验证数据展示
经过测试的应用
| Positive WB detected in | A549 cells, mouse colon tissue, NIH/3T3 cells, HeLa cells |
| Positive IP detected in | U-251 cells |
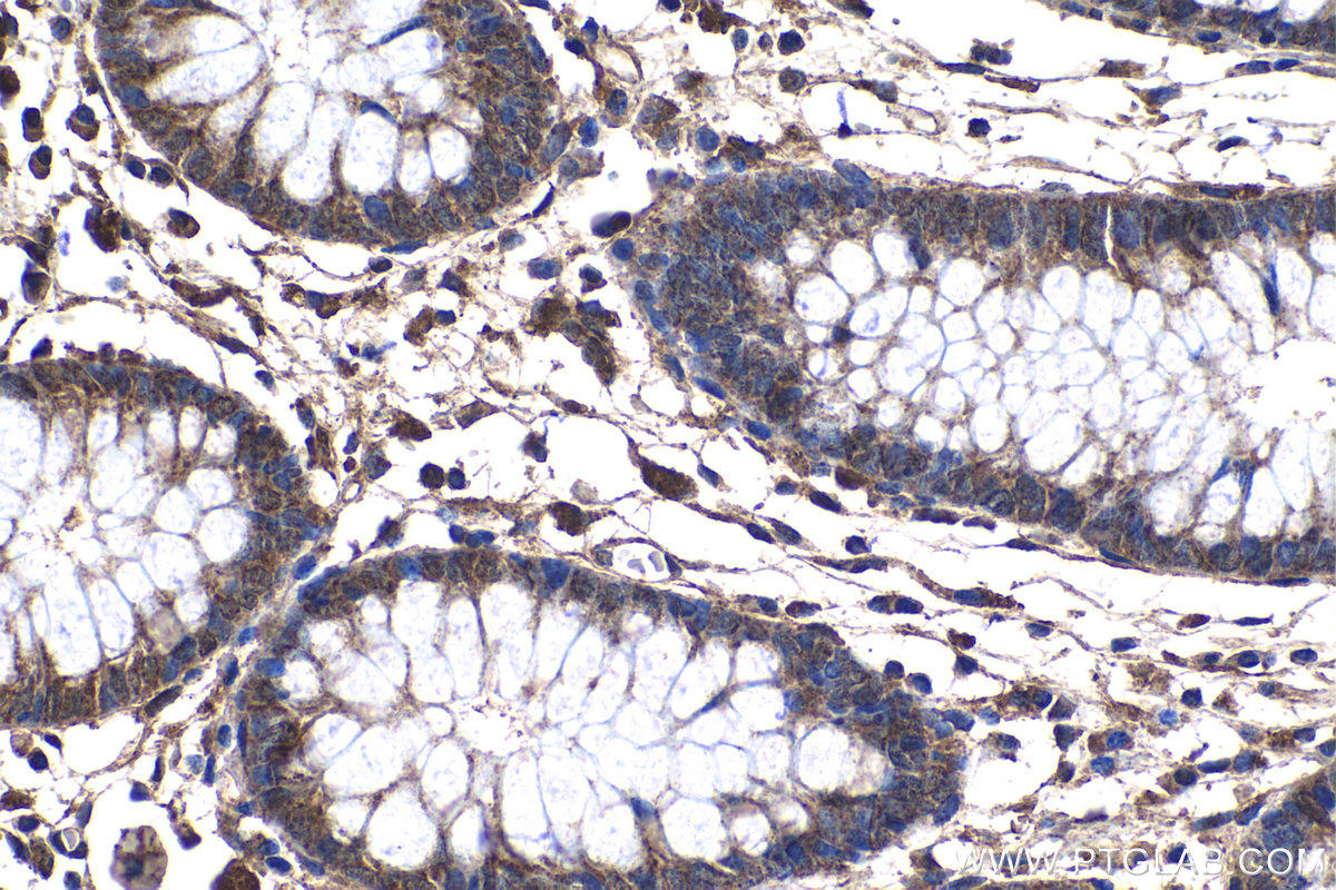
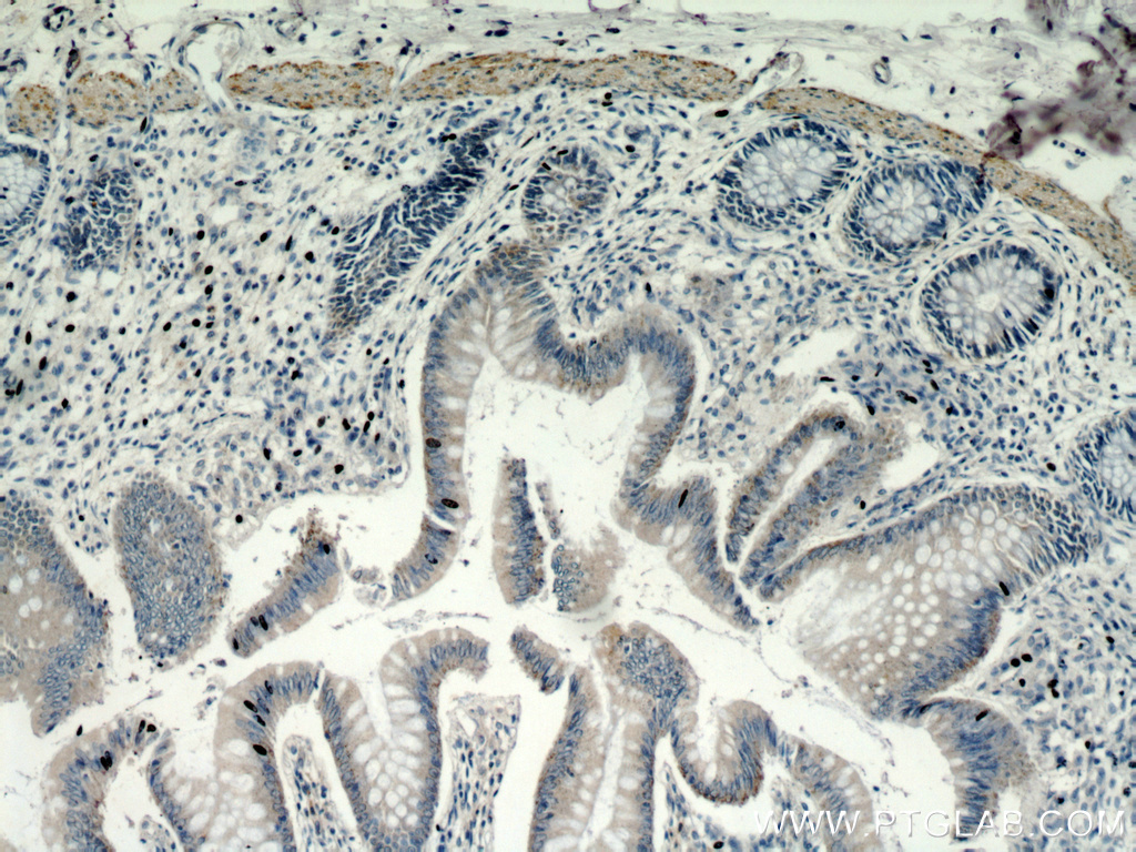
| Positive IHC detected in | human colon tissue Note: suggested antigen retrieval with TE buffer pH 9.0; (*) Alternatively, antigen retrieval may be performed with citrate buffer pH 6.0 |
| Positive IF-P detected in | mouse embryo tissue |
| Positive IF/ICC detected in | hTERT-RPE1 cells |
| Positive FC (Intra) detected in | A431 cells |
推荐稀释比
| 应用 | 推荐稀释比 |
|---|---|
| Western Blot (WB) | WB : 1:1000-1:8000 |
| Immunoprecipitation (IP) | IP : 0.5-4.0 ug for 1.0-3.0 mg of total protein lysate |
| Immunohistochemistry (IHC) | IHC : 1:50-1:500 |
| Immunofluorescence (IF)-P | IF-P : 1:50-1:500 |
| Immunofluorescence (IF)/ICC | IF/ICC : 1:100-1:400 |
| Flow Cytometry (FC) (INTRA) | FC (INTRA) : 0.40 ug per 10^6 cells in a 100 µl suspension |
| It is recommended that this reagent should be titrated in each testing system to obtain optimal results. | |
| Sample-dependent, Check data in validation data gallery. | |
产品信息
10326-1-AP targets TRIM32 in WB, IHC, IF/ICC, IF-P, FC (Intra), IP, ELISA applications and shows reactivity with human, mouse, rat samples.
