验证数据展示
产品信息
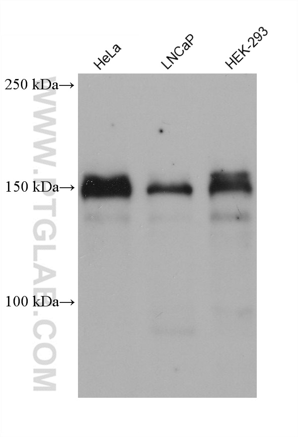
68562-1-PBS targets TRPS1 in WB, Indirect ELISA applications and shows reactivity with Human samples.
| 经测试应用 | WB, Indirect ELISA Application Description |
| 经测试反应性 | Human |
| 免疫原 |
CatNo: Ag30199 Product name: Recombinant human TRPS1 protein Source: e coli.-derived, PET28a Tag: 6*His Domain: 1158-1281 aa of NM_014112 Sequence: SDNDIPLDLAIKHSRPGPTANGASKEKTKAPPNVKNEGPLNVVKTEKVDRSTQDELSTKCVHCGIVFLDEVMYALHMSCHGDSGPFQCSICQHLCTDKYDFTTHIQRGLHRNNAQVEKNGKPKE 种属同源性预测 |
| 宿主/亚型 | Mouse / IgG1 |
| 抗体类别 | Monoclonal |
| 产品类型 | Antibody |
| 全称 | trichorhinophalangeal syndrome I |
| 别名 | GC79, LGCR, TRPS1, Zinc finger protein GC79 |
| 计算分子量 | 142 kDa |
| 观测分子量 | 150 kDa |
| GenBank蛋白编号 | NM_014112 |
| 基因名称 | TRPS1 |
| Gene ID (NCBI) | 7227 |
| RRID | AB_3085264 |
| 偶联类型 | Unconjugated |
| 形式 | Liquid |
| 纯化方式 | Protein G purification |
| UNIPROT ID | Q9UHF7 |
| 储存缓冲液 | PBS only, pH 7.3. |
| 储存条件 | Store at -80°C. The product is shipped with ice packs. Upon receipt, store it immediately at -80°C |
背景介绍
TRPS1 is a zinc finger transcriptional repressor involved in the regulation of chondrocyte and perichondrium development, containing a GATA-type zinc finger through which it binds to DNA. with nine zinc-finger domains and two C-terminal Ikaros-like zinc fingers. Its reperssible function was dependent on the integrity of the Trps1 GATA-type zinc-finger domain and also required the C-terminal 119 amino acids of the protein, which harbor the two Ikaros-like zinc-finger domains

