验证数据展示
经过测试的应用
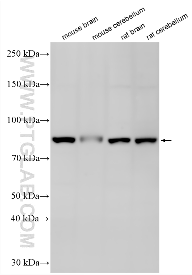
| Positive WB detected in | mouse brain tissue, mouse cerebellum tissue, rat brain tissue, rat cerebellum tissue |
推荐稀释比
| 应用 | 推荐稀释比 |
|---|---|
| Western Blot (WB) | WB : 1:1000-1:4000 |
| It is recommended that this reagent should be titrated in each testing system to obtain optimal results. | |
| Sample-dependent, Check data in validation data gallery. | |
产品信息
33811-1-AP targets TRMT1L/C1orf25 in WB, ELISA applications and shows reactivity with human, mouse, rat samples.
| 经测试应用 | WB, ELISA Application Description |
| 经测试反应性 | human, mouse, rat |
| 免疫原 |
CatNo: Ag36582 Product name: Recombinant human C1orf25 protein Source: e coli.-derived, PET28a Tag: 6*His Domain: 570-733 aa of BC045535 Sequence: TPQSQFSIHASSNVNKQEENGVFIKTTDDTTTDNYIAQGKRKSNEMITNLGKKQKTDVSTEHPPFYYNIHRHSIKGMNMPKLKKFLCYLSQAGFRVSRTHFDPMGVRTDAPLMQFKSILLKYSTPTYTGGQSESHVQSASEDTVTERVEMSVNDKAEASGCRRW 种属同源性预测 |
| 宿主/亚型 | Rabbit / IgG |
| 抗体类别 | Polyclonal |
| 产品类型 | Antibody |
| 全称 | chromosome 1 open reading frame 25 |
| 别名 | C1orf25, TRMT1L, tRNA methyltransferase 1-like |
| 观测分子量 | 81 kDa |
| GenBank蛋白编号 | BC045535 |
| 基因名称 | C1orf25 |
| Gene ID (NCBI) | 81627 |
| 偶联类型 | Unconjugated |
| 形式 | Liquid |
| 纯化方式 | Antigen affinity Purification |
| UNIPROT ID | Q7Z2T5 |
| 储存缓冲液 | PBS with 0.02% sodium azide and 50% glycerol, pH 7.3. |
| 储存条件 | Store at -20°C. Stable for one year after shipment. Aliquoting is unnecessary for -20oC storage. |
背景介绍
TRMT1L (tRNA methyltransferase 1-like), formerly known as C1orf25, is a vertebrate paralog of the evolutionarily conserved TRMT1 (tRNA methyltransferase 1). Knockout of TRMT1L in mice resulted in significant motor coordination impairment and abnormal exploratory behavior, indicating that its activity is also related to neural function (PMID: 17198746). Human TRMT1L catalyzes m2 and 2G in tyrosine tRNAs and simultaneously regulates acp3U in tRNAs (PMID: 39786990).
实验方案
| Product Specific Protocols | |
|---|---|
| WB protocol for TRMT1L/C1orf25 antibody 33811-1-AP | Download protocol |
| Standard Protocols | |
|---|---|
| Click here to view our Standard Protocols |