| 经测试应用 | WB, IHC, IF/ICC, IF-P, FC (Intra), IP, ELISA Application Description |
| 文献引用应用 | WB, IHC, IF, IP |
| 经测试反应性 | human, mouse, rat |
| 文献引用反应性 | human, mouse, rat |
| 免疫原 |
CatNo: Ag0401 Product name: Recombinant human TRIM32 protein Source: e coli.-derived, PGEX-4T Tag: GST Domain: 111-430 aa of BC003154 Sequence: FCRSCGLVLCEPCREADHQPPGHCTLPVKEAAEERRRDFGEKLTRLRELMGELQRRKAALEGVSKDLQARYKAVLQEYGHEERRVQDELARSRKFFTGSLAEVEKSNSQVVEEQSYLLNIAEVQAVSRCDYFLAKIKQADVALLEETADEEEPELTASLPRELTLQDVELLKVGHVGPLQIGQAVKKPRTVNVEDSWAMEATASAASTSVTFREMDMSPEEVVASPRASPAKQRGPEAASNIQQCLFLKKMGAKGSTPGMFNLPVSLYVTSQGEVLVADRGNYRIQVFTRKGFLKEIRRSPSGIDSFVLSFLGADLPNLT 种属同源性预测 |
| 宿主/亚型 | Rabbit / IgG |
| 抗体类别 | Polyclonal |
| 产品类型 | Antibody |
| 全称 | tripartite motif-containing 32 |
| 别名 | 72 kDa Tat-interacting protein, E3 ubiquitin-protein ligase TRIM32, EC:2.3.2.27, HT2A, RING-type E3 ubiquitin transferase TRIM32 |
| 计算分子量 | 72 kDa |
| 观测分子量 | 70-72 kDa |
| GenBank蛋白编号 | BC003154 |
| 基因名称 | TRIM32 |
| Gene ID (NCBI) | 22954 |
| RRID | AB_2208005 |
| 偶联类型 | Unconjugated |
| 形式 | Liquid |
| 纯化方式 | Antigen affinity purification |
| UNIPROT ID | Q13049 |
| 储存缓冲液 | PBS with 0.02% sodium azide and 50% glycerol, pH 7.3. |
| 储存条件 | Store at -20°C. Stable for one year after shipment. Aliquoting is unnecessary for -20oC storage. |
背景介绍
TRIM32(Tripartite motif-containing protein 32) is a widely expressed ubiquitin ligase that is localized to the Z-line in skeletal muscle(PMID:19349376). It promotes PIAS4 ubiquitination and degradation, and by controlling PIAS4 stability, regulates UVB-induced keratinocyte apoptosis through induction of NFkappaB(PMID: 16816390). Western blot analysis detected TRIM32 at an apparent molecular mass of 70-72 kDa.
实验方案
| Product Specific Protocols | |
|---|---|
| WB protocol for TRIM32 antibody 10326-1-AP | Download protocol |
| IHC protocol for TRIM32 antibody 10326-1-AP | Download protocol |
| IF protocol for TRIM32 antibody 10326-1-AP | Download protocol |
| IP protocol for TRIM32 antibody 10326-1-AP | Download protocol |
| FC protocol for TRIM32 antibody 10326-1-AP | Download protocol |
| Standard Protocols | |
|---|---|
| Click here to view our Standard Protocols |
发表文章
| Species | Application | Title |
|---|---|---|
Sci Adv An EMT-primary cilium-GLIS2 signaling axis regulates mammogenesis and claudin-low breast tumorigenesis. | ||
J Am Soc Nephrol Proteome Analysis of Isolated Podocytes Reveals Stress Responses in Glomerular Sclerosis. | ||
Hum Mol Genet Deficiency of the E3 ubiquitin ligase TRIM32 in mice leads to a myopathy with a neurogenic component.
| ||
PLoS Pathog TRIM32 inhibits Venezuelan equine encephalitis virus infection by targeting a late step in viral entry
| ||
FASEB J Ubiquitin ligase TRIM32 promotes dendrite arborization by mediating degradation of the epigenetic factor CDYL.
| ||
J Cell Sci TRIM32, but not its muscular dystrophy-associated mutant, positively regulates and is targeted to autophagic degradation by p62/SQSTM1. |











