验证数据展示
经过测试的应用
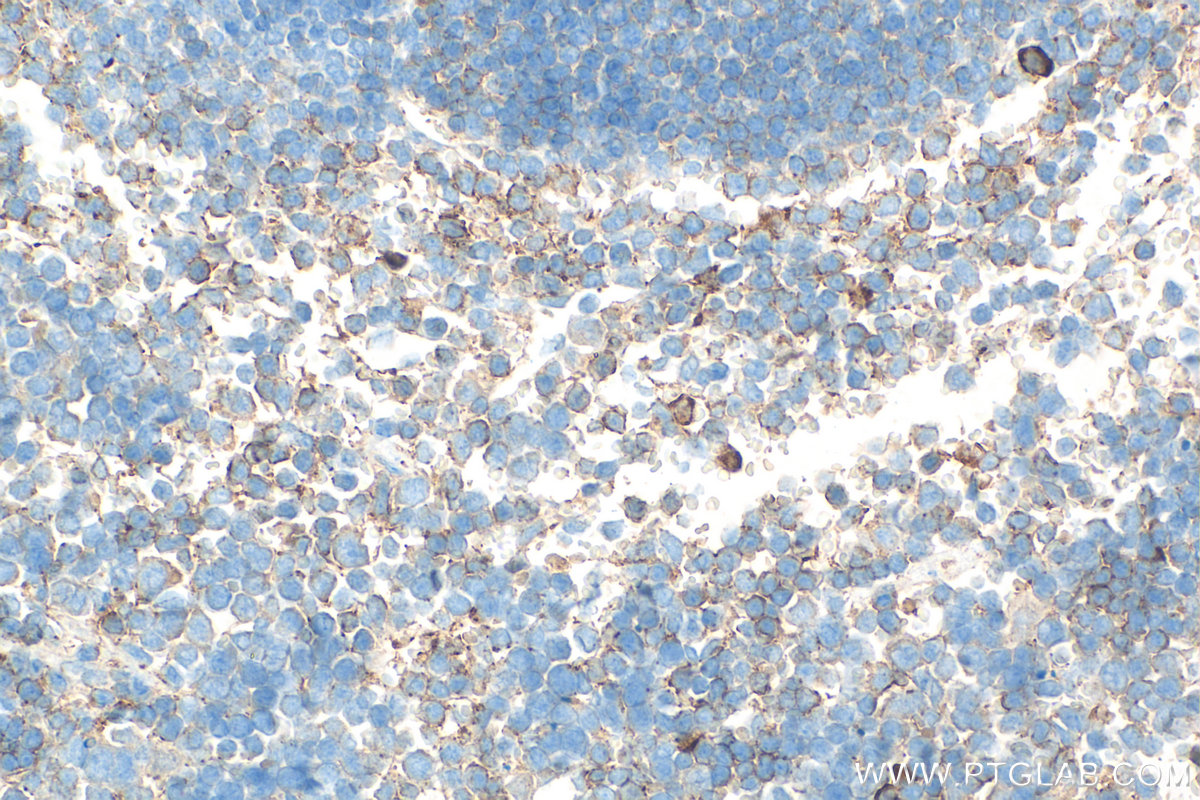
| Positive IHC detected in | mouse spleen tissue Note: suggested antigen retrieval with TE buffer pH 9.0; (*) Alternatively, antigen retrieval may be performed with citrate buffer pH 6.0 |
推荐稀释比
| 应用 | 推荐稀释比 |
|---|---|
| Immunohistochemistry (IHC) | IHC : 1:50-1:500 |
| It is recommended that this reagent should be titrated in each testing system to obtain optimal results. | |
| Sample-dependent, Check data in validation data gallery. | |
产品信息
32743-1-AP targets Tnfsf18 in IHC, ELISA applications and shows reactivity with mouse samples.
| 经测试应用 | IHC, ELISA Application Description |
| 经测试反应性 | mouse |
| 免疫原 |
CatNo: Eg2850 Product name: Recombinant Mouse TNFSF18 protein (rFc Tag) Source: mammalian cells-derived, V37 Tag: C-rFc Domain: 47-173 aa of NM_183391.3 Sequence: TAIESCMVKFELSSSKWHMTSPKPHCVNTTSDGKLKILQSGTYLIYGQVIPVDKKYIKDNAPFVVQIYKKNDVLQTLMNDFQILPIGGVYELHAGDNIYLKFNSKDHIQKTNTYWGIILMPDLPFIS 种属同源性预测 |
| 宿主/亚型 | Rabbit / IgG |
| 抗体类别 | Polyclonal |
| 产品类型 | Antibody |
| 全称 | tumor necrosis factor (ligand) superfamily, member 18 |
| 别名 | GITR ligand, GITRL, Glucocorticoid-induced TNF-related ligand, Tumor necrosis factor ligand superfamily member 18 |
| 计算分子量 | 20 kDa |
| GenBank蛋白编号 | NM_183391.3 |
| 基因名称 | Tnfsf18 |
| Gene ID (NCBI) | 240873 |
| RRID | AB_3742731 |
| 偶联类型 | Unconjugated |
| 形式 | Liquid |
| 纯化方式 | Antigen affinity Purification |
| UNIPROT ID | Q7TS55 |
| 储存缓冲液 | PBS with 0.02% sodium azide and 50% glycerol, pH 7.3. |
| 储存条件 | Store at -20°C. Stable for one year after shipment. Aliquoting is unnecessary for -20oC storage. |
背景介绍
Tnfsf18 (Tumor necrosis factor ligand superfamily member 18), also known as GITRL (Glucocorticoid-Induced TNF Receptor Ligand), is a cytokine belonging to the tumor necrosis factor (TNF) ligand family. Tnfsf18 regulates T cell activation and the positive regulation of NF-κB transcription factor activity. TNFSF18 has been implicated in various inflammatory conditions.
实验方案
| Product Specific Protocols | |
|---|---|
| IHC protocol for Tnfsf18 antibody 32743-1-AP | Download protocol |
| Standard Protocols | |
|---|---|
| Click here to view our Standard Protocols |

