验证数据展示
经过测试的应用
| Positive WB detected in | A375 cells, mouse liver tissue, mouse skin tissue, rat skin tissue |
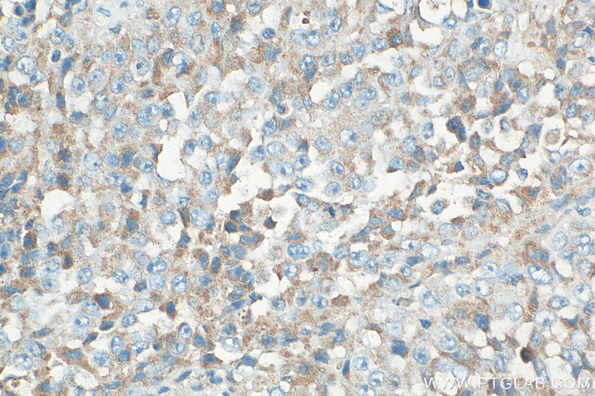
| Positive IHC detected in | human skin cancer tissue, human malignant melanoma tissue Note: suggested antigen retrieval with TE buffer pH 9.0; (*) Alternatively, antigen retrieval may be performed with citrate buffer pH 6.0 |
推荐稀释比
| 应用 | 推荐稀释比 |
|---|---|
| Western Blot (WB) | WB : 1:500-1:2000 |
| Immunohistochemistry (IHC) | IHC : 1:200-1:800 |
| It is recommended that this reagent should be titrated in each testing system to obtain optimal results. | |
| Sample-dependent, Check data in validation data gallery. | |
产品信息
31291-1-AP targets Tyrosinase in WB, IHC, ELISA applications and shows reactivity with human, mouse, rat samples.
| 经测试应用 | WB, IHC, ELISA Application Description |
| 经测试反应性 | human, mouse, rat |
| 免疫原 |
CatNo: Ag34940 Product name: Recombinant human Tyrosinase protein Source: e coli.-derived, PGEX-4T Tag: GST Domain: 19-200 aa of BC027179 Sequence: HFPRACVSSKNLMEKECCPPWSGDRSPCGQLSGRGSCQNILLSNAPLGPQFPFTGVDDRESWPSVFYNRTCQCSGNFMGFNCGNCKFGFWGPNCTERRLLVRRNIFDLSAPEKDKFFAYLTLAKHTISSDYVIPIGTYGQMKNGSTPMFNDINIYDLFVWMHYYVSMDALLGGSEIWRDIDF 种属同源性预测 |
| 宿主/亚型 | Rabbit / IgG |
| 抗体类别 | Polyclonal |
| 产品类型 | Antibody |
| 全称 | tyrosinase (oculocutaneous albinism IA) |
| 别名 | TYR, EC:1.14.18.1, LB24 AB, LB24-AB, Monophenol monooxygenase |
| 计算分子量 | 529 aa, 60 kDa |
| 观测分子量 | 70 kDa |
| GenBank蛋白编号 | BC027179 |
| 基因名称 | TYR |
| Gene ID (NCBI) | 7299 |
| RRID | AB_3669932 |
| 偶联类型 | Unconjugated |
| 形式 | Liquid |
| 纯化方式 | Antigen affinity Purification |
| UNIPROT ID | P14679 |
| 储存缓冲液 | PBS with 0.02% sodium azide and 50% glycerol, pH 7.3. |
| 储存条件 | Store at -20°C. Stable for one year after shipment. Aliquoting is unnecessary for -20oC storage. |
背景介绍
Tyrosinase is a copper-containing oxidase that functions in the formation of pigments such as melanins and other polyphenolic compounds. It's a melanocyte-specific enzyme critical for the synthesis of melanin, a process normally restricted to a post-Golgi compartment termed the melanosome. Loss-of-function mutations in tyrosinase are the cause of oculocutaneous albinism. The 60-kDa tyrosinase core polypeptide is modified in the endoplasmic reticulum (ER) by cotranslational addition of multiple N-linked glycans, producing the 70-kDa species. Complex sugar modifications in the Golgi apparatus further increases tyrosinase's molecular mass to 80 kDa, the size of the mature wild-type (WT) isoform. (PMID:10823941)
实验方案
| Product Specific Protocols | |
|---|---|
| IHC protocol for Tyrosinase antibody 31291-1-AP | Download protocol |
| WB protocol for Tyrosinase antibody 31291-1-AP | Download protocol |
| Standard Protocols | |
|---|---|
| Click here to view our Standard Protocols |



