验证数据展示
经过测试的应用
| Positive WB detected in | HL-60 cells, K-562 cells, PC-12 cells |
| Positive IP detected in | BxPC-3 cells, HL-60 cells |
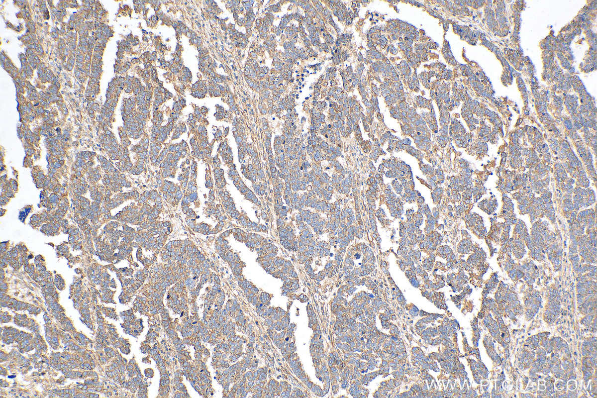
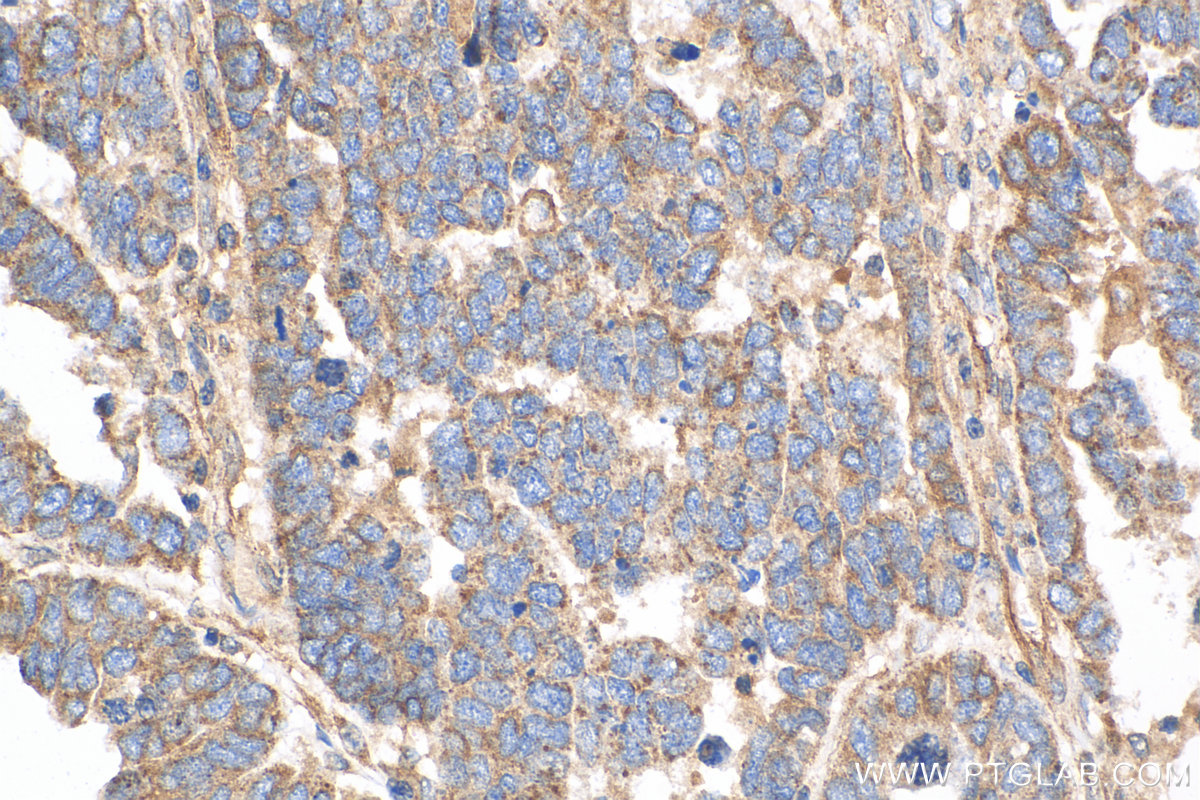
| Positive IHC detected in | human kidney tissue, human ovary tumor tissue, mouse colon tissue, mouse kidney tissue, rat kidney tissue Note: suggested antigen retrieval with TE buffer pH 9.0; (*) Alternatively, antigen retrieval may be performed with citrate buffer pH 6.0 |
推荐稀释比
| 应用 | 推荐稀释比 |
|---|---|
| Western Blot (WB) | WB : 1:500-1:1000 |
| Immunoprecipitation (IP) | IP : 0.5-4.0 ug for 1.0-3.0 mg of total protein lysate |
| Immunohistochemistry (IHC) | IHC : 1:50-1:500 |
| It is recommended that this reagent should be titrated in each testing system to obtain optimal results. | |
| Sample-dependent, Check data in validation data gallery. | |
产品信息
18243-1-AP targets TXNIP in WB, IHC, IF, IP, CoIP, ELISA applications and shows reactivity with human, mouse, rat samples.
