验证数据展示
经过测试的应用
| Positive WB detected in | BxPC-3 cells, A431 cells, BGC-823 cells | 
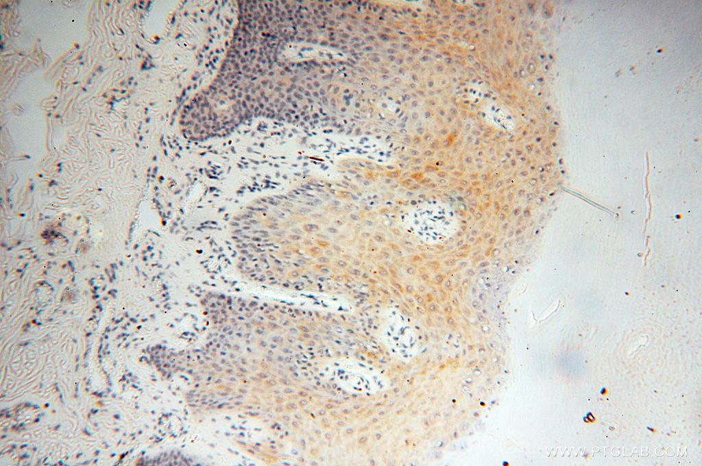
| Positive IHC detected in | human skin cancer tissue, human skin tissue Note: suggested antigen retrieval with TE buffer pH 9.0; (*) Alternatively, antigen retrieval may be performed with citrate buffer pH 6.0  | 
推荐稀释比
| 应用 | 推荐稀释比 | 
|---|---|
| Western Blot (WB) | WB : 1:2000-1:20000 | 
| Immunohistochemistry (IHC) | IHC : 1:50-1:500 | 
| It is recommended that this reagent should be titrated in each testing system to obtain optimal results. | |
| Sample-dependent, Check data in validation data gallery. | |
产品信息
17542-1-AP targets TRIM29 in WB, IHC, IF, IP, ELISA applications and shows reactivity with human samples.
| 经测试应用 | WB, IHC, ELISA Application Description | 
| 文献引用应用 | WB, IHC, IF, IP | 
| 经测试反应性 | human | 
| 文献引用反应性 | human, mouse | 
| 免疫原 | 
                                             CatNo: Ag11600 Product name: Recombinant human TRIM29 protein Source: e coli.-derived, PGEX-4T Tag: GST Domain: 239-588 aa of BC017352 Sequence: DQTCICYLCMFQEHKNHSTVTVEEAKAEKETELSLQKEQLQLKIIEIEDEAEKWQKEKDRIKSFTTNEKAILEQNFRDLVRDLEKQKEEVRAALEQREQDAVDQVKVIMDALDERAKVLHEDKQTREQLHSISDSVLFLQEFGALMSNYSLPPPLPTYHVLLEGEGLGQSLGNFKDDLLNVCMRHVEKMCKADLSRNFIERNHMENGGDHRYVNNYTNSFGGEWSAPDTMKRYSMYLTPKGGVRTSYQPSSPGRFTKETTQKNFNNLYGTKGNYTSRVWEYSSSIQNSDNDLPVVQGSSSFSLKGYPSLMRSQSPKAQPQTWKSGKQTMLSHYRPFYVNKGNGIGSNEAP 种属同源性预测 | 
                                    
| 宿主/亚型 | Rabbit / IgG | 
| 抗体类别 | Polyclonal | 
| 产品类型 | Antibody | 
| 全称 | tripartite motif-containing 29 | 
| 别名 | Ataxia telangiectasia group D-associated protein, ATDC, tripartite motif containing 29, Tripartite motif-containing protein 29 | 
| 计算分子量 | 588 aa, 66 kDa | 
| 观测分子量 | 65 kDa | 
| GenBank蛋白编号 | BC017352 | 
| 基因名称 | TRIM29 | 
| Gene ID (NCBI) | 23650 | 
| RRID | AB_2272412 | 
| 偶联类型 | Unconjugated | 
| 形式 | Liquid | 
| 纯化方式 | Antigen affinity purification | 
| UNIPROT ID | Q14134 | 
| 储存缓冲液 | PBS with 0.02% sodium azide and 50% glycerol, pH 7.3. | 
| 储存条件 | Store at -20°C. Stable for one year after shipment. Aliquoting is unnecessary for -20oC storage. | 
背景介绍
TRIM29(Tripartite motif-containing protein 29) is also named as ATDC( Ataxia telangiectasia group D-associated protein). ATDC protein physically interacted with the intermediate filament protein vimentin, a protein kinase C substrate and colocalizing protein, and with an inhibitor of protein kinase C, PKCI1 (PMID:7644499). Knockdown of TRIM29 in airway epithelial cells enhances type I interferon production, and in human nasopharyngeal carcinoma cells results in almost complete Epstein-Barr virus clearance. TRIM29 is also highly induced by cytosolic double-stranded DNA in myeloid dendritic cells (PMID: 29038422). Western detected both full-length TRIM29 (65 kDa) and a truncated variant of TRIM29 with a molecular weight of about 50 kDa (PMID: 26095369).
实验方案
| Product Specific Protocols | |
|---|---|
| IHC protocol for TRIM29 antibody 17542-1-AP | Download protocol | 
| WB protocol for TRIM29 antibody 17542-1-AP | Download protocol | 
| Standard Protocols | |
|---|---|
| Click here to view our Standard Protocols | 
发表文章
| Species | Application | Title | 
|---|---|---|
Mol Cancer CircIL4R activates the PI3K/AKT signaling pathway via the miR-761/TRIM29/PHLPP1 axis and promotes proliferation and metastasis in colorectal cancer.
  | ||
Oncogenesis Galectin-9 promotes a suppressive microenvironment in human cancer by enhancing STING degradation. | ||
iScience Alternative transcribed 3' isoform of long non-coding RNA Malat1 inhibits mouse retinal oxidative stress | ||
PLoS One Ataxia-Telangiectasia Group D Complementing Gene (ATDC) Promotes Lung Cancer Cell Proliferation by Activating NF-κB Pathway. | ||
Cancer Sci Role of deltaNp63(pos) CD44v(pos) cells in the development of N-nitroso-tris-chloroethylurea-induced peripheral-type mouse lung squamous cell carcinomas. | ||
Cancer Biol Ther iTRAQ-based quantitative proteomic analysis of differentially expressed proteins in chemoresistant nasopharyngeal carcinoma. | 










