验证数据展示
经过测试的应用
| Positive WB detected in | MCF-7 cells, HepG2 cells, mouse liver tissue | 
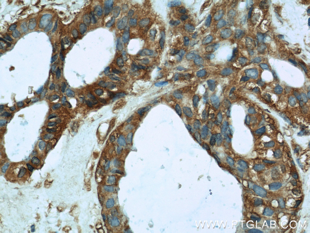
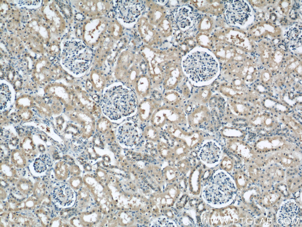
| Positive IHC detected in | human kidney tissue,  human breast cancer tissue Note: suggested antigen retrieval with TE buffer pH 9.0; (*) Alternatively, antigen retrieval may be performed with citrate buffer pH 6.0 | 
推荐稀释比
| 应用 | 推荐稀释比 | 
|---|---|
| Western Blot (WB) | WB : 1:500-1:1000 | 
| Immunohistochemistry (IHC) | IHC : 1:20-1:200 | 
| It is recommended that this reagent should be titrated in each testing system to obtain optimal results. | |
| Sample-dependent, Check data in validation data gallery. | |
发表文章中的应用
| KD/KO | See 1 publications below | 
| WB | See 1 publications below | 
产品信息
16199-1-AP targets HTF9C in WB, IHC, ELISA applications and shows reactivity with human, mouse, rat samples.
| 经测试应用 | WB, IHC, ELISA Application Description | 
| 文献引用应用 | WB | 
| 经测试反应性 | human, mouse, rat | 
| 文献引用反应性 | human | 
| 免疫原 | CatNo: Ag9112 Product name: Recombinant human TRMT2A protein Source: e coli.-derived, PGEX-4T Tag: GST Domain: 277-625 aa of BC013352 Sequence: DTVHIPEATKQVVKAFQEFIRSTPYSAYDPETYTGHWKQLTVRTSRRHQAMAIAYFHPQKLSPEELAELKTSLAQHFTAGPGRASGVTCLYFVEEGQRKTPSQEGLPLEHVAGDRCIHEDLLGLTFRISPHAFFQVNTPAAEVLYTVIQDWAQLDAGSMVLDVCCGTGTIGLALARKVKRVIGVELCPEAVEDARVNAQDNELSNVEFHCGRAEDLVPTLVSRLASQHLVAILDPPRAGLHSKVILAIRRAKNLRRLLYVSCNPRAAMGNFVDLCRAPSNRVKGIPFRPVKAVAVDLFPQTPHCEMLILFERVEHPNGTGVLGPHSPPAQPTPGPPDNTLQETGTFPSS种属同源性预测 | 
| 宿主/亚型 | Rabbit / IgG | 
| 抗体类别 | Polyclonal | 
| 产品类型 | Antibody | 
| 全称 | TRM2 tRNA methyltransferase 2 homolog A (S. cerevisiae) | 
| 别名 | TRMT2A, EC:2.1.1.-, EC:2.1.1.35, mRNA, tRNA (uracil 5 ) methyltransferase homolog A | 
| 计算分子量 | 625 aa, 69 kDa | 
| 观测分子量 | 42-44 kDa, 68-75 kDa | 
| GenBank蛋白编号 | BC013352 | 
| 基因名称 | TRMT2A | 
| Gene ID (NCBI) | 27037 | 
| RRID | AB_2209623 | 
| 偶联类型 | Unconjugated | 
| 形式 | Liquid | 
| 纯化方式 | Antigen affinity purification | 
| UNIPROT ID | Q8IZ69 | 
| 储存缓冲液 | PBS with 0.02% sodium azide and 50% glycerol, pH 7.3. | 
| 储存条件 | Store at -20°C. Stable for one year after shipment. Aliquoting is unnecessary for -20oC storage. | 
背景介绍
tRNA methyltransferase 2 homolog A (TRMT2A), also known as HTF9C is a novel cell cycle regulated protein, as associated with aggressive clinical course. HTF9C harbors a putative RNA recognition motif (RRM) in the N-terminus and the conserved uracil-C5-methyltransferase domain of the TrmA family in the C-terminus. HTF9C antibody can detect two bands about 68 kDa and 40 kDa (PMID: 20307320).
实验方案
| Product Specific Protocols | |
|---|---|
| IHC protocol for HTF9C antibody 16199-1-AP | Download protocol | 
| WB protocol for HTF9C antibody 16199-1-AP | Download protocol | 
| Standard Protocols | |
|---|---|
| Click here to view our Standard Protocols | 