| 经测试应用 | WB, IHC, IP, ELISA Application Description |
| 文献引用应用 | WB, IHC, IF, IP, CoIP |
| 经测试反应性 | human, mouse, rat |
| 文献引用反应性 | human, mouse, rat |
| 免疫原 |
CatNo: Ag13009 Product name: Recombinant human TXNIP protein Source: e coli.-derived, PGEX-4T Tag: GST Domain: 1-391 aa of BC093702 Sequence: MVMFKKIKSFEVVFNDPEKVYGSGEKVAGRVIVEVCEVTRVKAVRILACGVAKVLWMQGSQQCKQTSEYLRYEDTLLLEDQPTGENEMVIMRPGNKYEYKFGFELPQGPLGTSFKGKYGCVDYWVKAFLDRPSQPTQETKKNFEVVDLVDVNTPDLMAPVSAKKEKKVSCMFIPDGRVSVSARIDRKGFCEGDEISIHADFENTCSRIVVPKAAIVARHTYLANGQTKVLTQKLSSVRGNHIISGTCASWRGKSLRVQKIRPSILGCNILRVEYSLLIYVSVPGSKKVILDLPLVIGSRSGLSSRTSSMASRTSSEMSWVDLNIPDTPEAPPCYMDVIPEDHRLESPTTPLLDDMDGSQDSPIFMYAPEFKFMPPPTYTEVDPCILNNNVQ 种属同源性预测 |
| 宿主/亚型 | Rabbit / IgG |
| 抗体类别 | Polyclonal |
| 产品类型 | Antibody |
| 全称 | thioredoxin interacting protein |
| 别名 | Thioredoxin binding protein 2, thioredoxin interacting protein, Thioredoxin-binding protein 2, Thioredoxin-interacting protein, VDUP1 |
| 计算分子量 | 391 aa, 44 kDa |
| 观测分子量 | 44-55 kDa |
| GenBank蛋白编号 | BC093702 |
| 基因名称 | TXNIP |
| Gene ID (NCBI) | 10628 |
| RRID | AB_2876873 |
| 偶联类型 | Unconjugated |
| 形式 | Liquid |
| 纯化方式 | Antigen affinity purification |
| UNIPROT ID | Q9H3M7 |
| 储存缓冲液 | PBS with 0.02% sodium azide and 50% glycerol, pH 7.3. |
| 储存条件 | Store at -20°C. Stable for one year after shipment. Aliquoting is unnecessary for -20oC storage. |
背景介绍
TXNIP, also known as VDUP-1 or TBP-2, belongs to alpha-arrestin protein family and is perhaps the only family member known to bind thioredoxin (TRX). TXNIP was induced by Vitamin D3, but not induced by another monocyte or macrophage differentiation inducer: phorbol 12-myristate 13-acetate (PMA). TXNIP bound catalytic active center of thioredoxin (TRX), which protected cells against oxidative stress. TXNIP was found to be a negative regulator of thioredoxin activity and inducer of the intracellular level of reactive oxygen species (ROS). TXNIP plays an important role in a wide variety of biological functions, such as the regulation of cell death, growth, differentiation, and energy metabolism.
实验方案
| Product Specific Protocols | |
|---|---|
| IHC protocol for TXNIP antibody 18243-1-AP | Download protocol |
| IP protocol for TXNIP antibody 18243-1-AP | Download protocol |
| WB protocol for TXNIP antibody 18243-1-AP | Download protocol |
| Standard Protocols | |
|---|---|
| Click here to view our Standard Protocols |
发表文章
| Species | Application | Title |
|---|---|---|
Gastroenterology MondoA-Thioredoxin-Interacting Protein Axis Maintains Regulatory T-Cell Identity and Function in Colorectal Cancer Microenvironment. | ||
Clin Cancer Res FBW7 (F-box and WD repeat domain-containing 7) negatively regulates glucose metabolism by targeting the c-Myc/TXNIP (thioredoxin binding protein) axis in pancreatic cancer. | ||
Theranostics Epigenetic repression of miR-17 contributed to di(2-ethylhexyl) phthalate-triggered insulin resistance by targeting Keap1-Nrf2/miR-200a axis in skeletal muscle. | ||
Oxid Med Cell Longev PPARγ Alleviates Sepsis-Induced Liver Injury by Inhibiting Hepatocyte Pyroptosis via Inhibition of the ROS/TXNIP/NLRP3 Signaling Pathway. |











