验证数据展示
经过测试的应用
| Positive WB detected in | HeLa cells, HepG2 cells, Jurkat cells, K-562 cells, MCF-7 cells, NIH/3T3 cells, C6 cells |
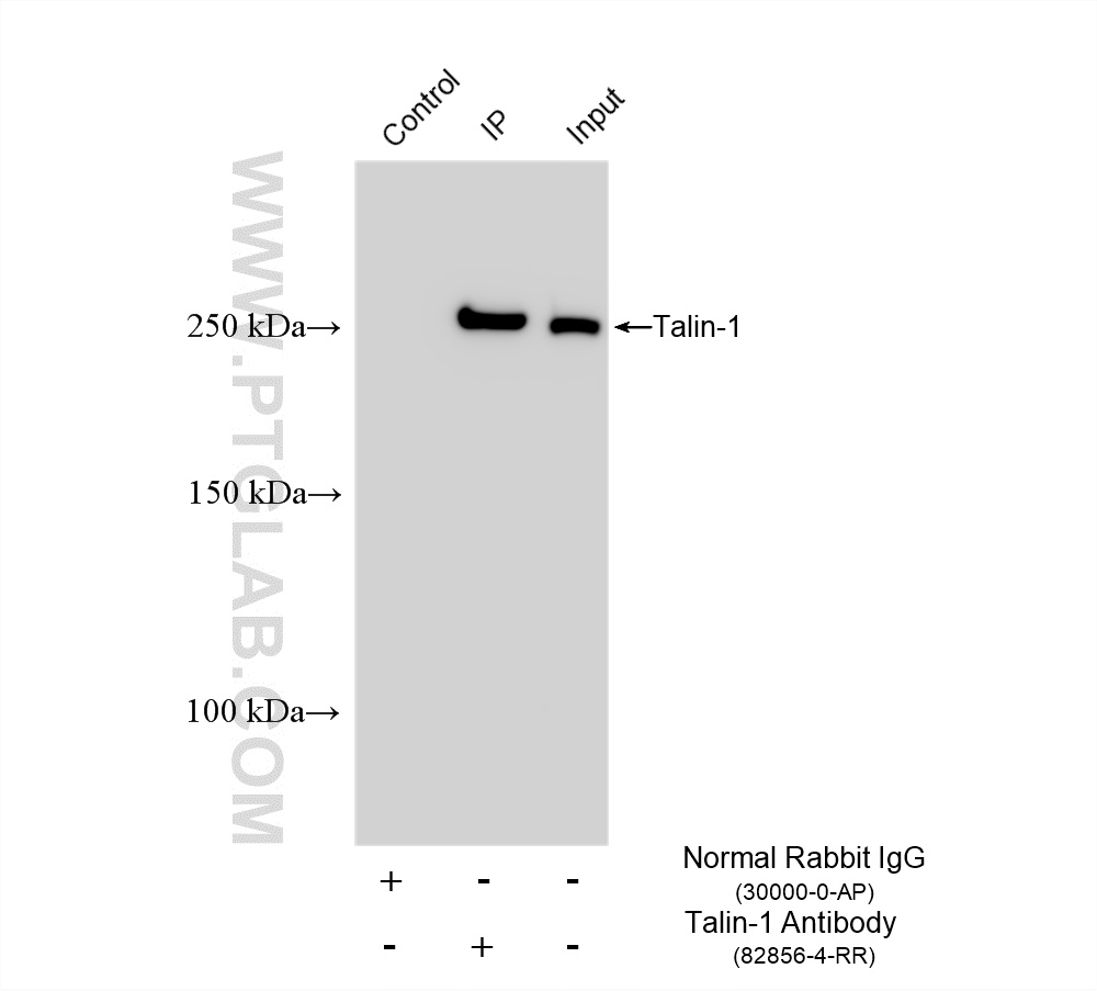
| Positive IP detected in | HeLa cells |
| Positive IHC detected in | human colon tissue, mouse colon tissue Note: suggested antigen retrieval with TE buffer pH 9.0; (*) Alternatively, antigen retrieval may be performed with citrate buffer pH 6.0 |
| Positive IF/ICC detected in | A549 cells, HUVEC cells |
推荐稀释比
| 应用 | 推荐稀释比 |
|---|---|
| Western Blot (WB) | WB : 1:5000-1:50000 |
| Immunoprecipitation (IP) | IP : 0.5-4.0 ug for 1.0-3.0 mg of total protein lysate |
| Immunohistochemistry (IHC) | IHC : 1:1000-1:4000 |
| Immunofluorescence (IF)/ICC | IF/ICC : 1:500-1:2000 |
| It is recommended that this reagent should be titrated in each testing system to obtain optimal results. | |
| Sample-dependent, Check data in validation data gallery. | |
发表文章中的应用
| IF | See 1 publications below |
产品信息
82856-4-RR targets Talin-1 in WB, IHC, IF/ICC, IP, ELISA applications and shows reactivity with human, mouse, rat samples.
