验证数据展示
经过测试的应用
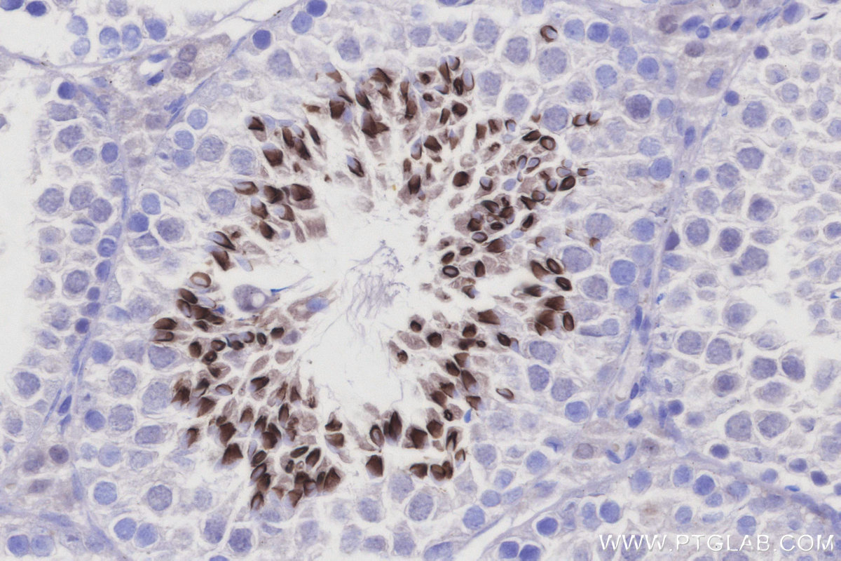
| Positive IHC detected in | mouse testis tissue, rat testis tissue Note: suggested antigen retrieval with TE buffer pH 9.0; (*) Alternatively, antigen retrieval may be performed with citrate buffer pH 6.0 |
| Positive IF-P detected in | mouse testis tissue |
推荐稀释比
| 应用 | 推荐稀释比 |
|---|---|
| Immunohistochemistry (IHC) | IHC : 1:500-1:2000 |
| Immunofluorescence (IF)-P | IF-P : 1:50-1:500 |
| It is recommended that this reagent should be titrated in each testing system to obtain optimal results. | |
| Sample-dependent, Check data in validation data gallery. | |
产品信息
25913-1-AP targets TRIM36 in WB, IHC, IF-P, ELISA applications and shows reactivity with human, mouse, rat samples.
| 经测试应用 | IHC, IF-P, ELISA Application Description |
| 文献引用应用 | WB, IHC, IF |
| 经测试反应性 | human, mouse, rat |
| 文献引用反应性 | human, mouse, rat |
| 免疫原 |
CatNo: Ag23240 Product name: Recombinant human TRIM36 protein Source: e coli.-derived, PGEX-4T Tag: GST Domain: 166-215 aa of BC130334 Sequence: ESTKSCMDCSASYCNECFKIHHPWGTIKAQHEYVGPTTNFRPKILMCPEH 种属同源性预测 |
| 宿主/亚型 | Rabbit / IgG |
| 抗体类别 | Polyclonal |
| 产品类型 | Antibody |
| 全称 | tripartite motif-containing 36 |
| 别名 | E3 ubiquitin-protein ligase TRIM36, EC:2.3.2.27, RING-type E3 ubiquitin transferase TRIM36, RNF98, tripartite motif containing 36 |
| 观测分子量 | 83 kDa |
| GenBank蛋白编号 | BC130334 |
| 基因名称 | TRIM36 |
| Gene ID (NCBI) | 55521 |
| RRID | AB_2880293 |
| 偶联类型 | Unconjugated |
| 形式 | Liquid |
| 纯化方式 | Antigen affinity purification |
| UNIPROT ID | Q9NQ86 |
| 储存缓冲液 | PBS with 0.02% sodium azide and 50% glycerol, pH 7.3. |
| 储存条件 | Store at -20°C. Stable for one year after shipment. Aliquoting is unnecessary for -20oC storage. |
背景介绍
TRIM36, a member of the tripartite motif (TRIM) family of RING-containing proteins, also known as Haprin, is a microtubule-associated E3 ubiquitin ligase that plays a role in cytoskeletal organization, which was first discovered for its abundance in testis and found to be implicated in the spermatozoa acrosome reaction (PMID: 35053362, 30944633). TRIM36 was reported as a novel androgen signaling target gene and is upregulated in prostate cancer (PMID: 29449534).
实验方案
| Product Specific Protocols | |
|---|---|
| IF protocol for TRIM36 antibody 25913-1-AP | Download protocol |
| IHC protocol for TRIM36 antibody 25913-1-AP | Download protocol |
| Standard Protocols | |
|---|---|
| Click here to view our Standard Protocols |
发表文章
| Species | Application | Title |
|---|---|---|
iScience TRIM36 inhibits lung fibroblast activation and pulmonary fibrosis through the degradation of phospho-AKT1. | ||
Cell Biol Toxicol E3 ubiquitin ligase trim36 targets ddx3x for degradation to reprogram macrophage polarization and ameliorate tubal factor infertility in rats. |





