验证数据展示
经过测试的应用
| Positive WB detected in | mouse brain tissue, HepG2 cells, U-251 cells, rat brain tissue |
| Positive IP detected in | mouse brain tissue |
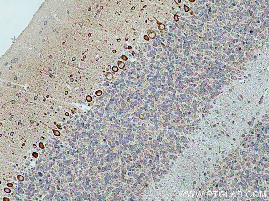
| Positive IHC detected in | rat brain tissue, human prostate cancer tissue, rat cerebellum tissue Note: suggested antigen retrieval with TE buffer pH 9.0; (*) Alternatively, antigen retrieval may be performed with citrate buffer pH 6.0 |
推荐稀释比
| 应用 | 推荐稀释比 |
|---|---|
| Western Blot (WB) | WB : 1:500-1:2000 |
| Immunoprecipitation (IP) | IP : 0.5-4.0 ug for 1.0-3.0 mg of total protein lysate |
| Immunohistochemistry (IHC) | IHC : 1:50-1:500 |
| It is recommended that this reagent should be titrated in each testing system to obtain optimal results. | |
| Sample-dependent, Check data in validation data gallery. | |
产品信息
10786-1-AP targets TRIM9 in WB, IHC, IP, ELISA applications and shows reactivity with human, mouse, rat samples.
| 经测试应用 | WB, IHC, IP, ELISA Application Description |
| 文献引用应用 | WB, IHC, IP |
| 经测试反应性 | human, mouse, rat |
| 文献引用反应性 | human, mouse, rat |
| 免疫原 |
CatNo: Ag1238 Product name: Recombinant human TRIM9 protein Source: e coli.-derived, PGEX-4T Tag: GST Domain: 1-350 aa of BC013414 Sequence: MEEMEEELKCPVCGSFYREPIILPCSHNLCQACARNILVQTPESESPQSHRAAGSGVSDYDYLDLDKMSLYSEADSGYGSYGGFASAPTTPCQKSPNGVRVFPPAMPPPATHLSPALAPVPRNSCITCPQCHRSLILDDRGLRGFPKNRVLEGVIDRYQQSKAAALKCQLCEKAPKEATVMCEQCDVFYCDPCRLRCHPPRGPLAKHRLVPPAQGRVSRRLSPRKVSTCTDHELENHSMYCVQCKMPVCYQCLEEGKHSSHEVKALGAMWKLHKSQLSQALNGLSDRAKEAKEFLVQLRNMVQQIQENSVEFEACLVAQCDALIDALNRRKAQLLARVNKEHEHKLKVVR 种属同源性预测 |
| 宿主/亚型 | Rabbit / IgG |
| 抗体类别 | Polyclonal |
| 产品类型 | Antibody |
| 全称 | tripartite motif-containing 9 |
| 别名 | E3 ubiquitin-protein ligase TRIM9, EC:2.3.2.27, KIAA0282, RING-type E3 ubiquitin transferase TRIM9, RNF91 |
| 计算分子量 | 80 kDa |
| 观测分子量 | 79 kDa, 90 kDa, 61 kDa |
| GenBank蛋白编号 | BC013414 |
| 基因名称 | TRIM9 |
| Gene ID (NCBI) | 114088 |
| RRID | AB_2209130 |
| 偶联类型 | Unconjugated |
| 形式 | Liquid |
| 纯化方式 | Antigen affinity purification |
| UNIPROT ID | Q9C026 |
| 储存缓冲液 | PBS with 0.02% sodium azide and 50% glycerol, pH 7.3. |
| 储存条件 | Store at -20°C. Stable for one year after shipment. Aliquoting is unnecessary for -20oC storage. |
背景介绍
TRIM9(E3 ubiquitin-protein ligase TRIM9) is also named as RNF91 and belongs to the TRIM/RBCC family. TRIM9 protein is a brain-specific E3 ubiquitin ligase. Importantly, TRIM9 is present in LBs found in DLB and PD, suggesting that TRIM9 not only plays roles in the regulation of neuronal functions, but also participates in the formation or breakdown of abnormal inclusions through its ligase activity and besides the striatum and hippocampus, the highest expression of TRIM9 protein is seen in the frontal, temporal and occipital cortices through the western blot (PMID:20085810). It has been reported that TRIM9 is highly expressed in the cerebral cortex in mouse and human brains and that TRIM9 is decreased in damaged brains in patients who have Parkinson disease and dementia with Lewy bodies(PMID:22337885). It has 3 isoforms with molecular mass of 79, 90 and 61 kDa.
实验方案
| Product Specific Protocols | |
|---|---|
| IHC protocol for TRIM9 antibody 10786-1-AP | Download protocol |
| IP protocol for TRIM9 antibody 10786-1-AP | Download protocol |
| WB protocol for TRIM9 antibody 10786-1-AP | Download protocol |
| Standard Protocols | |
|---|---|
| Click here to view our Standard Protocols |
发表文章
| Species | Application | Title |
|---|---|---|
Neurobiol Dis TRIM9, a novel brain-specific E3 ubiquitin ligase, is repressed in the brain of Parkinson's disease and dementia with Lewy bodies. | ||
Mol Med Rep Knockdown of TRIM9 attenuates irinotecan‑induced intestinal mucositis in IEC‑6 cells by regulating DUSP6 expression via the P38 pathway.
| ||
Springerplus Promoter methylation of TRIM9 as a marker for detection of circulating tumor DNA in breast cancer patients. | ||
Elife A twin UGUA motif directs the balance between gene isoforms through CFIm and the mTORC1 signaling pathway | ||
Mol Biol Cell The E3 ubiquitin ligase TRIM9 regulates synaptic function and actin dynamics in response to netrin-1
|










