验证数据展示
经过测试的应用
| Positive WB detected in | human heart tissue, A431 cells, human lung tissue, human spleen tissue, human testis tissue, mouse brain tissue, mouse lung tissue, mouse testis tissue, mouse thymus tissue, Y79 cells |
| Positive IP detected in | mouse brain tissue |
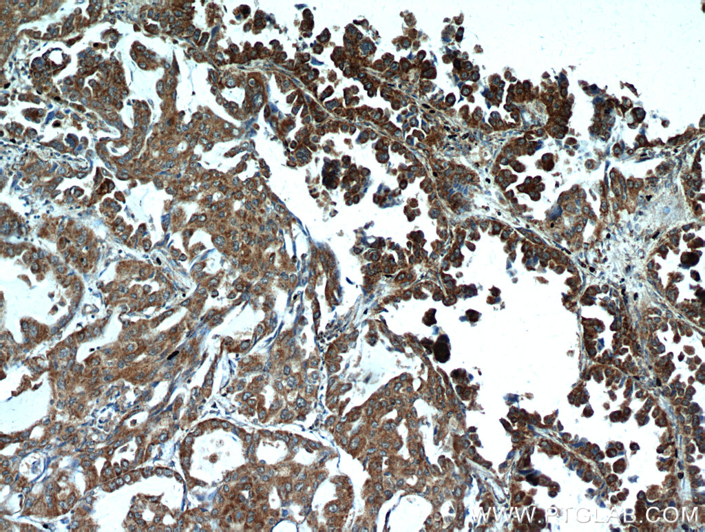
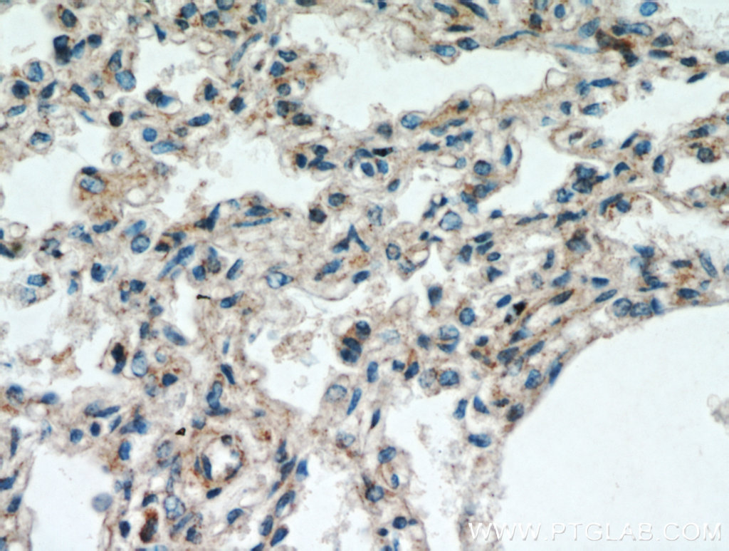
| Positive IHC detected in | human lung cancer tissue, human heart tissue, human lung tissue Note: suggested antigen retrieval with TE buffer pH 9.0; (*) Alternatively, antigen retrieval may be performed with citrate buffer pH 6.0 |
| Positive IF/ICC detected in | A431 cells |
推荐稀释比
| 应用 | 推荐稀释比 |
|---|---|
| Western Blot (WB) | WB : 1:500-1:2400 |
| Immunoprecipitation (IP) | IP : 0.5-4.0 ug for 1.0-3.0 mg of total protein lysate |
| Immunohistochemistry (IHC) | IHC : 1:50-1:500 |
| Immunofluorescence (IF)/ICC | IF/ICC : 1:50-1:500 |
| It is recommended that this reagent should be titrated in each testing system to obtain optimal results. | |
| Sample-dependent, Check data in validation data gallery. | |
产品信息
12385-1-AP targets UBAP1 in WB, IHC, IF/ICC, IP, ELISA applications and shows reactivity with human, mouse, rat samples.
