验证数据展示
经过测试的应用
| Positive WB detected in | HEK-293 cells, MCF-7 cells, HeLa cells, HepG2 cells, mouse testis tissue |
| Positive IP detected in | mouse testis tissue |
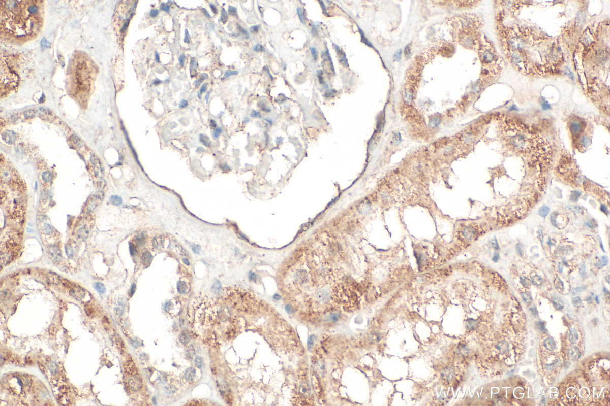
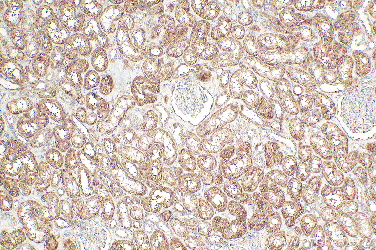
| Positive IHC detected in | human kidney tissue Note: suggested antigen retrieval with TE buffer pH 9.0; (*) Alternatively, antigen retrieval may be performed with citrate buffer pH 6.0 |
| Positive IF/ICC detected in | A549 cells |
推荐稀释比
| 应用 | 推荐稀释比 |
|---|---|
| Western Blot (WB) | WB : 1:500-1:1000 |
| Immunoprecipitation (IP) | IP : 0.5-4.0 ug for 1.0-3.0 mg of total protein lysate |
| Immunohistochemistry (IHC) | IHC : 1:200-1:800 |
| Immunofluorescence (IF)/ICC | IF/ICC : 1:200-1:800 |
| It is recommended that this reagent should be titrated in each testing system to obtain optimal results. | |
| Sample-dependent, Check data in validation data gallery. | |
发表文章中的应用
| KD/KO | See 1 publications below |
| WB | See 4 publications below |
产品信息
24594-1-AP targets TTC37 in WB, IHC, IF/ICC, IP, ELISA applications and shows reactivity with human, mouse samples.
| 经测试应用 | WB, IHC, IF/ICC, IP, ELISA Application Description |
| 文献引用应用 | WB |
| 经测试反应性 | human, mouse |
| 文献引用反应性 | human, mouse |
| 免疫原 |
CatNo: Ag18442 Product name: Recombinant human TTC37 protein Source: e coli.-derived, PET28a Tag: 6*His Domain: 1215-1564 aa of BC056893 Sequence: VVAGNVAHILDSNHGKKALLYTAVNQLAMGSSSAEDEKNTALKTIQKAALLSPGDPAIWAGLMAACHADDKLALVNNTQPKRIDLYLALLSAVSASIKDEKFFENYNQSLEKWSLSQAVTGLIDTGRISEAETLCTKNLKSNPDQPAVILLLRQVQCKPLLESQKPLPDAVLEELQKTVMSNSTSVPAWQWLAHVYQSQGMMRAAEMCYRKSLQLASQRGSWSGKLSSLLRLALLALKVCMANISNDHWPSLVQEATTEALKLCFCPLAVLLQALLQFKRKMGARETRRLLERVVYQPGYPKSIASTARWYLLRHLYAKDDYELIDVLVNNAKTHGDTRALELNQRLSSQ 种属同源性预测 |
| 宿主/亚型 | Rabbit / IgG |
| 抗体类别 | Polyclonal |
| 产品类型 | Antibody |
| 全称 | tetratricopeptide repeat domain 37 |
| 别名 | KIAA0372, Ski3, SKIC3, Superkiller complex protein 3, Thespin |
| 计算分子量 | 1564 aa, 175 kDa |
| 观测分子量 | 140-150 kDa |
| GenBank蛋白编号 | BC056893 |
| 基因名称 | TTC37 |
| Gene ID (NCBI) | 9652 |
| RRID | AB_2879628 |
| 偶联类型 | Unconjugated |
| 形式 | Liquid |
| 纯化方式 | Antigen affinity purification |
| UNIPROT ID | Q6PGP7 |
| 储存缓冲液 | PBS with 0.02% sodium azide and 50% glycerol, pH 7.3. |
| 储存条件 | Store at -20°C. Stable for one year after shipment. Aliquoting is unnecessary for -20oC storage. |
背景介绍
TTC37 (tetratricopeptide repeat protein 37), also named as Thespin, encodes 1,564 amino acid protein that contains twenty tetratricopeptide (TPR) repeats. TPR repeat-containing motifs are found in a variety of proteins and may mediate protein-protein interactions and chaperone activity. Although not expressed in liver, TTC37 is a widely expressed protein with highest levels of expression in vascular tissues, lymph node, pituitary, lung and intestine. TTC37 is a component of the SKI complex which is thought to be involved in exosome-mediated RNA decay and associates with transcriptionally active genes in a manner dependent on PAF1 complex (PAF1C). Defects in TTC37 are associated with Trico-Hepato-Enteric (THE) syndrome.
实验方案
| Product Specific Protocols | |
|---|---|
| IF protocol for TTC37 antibody 24594-1-AP | Download protocol |
| IHC protocol for TTC37 antibody 24594-1-AP | Download protocol |
| IP protocol for TTC37 antibody 24594-1-AP | Download protocol |
| WB protocol for TTC37 antibody 24594-1-AP | Download protocol |
| Standard Protocols | |
|---|---|
| Click here to view our Standard Protocols |
发表文章
| Species | Application | Title |
|---|---|---|
J Clin Invest Cytoplasmic RNA quality control failure engages mTORC1-mediated autoinflammatory disease. | ||
PLoS Genet A Comprehensive Genomic Analysis Reveals the Genetic Landscape of Mitochondrial Respiratory Chain Complex Deficiencies. | ||
Mol Cancer Ther Targeting the synthetic lethal relationship between FOCAD and TUT7 represents a potential therapeutic opportunity for TUT4/7 small molecule inhibitors in cancer | ||
EMBO J RNA helicase SKIV2L limits antiviral defense and autoinflammation elicited by the OAS-RNase L pathway
|







