Sample-dependent, Check data in validation data gallery. | |
产品信息
85904-1-RR targets UBASH3B in WB, IF/ICC, ELISA applications and shows reactivity with human, rat samples.
| 经测试应用 | WB, IF/ICC, ELISA Application Description |
| 经测试反应性 | human, rat |
| 免疫原 |
Peptide 种属同源性预测 |
| 宿主/亚型 | Rabbit / IgG |
| 抗体类别 | Recombinant |
| 产品类型 | Antibody |
| 全称 | ubiquitin associated and SH3 domain containing, B |
| 别名 | STS 1, UBASH3B/STS 1, Cbl interacting protein p70, Cbl-interacting protein p70, EC:3.1.3.48 |
| 计算分子量 | 73 kDa |
| 观测分子量 | 66-70 kDa |
| GenBank蛋白编号 | NM_032873 |
| 基因名称 | UBASH3B |
| Gene ID (NCBI) | 84959 |
| 偶联类型 | Unconjugated |
| 形式 | Liquid |
| 纯化方式 | Protein A purification |
| UNIPROT ID | Q8TF42 |
| 储存缓冲液 | PBS with 0.02% sodium azide and 50% glycerol, pH 7.3. |
| 储存条件 | Store at -20°C. Stable for one year after shipment. Aliquoting is unnecessary for -20oC storage. |
背景介绍
UBASH3B, also named STS1 or TULA-2, is a protein that contains a ubiquitin-associated domain at the N-terminus, a SH3 domain, and a C-terminal domain with similarities to the catalytic motif of phosphoglycerate mutase. TULA-2 is supposed to form homodimer and interact with ubiquitin and mono-ubiquitinated proteins. TULA-2 functions to promote accumulation of activated target receptors, such as T-cell receptors and EGFR on the cell surface.
实验方案
| Product Specific Protocols | |
|---|---|
| IF protocol for UBASH3B antibody 85904-1-RR | Download protocol |
| WB protocol for UBASH3B antibody 85904-1-RR | Download protocol |
| Standard Protocols | |
|---|---|
| Click here to view our Standard Protocols |

