验证数据展示
经过测试的应用
| Positive WB detected in | THP-1 cells, A431 cells |
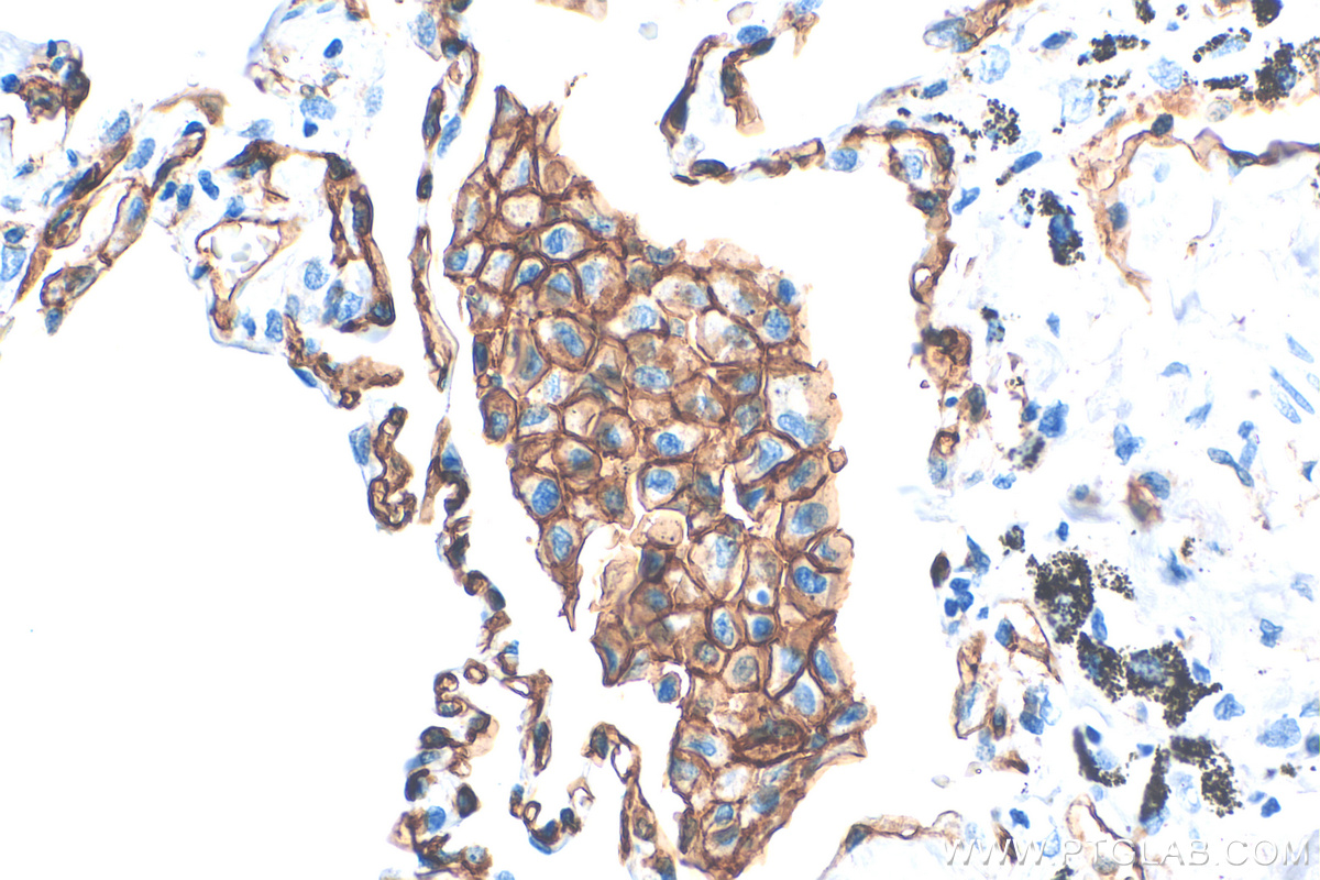
| Positive IHC detected in | human lung tissue, human cervical squamous cancer tissue, human lung squamous cell carcinoma tissue, human placenta tissue Note: suggested antigen retrieval with TE buffer pH 9.0; (*) Alternatively, antigen retrieval may be performed with citrate buffer pH 6.0 |
| Positive IF/ICC detected in | A431 cells |
推荐稀释比
| 应用 | 推荐稀释比 |
|---|---|
| Western Blot (WB) | WB : 1:5000-1:50000 |
| Immunohistochemistry (IHC) | IHC : 1:500-1:2000 |
| Immunofluorescence (IF)/ICC | IF/ICC : 1:125-1:500 |
| It is recommended that this reagent should be titrated in each testing system to obtain optimal results. | |
| Sample-dependent, Check data in validation data gallery. | |
产品信息
83416-4-RR targets CD141/Thrombomodulin in WB, IHC, IF/ICC, ELISA applications and shows reactivity with human samples.
