验证数据展示
经过测试的应用
| Positive WB detected in | mouse testis tissue |
| Positive IP detected in | mouse testis tissue |
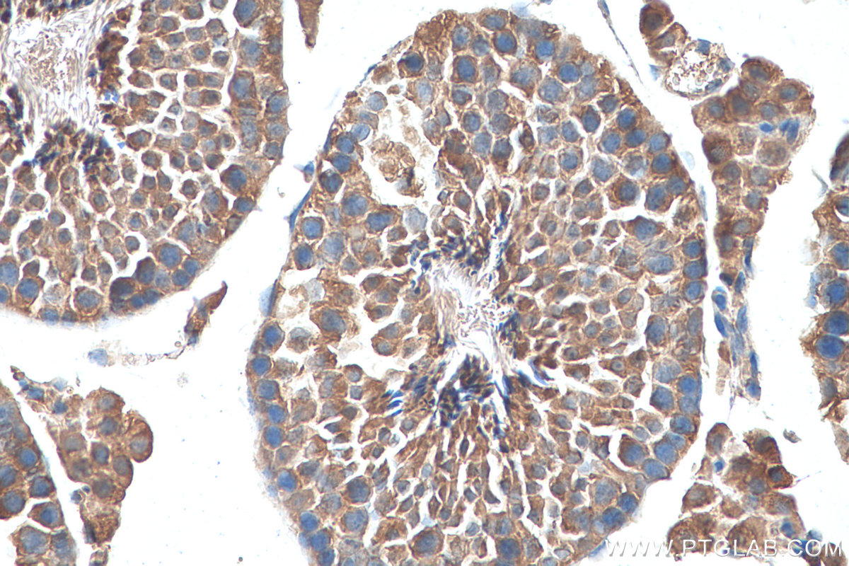
| Positive IHC detected in | mouse testis tissue Note: suggested antigen retrieval with TE buffer pH 9.0; (*) Alternatively, antigen retrieval may be performed with citrate buffer pH 6.0 |
推荐稀释比
| 应用 | 推荐稀释比 |
|---|---|
| Western Blot (WB) | WB : 1:200-1:1000 |
| Immunoprecipitation (IP) | IP : 0.5-4.0 ug for 1.0-3.0 mg of total protein lysate |
| Immunohistochemistry (IHC) | IHC : 1:50-1:500 |
| It is recommended that this reagent should be titrated in each testing system to obtain optimal results. | |
| Sample-dependent, Check data in validation data gallery. | |
产品信息
25422-1-AP targets TTC32 in WB, IP, IHC, ELISA applications and shows reactivity with human, mouse samples.
| 经测试应用 | WB, IP, IHC, ELISA Application Description |
| 经测试反应性 | human, mouse |
| 免疫原 |
CatNo: Ag22115 Product name: Recombinant human TTC32 protein Source: e coli.-derived, PET30a Tag: 6*His Domain: 1-151 aa of BC057850 Sequence: MEGQRQESHATLTLAQAHFNNGEYAEAEALYSAYIRRCACAASSDESPGSKCSPEDLATAYNNRGQIKYFRVDFYEAMDDYTSAIEVQPNFEVPYYNRGLILYRLGYFDDALEDFKKVLDLNPGFQDATLSLKQTILDKEEKQRRNVAKNY 种属同源性预测 |
| 宿主/亚型 | Rabbit / IgG |
| 抗体类别 | Polyclonal |
| 产品类型 | Antibody |
| 全称 | tetratricopeptide repeat domain 32 |
| 别名 | TPR repeat protein 32, TTC32 |
| 计算分子量 | 151 aa, 17 kDa |
| 观测分子量 | 17-30 kDa |
| GenBank蛋白编号 | BC057850 |
| 基因名称 | TTC32 |
| Gene ID (NCBI) | 130502 |
| RRID | AB_2880073 |
| 偶联类型 | Unconjugated |
| 形式 | Liquid |
| 纯化方式 | Antigen affinity purification |
| UNIPROT ID | Q5I0X7 |
| 储存缓冲液 | PBS with 0.02% sodium azide and 50% glycerol, pH 7.3. |
| 储存条件 | Store at -20°C. Stable for one year after shipment. Aliquoting is unnecessary for -20oC storage. |
实验方案
| Product Specific Protocols | |
|---|---|
| IHC protocol for TTC32 antibody 25422-1-AP | Download protocol |
| IP protocol for TTC32 antibody 25422-1-AP | Download protocol |
| WB protocol for TTC32 antibody 25422-1-AP | Download protocol |
| Standard Protocols | |
|---|---|
| Click here to view our Standard Protocols |



