验证数据展示
经过测试的应用
| Positive WB detected in | H9C2 cells, A431 cells, HEK-293 cells | 
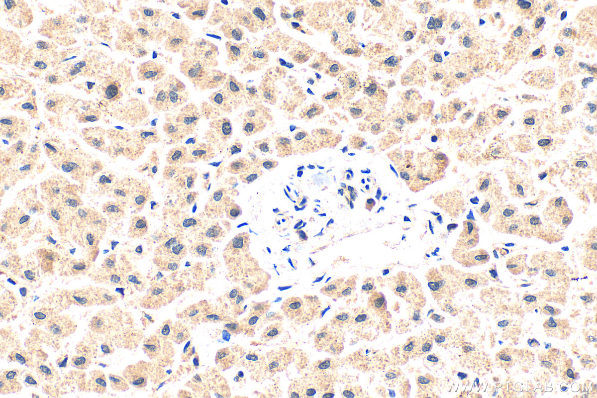
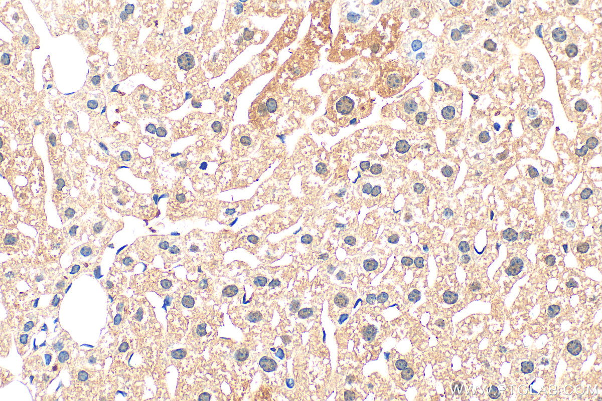
| Positive IHC detected in | human liver tissue, mouse liver tissue Note: suggested antigen retrieval with TE buffer pH 9.0; (*) Alternatively, antigen retrieval may be performed with citrate buffer pH 6.0  | 
| Positive IF/ICC detected in | U2OS cells | 
推荐稀释比
| 应用 | 推荐稀释比 | 
|---|---|
| Western Blot (WB) | WB : 1:500-1:2000 | 
| Immunohistochemistry (IHC) | IHC : 1:50-1:500 | 
| Immunofluorescence (IF)/ICC | IF/ICC : 1:200-1:800 | 
| It is recommended that this reagent should be titrated in each testing system to obtain optimal results. | |
| Sample-dependent, Check data in validation data gallery. | |
产品信息
19806-1-AP targets TRIM35 in WB, IHC, IF/ICC, ELISA applications and shows reactivity with human, mouse, rat samples.
| 经测试应用 | WB, IHC, IF/ICC, ELISA Application Description | 
| 经测试反应性 | human, mouse, rat | 
| 免疫原 | 
                                             CatNo: Ag13584 Product name: Recombinant human TRIM35 protein Source: e coli.-derived, PGEX-4T Tag: GST Domain: 1-206 aa of BC018337 Sequence: MERSPDVSPGPSRSFKEELLCAVCYDPFRDAVTLRCGHNFCRGCVSRCWEVQVSPTCPVCKDRASPADLRTNHTLNNLVEKLLREEAEGARWTSYRFSRVCRLHRGQLSLFCLEDKELLCCSCQADPRHQGHRVQPVKDTAHDFRVRSLIAEERRNFLPTHQWIVTKTRLQTSSPNLQSRRQGQVQEHGACTAGEGQGLLGHAALL 种属同源性预测 | 
                                    
| 宿主/亚型 | Rabbit / IgG | 
| 抗体类别 | Polyclonal | 
| 产品类型 | Antibody | 
| 全称 | tripartite motif-containing 35 | 
| 别名 | E3 ubiquitin-protein ligase TRIM35, EC:2.3.2.27, HLS5, KIAA1098, tripartite motif containing 35 | 
| 计算分子量 | 57 kDa | 
| 观测分子量 | 45~50 kDa | 
| GenBank蛋白编号 | BC018337 | 
| 基因名称 | TRIM35 | 
| Gene ID (NCBI) | 23087 | 
| 偶联类型 | Unconjugated | 
| 形式 | Liquid | 
| 纯化方式 | Antigen affinity purification | 
| UNIPROT ID | Q9UPQ4 | 
| 储存缓冲液 | PBS with 0.02% sodium azide and 50% glycerol, pH 7.3. | 
| 储存条件 | Store at -20°C. Stable for one year after shipment. Aliquoting is unnecessary for -20oC storage. | 
背景介绍
Tripartite motif 35 (TRIM35), also called hemopoietic lineage switch (Hls5), is a member of the RING finger, B box, coiled-coil (RBCC), or TRIM family E3 ligases expressed in a wide variety of hemopoietic cell types, including fetal liver progenitors. TRIM35 is reported to be a tumor suppressor gene and is expressed at low levels in several types of cancer (PMID: 34124276, 35081724). Western detected a band at 45-50 kDa possibly due to the high proline content.
实验方案
| Product Specific Protocols | |
|---|---|
| IF protocol for TRIM35 antibody 19806-1-AP | Download protocol | 
| IHC protocol for TRIM35 antibody 19806-1-AP | Download protocol | 
| WB protocol for TRIM35 antibody 19806-1-AP | Download protocol | 
| Standard Protocols | |
|---|---|
| Click here to view our Standard Protocols | 





