验证数据展示
经过测试的应用
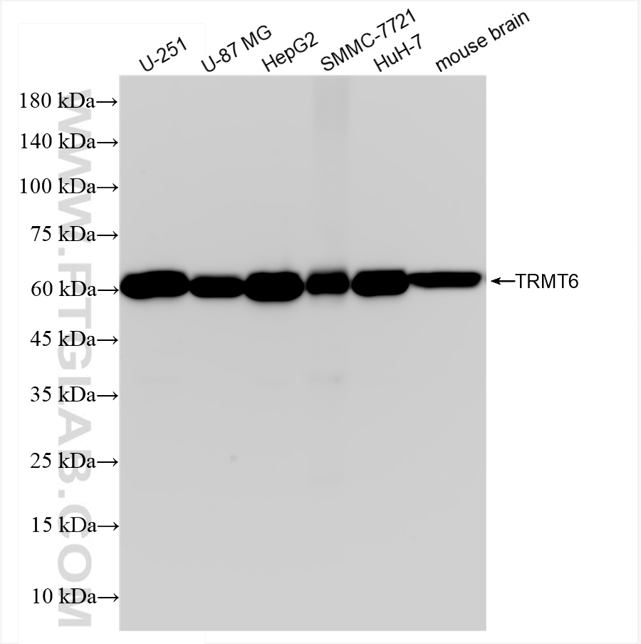
| Positive WB detected in | U-251 cells, HepG2 cells, U-87 MG cells, SMMC-7721 cells, HuH-7 cells, mouse brain tissue |
| Positive IHC detected in | human ovarian cancer Note: suggested antigen retrieval with TE buffer pH 9.0; (*) Alternatively, antigen retrieval may be performed with citrate buffer pH 6.0 |
| Positive IF/ICC detected in | A431 cells |
推荐稀释比
| 应用 | 推荐稀释比 |
|---|---|
| Western Blot (WB) | WB : 1:2000-1:16000 |
| Immunohistochemistry (IHC) | IHC : 1:600-1:2400 |
| Immunofluorescence (IF)/ICC | IF/ICC : 1:200-1:800 |
| It is recommended that this reagent should be titrated in each testing system to obtain optimal results. | |
| Sample-dependent, Check data in validation data gallery. | |
产品信息
83843-6-RR targets TRMT6 in WB, IHC, IF/ICC, ELISA applications and shows reactivity with human, mouse samples.
| 经测试应用 | WB, IHC, IF/ICC, ELISA Application Description |
| 经测试反应性 | human, mouse |
| 免疫原 |
CatNo: Ag10176 Product name: Recombinant human TRMT6 protein Source: e coli.-derived, PGEX-4T Tag: GST Domain: 1-497 aa of BC001262 Sequence: MEGSGEQPGPQPQHPGDHRIRDGDFVVLKREDVFKAVQVQRRKKVTFEKQWFYLDNVIGHSYGTAFEVTSGGSLQPKKKREEPTAETKEAGTDNRNIVDDGKSQKLTQDDIKALKDKGIKGEEIVQQLIENSTTFRDKTEFAQDKYIKKKKKKYEAIITVVKPSTRILSIMYYAREPGKINHMRYDTLAQMLTLGNIRAGNKMIVMETCAGLVLGAMMERMGGFGSIIQLYPGGGPVRAATACFGFPKSFLSGLYEFPLNKVDSLLHGTFSAKMLSSEPKDSALVEESNGTLEEKQASEQENEDSMAEAPESNHPEDQETMETISQDPEHKGPKERGSKKDYIQEKQRRQEEQRKRHLEAAALLSERNADGLIVASRFHPTPLLLSLLDFVAPSRPFVVYCQYKEPLLECYTKLRERGGVINLRLSETWLRNYQVLPDRSHPKLLMSGGGGYLLSGFTVAMDNLKADTSLKSNASTLESHETEEPAAKKRKCPESDS 种属同源性预测 |
| 宿主/亚型 | Rabbit / IgG |
| 抗体类别 | Recombinant |
| 产品类型 | Antibody |
| 全称 | tRNA methyltransferase 6 homolog (S. cerevisiae) |
| 别名 | 240911D3, CGI 09, CGI-09, mRNA methyladenosine-N(1)-methyltransferase non-catalytic subunit TRM6, TRM6 |
| 计算分子量 | 56 kDa |
| 观测分子量 | 55-60 kDa |
| GenBank蛋白编号 | BC001262 |
| 基因名称 | TRMT6 |
| Gene ID (NCBI) | 51605 |
| RRID | AB_3671428 |
| 偶联类型 | Unconjugated |
| 形式 | Liquid |
| 纯化方式 | Protein A purfication |
| UNIPROT ID | Q9UJA5 |
| 储存缓冲液 | PBS with 0.02% sodium azide and 50% glycerol, pH 7.3. |
| 储存条件 | Store at -20°C. Stable for one year after shipment. Aliquoting is unnecessary for -20oC storage. |
背景介绍
Transfer RNA (tRNA) modifications help regulate the efficiency of mRNA translation by maintaining the correct reading frames within mRNA. TRMT6 (tRNA methyltransferase 6 ), also known as GCD10 or TRM6, is a 497 amino acid protein that localizes to the nucleus and exists as a heterodimer with TRM61. Expressed in liver, brain, ovary and testis, TRMT6 functions as a substrate-binding subunit of tRNA and is thought to catalyze the formation of N(1)-methyladenine at position 58 in initiator methionyl-tRNA. TRMT6 exists as three alternatively spliced isoforms that, in response to DNA damage, may be phosphorylated by ATM or ATR.
实验方案
| Product Specific Protocols | |
|---|---|
| WB protocol for TRMT6 antibody 83843-6-RR | Download protocol |
| IHC protocol for TRMT6 antibody 83843-6-RR | Download protocol |
| IF protocol for TRMT6 antibody 83843-6-RR | Download protocol |
| Standard Protocols | |
|---|---|
| Click here to view our Standard Protocols |




