验证数据展示
经过测试的应用
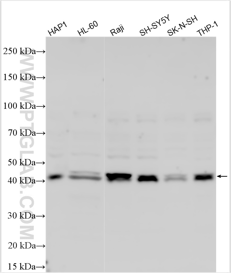
| Positive WB detected in | HAP1 cells, HL-60 cells, HeLa cells, Raji cells, SH-SY5Y cells, SK-N-SH cells, THP-1 cells |
推荐稀释比
| 应用 | 推荐稀释比 |
|---|---|
| Western Blot (WB) | WB : 1:500-1:1000 |
| It is recommended that this reagent should be titrated in each testing system to obtain optimal results. | |
| Sample-dependent, Check data in validation data gallery. | |
产品信息
33056-1-AP targets TRMT10B in WB, ELISA applications and shows reactivity with human samples.
| 经测试应用 | WB, ELISA Application Description |
| 经测试反应性 | human |
| 免疫原 |
CatNo: Ag36835 Product name: Recombinant human RG9MTD3 protein Source: e coli.-derived, PGEX-4T Tag: GST Domain: 1-140 aa of BC012175 Sequence: MDWKLEGSTQKVESPVLQGQEGILEETGEDGLPEGFQLLQIDAEGECQEGEILATGSTAWCSKNVQRKQRHWEKIVAAKKSKRKQEKERRKANRAENPGICPQHSKRFLRALTKDKLLEAKHSGPRLCIDLSMTHYMSKK 种属同源性预测 |
| 宿主/亚型 | Rabbit / IgG |
| 抗体类别 | Polyclonal |
| 产品类型 | Antibody |
| 全称 | RNA (guanine-9-) methyltransferase domain containing 3 |
| 别名 | EC:2.1.1.221, RG9MTD3, RNA (guanine-9-)-methyltransferase domain-containing protein 3, tRNA (guanine(9)-N(1))-methyltransferase TRMT10B, tRNA methyltransferase 10 homolog B |
| 计算分子量 | 36 kDa |
| 观测分子量 | 40 kDa |
| GenBank蛋白编号 | BC012175 |
| 基因名称 | RG9MTD3 |
| Gene ID (NCBI) | 158234 |
| 偶联类型 | Unconjugated |
| 形式 | Liquid |
| 纯化方式 | Antigen affinity Purification |
| UNIPROT ID | Q6PF06 |
| 储存缓冲液 | PBS with 0.02% sodium azide and 50% glycerol, pH 7.3. |
| 储存条件 | Store at -20°C. Stable for one year after shipment. Aliquoting is unnecessary for -20oC storage. |
背景介绍
The TRM10 family of methyltransferases is responsible for the N1-methylation of purines at position 9 of tRNAs in Archaea and Eukarya. The human genome encodes three TRM10-type enzymes. TRMT10B is the first m1A9-specific tRNA methyltransferase found in eukaryotes and is responsible for the modification of a single nuclear-encoded tRNA. Furthermore, we show that the lack of G9 methylation causes a decrease in the steady-state levels of the initiator tRNAiMet-CAT and an alteration in its further post-transcriptional modification (PMID: 32392304).
实验方案
| Product Specific Protocols | |
|---|---|
| WB protocol for TRMT10B antibody 33056-1-AP | Download protocol |
| Standard Protocols | |
|---|---|
| Click here to view our Standard Protocols |