| 经测试应用 | WB, IHC, IF/ICC, IP, ELISA Application Description |
| 文献引用应用 | WB, IF, IP |
| 经测试反应性 | human, mouse, rat |
| 文献引用反应性 | human, mouse |
| 免疫原 |
CatNo: Ag3055 Product name: Recombinant human UBAP1 protein Source: e coli.-derived, PGEX-4T Tag: GST Domain: 203-502 aa of BC020950 Sequence: GGSGSVLQDEEVLASLERATLDFKPLHKPNGFITLPQLGNCEKMSLSSKVSLPPIPAVSNIKSLSFPKLDSDDSNQKTAKLASTFHSTSCLRNGTFQNSLKPSTQSSASELNGHHTLGLSALNLDSGTEMPALTSSQMPSLSVLSVCTEESSPPNTGPTVTPPNFSVSQVPNMPSCPQAYSELQMLSPSERQCVETVVNMGYSYECVLRAMKKKGENIEQILDYLFAHGQLCEKGFDPLLVEEALEMHQCSEEKMMEFLQLMSKFKEMGFELKDIKEVLLLHNNDQDNALEDLMARAGAS 种属同源性预测 |
| 宿主/亚型 | Rabbit / IgG |
| 抗体类别 | Polyclonal |
| 产品类型 | Antibody |
| 全称 | ubiquitin associated protein 1 |
| 别名 | UBAP-1, UBAP 1, UBAP, UAP, Nasopharyngeal carcinoma-associated gene 20 protein |
| 计算分子量 | 502 aa, 55 kDa |
| 观测分子量 | 55 kDa |
| GenBank蛋白编号 | BC020950 |
| 基因名称 | UBAP1 |
| Gene ID (NCBI) | 51271 |
| RRID | AB_2211886 |
| 偶联类型 | Unconjugated |
| 形式 | Liquid |
| 纯化方式 | Antigen affinity purification |
| UNIPROT ID | Q9NZ09 |
| 储存缓冲液 | PBS with 0.02% sodium azide and 50% glycerol, pH 7.3. |
| 储存条件 | Store at -20°C. Stable for one year after shipment. Aliquoting is unnecessary for -20oC storage. |
背景介绍
UBAP1, also named as NAG20, is a 55 kDa protein which contains 2 putative tandem UBA domains at the C terminus, a coiled-coil domain, 2 possible N-glycosylation sites, 5 PKC phosphorylation sites, 7 casein kinase II phosphorylation sites, and 3 N-myristoylation sites. UBAP1 might be a potential effective diagnosis candidate for NPC and decreased expression of UBAP1 protein is a possible point of dysfunction along the pathogenesis pathway for NPC that may contribute to malignant transformation.
实验方案
| Product Specific Protocols | |
|---|---|
| WB protocol for UBAP1 antibody 12385-1-AP | Download protocol |
| IHC protocol for UBAP1 antibody 12385-1-AP | Download protocol |
| IF protocol for UBAP1 antibody 12385-1-AP | Download protocol |
| IP protocol for UBAP1 antibody 12385-1-AP | Download protocol |
| Standard Protocols | |
|---|---|
| Click here to view our Standard Protocols |
发表文章
| Species | Application | Title |
|---|---|---|
EMBO J A Pseudomonas aeruginosa TIR effector mediates immune evasion by targeting UBAP1 and TLR adaptors. | ||
Curr Biol UBAP1 is a component of an endosome-specific ESCRT-I complex that is essential for MVB sorting. | ||
Cell Rep ESCRT-I protein UBAP1 controls ventricular expansion and cortical neurogenesis via modulating adherens junctions of radial glial cells | ||
Cell Rep The Dynamics of TGF-β Signaling Are Dictated by Receptor Trafficking via the ESCRT Machinery. | ||
Cell Rep Interplay of Endosomal pH and Ligand Occupancy in Integrin α5β1 Ubiquitination, Endocytic Sorting, and Cell Migration. |