| 经测试应用 | WB, IHC, IF/ICC, IP, ELISA Application Description |
| 文献引用应用 | IF |
| 经测试反应性 | human, mouse, rat |
| 文献引用反应性 | mouse |
| 免疫原 |
CatNo: Ag5367 Product name: Recombinant human TLN1 protein Source: e coli.-derived, PGEX-4T Tag: GST Domain: 2193-2541 aa of BC042923 Sequence: GNSCRQEDVIATANLSRRAIADMLRACKEAAYHPEVAPDVRLRALHYGRECANGYLELLDHVLLTLQKPSPELKQQLTGHSKRVAGSVTELIQAAEAMKGTEWVDPEDPTVIAENELLGAAAAIEAAAKKLEQLKPRAKPKEADESLNFEEQILEAAKSIAAATSALVKAASAAQRELVAQGKVGAIPANALDDGQWSQGLISAARMVAAATNNLCEAANAAVQGHASQEKLISSAKQVAASTAQLLVACKVKADQDSEAMKRLQAAGNAVKRASDNLVKAAQKAAAFEEQENETVVVKEKMVGGIAQIIAAQEEMLRKERELEEARKKLAQIRQQQYKFLPSELRDEH 种属同源性预测 |
| 宿主/亚型 | Rabbit / IgG |
| 抗体类别 | Recombinant |
| 产品类型 | Antibody |
| 全称 | talin 1 |
| 别名 | 7D11, ILWEQ, KIAA1027, talin 1, talin1 |
| 计算分子量 | 2541 aa, 270 kDa |
| 观测分子量 | 270 kDa |
| GenBank蛋白编号 | BC042923 |
| 基因名称 | Talin-1 |
| Gene ID (NCBI) | 7094 |
| RRID | AB_3086557 |
| 偶联类型 | Unconjugated |
| 形式 | Liquid |
| 纯化方式 | Protein A purification |
| UNIPROT ID | Q9Y490 |
| 储存缓冲液 | PBS with 0.02% sodium azide and 50% glycerol, pH 7.3. |
| 储存条件 | Store at -20°C. Stable for one year after shipment. Aliquoting is unnecessary for -20oC storage. |
背景介绍
Talin-1 is a large cytoskeletal protein consisting of a globular head domain and a long rod comprised of a series of α-helical bundles (PMID: 35266014). Talin-1 is ubiquitously expressed and is a major component of focal adhesions which are multi-protein, integrin-containing complexes, mediating cell migration, adhesion and integrin signalling (PMID: 33431906). Talin-1 also plays a role in tumor formation, migration and metastasis in various malignancies (PMID: 37013489).
实验方案
| Product Specific Protocols | |
|---|---|
| IF protocol for Talin-1 antibody 82856-4-RR | Download protocol |
| IHC protocol for Talin-1 antibody 82856-4-RR | Download protocol |
| IP protocol for Talin-1 antibody 82856-4-RR | Download protocol |
| WB protocol for Talin-1 antibody 82856-4-RR | Download protocol |
| Standard Protocols | |
|---|---|
| Click here to view our Standard Protocols |











