验证数据展示
经过测试的应用
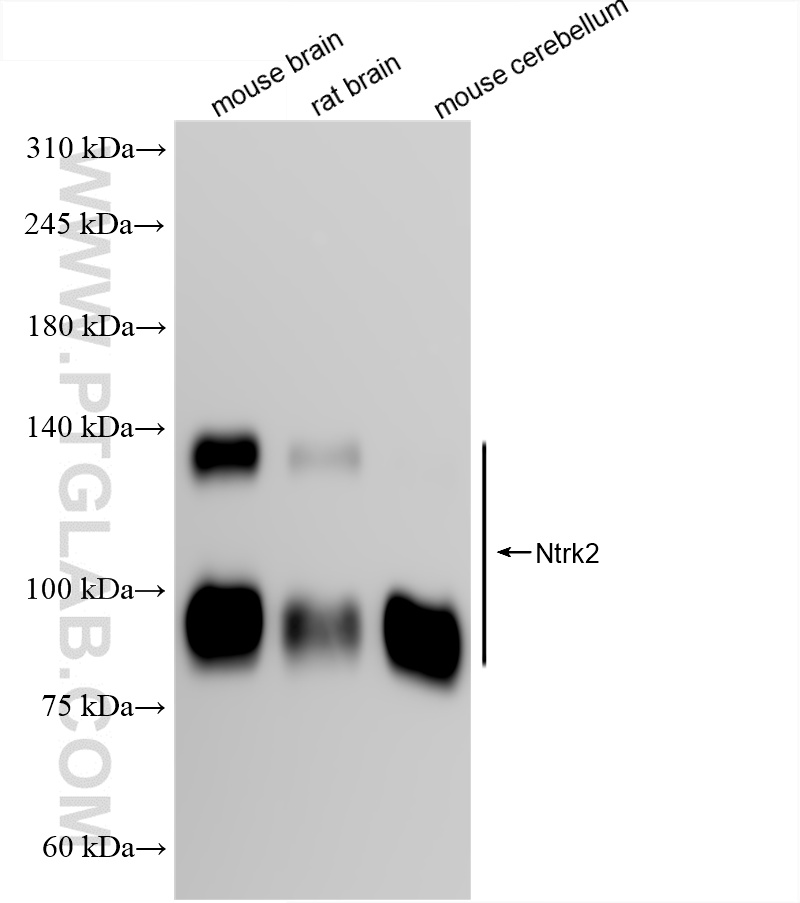
| Positive WB detected in | mouse brain tissue |
推荐稀释比
| 应用 | 推荐稀释比 |
|---|---|
| Western Blot (WB) | WB : 1:5000-1:50000 |
| It is recommended that this reagent should be titrated in each testing system to obtain optimal results. | |
| Sample-dependent, Check data in validation data gallery. | |
产品信息
85971-3-RR targets TrkB in WB, ELISA applications and shows reactivity with mouse, rat samples.
| 经测试应用 | WB, ELISA Application Description |
| 经测试反应性 | mouse, rat |
| 免疫原 |
CatNo: Eg3000 Product name: Recombinant Mouse TrkB protein (rFc Tag) (HPLC verified) Source: mammalian cells-derived, V37 Tag: C-rFc Domain: 32-429 aa of NM_001025074.3 Sequence: CPTSCKCSSARIWCTEPSPGIVAFPRLEPNSVDPENITEILIANQKRLEIINEDDVEAYVGLRNLTIVDSGLKFVAYKAFLKNSNLRHINFTRNKLTSLSRRHFRHLDLSDLILTGNPFTCSCDIMWLKTLQETKSSPDTQDLYCLNESSKNMPLANLQIPNCGLPSARLAAPNLTVEEGKSVTLSCSVGGDPLPTLYWDVGNLVSKHMNETSHTQGSLRITNISSDDSGKQISCVAENLVGEDQDSVNLTVHFAPTITFLESPTSDHHWCIPFTVRGNPKPALQWFYNGAILNESKYICTKIHVTNHTEYHGCLQLDNPTHMNNGDYTLMAKNEYGKDERQISAHFMGRPGVDYETNPNYPEVLYEDWTTPTDIGDTTNKSNEIPSTDVADQSNREH 种属同源性预测 |
| 宿主/亚型 | Rabbit / IgG |
| 抗体类别 | Recombinant |
| 产品类型 | Antibody |
| 全称 | neurotrophic tyrosine kinase, receptor, type 2 |
| 别名 | BDNF/NT-3 growth factors receptor, EC:2.7.10.1, GP145-TrkB/GP95-TrkB, Neurotrophic tyrosine kinase receptor type 2, Ntrk2 |
| 计算分子量 | 92 kDa |
| 观测分子量 | 90-95 kDa, 140-145 kDa |
| GenBank蛋白编号 | NM_001025074.3 |
| 基因名称 | Ntrk2 |
| Gene ID (NCBI) | 18212 |
| 偶联类型 | Unconjugated |
| 形式 | Liquid |
| 纯化方式 | Protein A purification |
| UNIPROT ID | P15209-1 |
| 储存缓冲液 | PBS with 0.02% sodium azide and 50% glycerol, pH 7.3. |
| 储存条件 | Store at -20°C. Stable for one year after shipment. Aliquoting is unnecessary for -20oC storage. |
背景介绍
Tropomyosin-related kinase B (TrkB) is a member of the neurotrophic tyrosine receptor kinase (NTRK) family. It is a single-pass type 1 membrane protein consisting of three domains: an extracellular ligand binding domain, a transmembrane domain and an intracellular tyrosine kinase domain. TrkB is primarily expressed in the central and peripheral nervous systems. TrkB plays an important role in neural development and maintenance through regulating neuronal differentiation, proliferation, survival, migration, neurogenesis, and plasticity.
实验方案
| Product Specific Protocols | |
|---|---|
| WB protocol for TrkB antibody 85971-3-RR | Download protocol |
| Standard Protocols | |
|---|---|
| Click here to view our Standard Protocols |