| 经测试应用 | WB, IHC, IF/ICC, ELISA Application Description |
| 经测试反应性 | human |
| 免疫原 |
CatNo: Eg0944 Product name: Recombinant human Thrombomodulin protein Source: mammalian cells-derived, pHZ-KIsec-C-6*HIS Tag: C-6*HIS Domain: 19-515 aa of NM_000361.3 Sequence: APAEPQPGGSQCVEHDCFALYPGPATFLNASQICDGLRGHLMTVRSSVAADVISLLLNGDGGVGRRRLWIGLQLPPGCGDPKRLGPLRGFQWVTGDNNTSYSRWARLDLNGAPLCGPLCVAVSAAEATVPSEPIWEEQQCEVKADGFLCEFHFPATCRPLAVEPGAAAAAVSITYGTPFAARGADFQALPVGSSAAVAPLGLQLMCTAPPGAVQGHWAREAPGAWDCSVENGGCEHACNAIPGAPRCQCPAGAALQADGRSCTASATQSCNDLCEHFCVPNPDQPGSYSCMCETGYRLAADQHRCEDVDDCILEPSPCPQRCVNTQGGFECHCYPNYDLVDGECVEPVDPCFRANCEYQCQPLNQTSYLCVCAEGFAPIPHEPHRCQMFCNQTACPADCDPNTQASCECPEGYILDDGFICTDIDECENGGFCSGVCHNLPGTFECICGPDSALARHIGTDCDSGKVDGGDSGSGEPPPSPTPGSTLTPPAVGLVHS 种属同源性预测 |
| 宿主/亚型 | Rabbit / IgG |
| 抗体类别 | Recombinant |
| 产品类型 | Antibody |
| 全称 | thrombomodulin |
| 别名 | THBD, Thrombomodulin, 240365D1, CD141, Fetomodulin |
| 计算分子量 | 60 kDa |
| 观测分子量 | 100-105 kDa |
| GenBank蛋白编号 | NM_000361.3 |
| 基因名称 | THBD |
| Gene ID (NCBI) | 7056 |
| RRID | AB_3671065 |
| 偶联类型 | Unconjugated |
| 形式 | Liquid |
| 纯化方式 | Protein A purfication |
| UNIPROT ID | P07204 |
| 储存缓冲液 | PBS with 0.02% sodium azide and 50% glycerol, pH 7.3. |
| 储存条件 | Store at -20°C. Stable for one year after shipment. Aliquoting is unnecessary for -20oC storage. |
背景介绍
Thrombomodulin, also known as CD141, is an endothelial cell surface glycoprotein that forms a 1:1 complex with the coagulation factor thrombin and plays an important role as a natural anticoagulant. Thrombomodulin serves to convert thrombin from a procoagulant protein into the activator for protein C. Once converted to activated protein C (APC), this protein serves as a major anticoagulant in blood (PMID: 2827310). Thrombomodulin is also located in other cells (keratinocytes, osteoblasts, macrophages,...) where it might be involved in cell differentiation or in inflammation (PMID: 9814688). In humans, thrombomodulin is encoded by the THBD gene. Mutations in this gene are a cause of thromboembolic disease, also known as inherited thrombophilia. Thrombomodulin is glycosylated and has an apparent molecular weight of 75 to 110 kDa (PMID: 1650405; 2827310).
实验方案
| Product Specific Protocols | |
|---|---|
| IF protocol for CD141/Thrombomodulin antibody 83416-4-RR | Download protocol |
| IHC protocol for CD141/Thrombomodulin antibody 83416-4-RR | Download protocol |
| WB protocol for CD141/Thrombomodulin antibody 83416-4-RR | Download protocol |
| Standard Protocols | |
|---|---|
| Click here to view our Standard Protocols |










