验证数据展示
经过测试的应用
| Positive WB detected in | HEK-293T cells, mouse testis tissue, RAW 264.7 cells, HeLa cells, HepG2 cells |
| Positive IP detected in | HeLa cells |
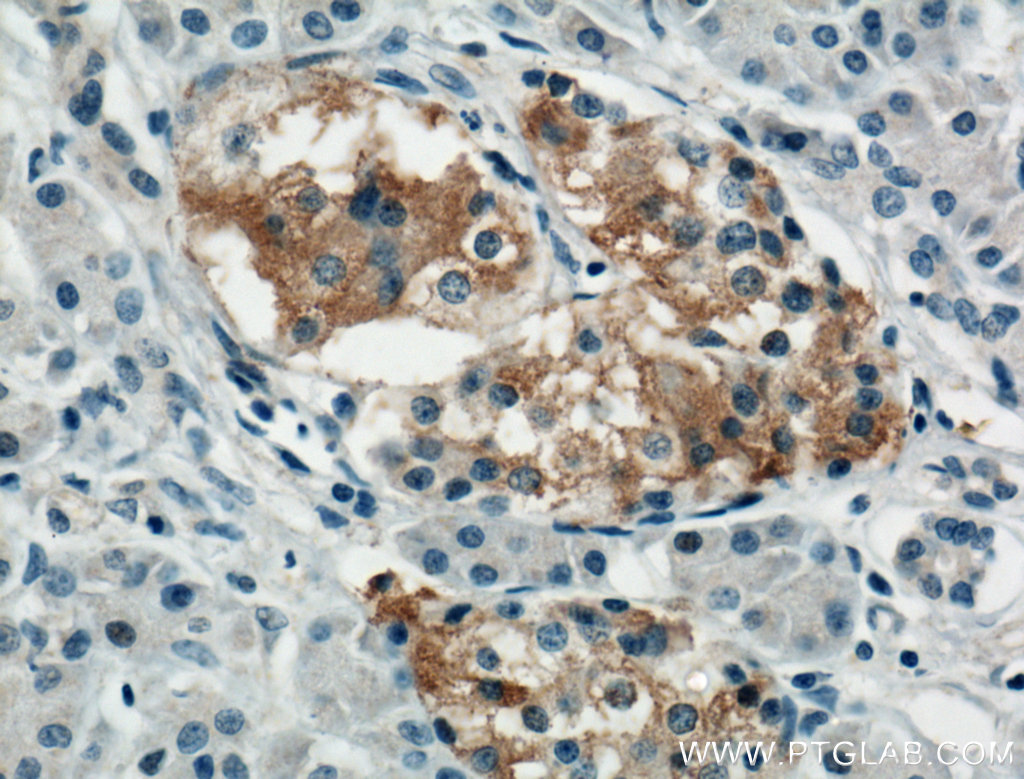
| Positive IHC detected in | human pancreas cancer tissue, human liver cancer tissue Note: suggested antigen retrieval with TE buffer pH 9.0; (*) Alternatively, antigen retrieval may be performed with citrate buffer pH 6.0 |
推荐稀释比
| 应用 | 推荐稀释比 |
|---|---|
| Western Blot (WB) | WB : 1:500-1:3000 |
| Immunoprecipitation (IP) | IP : 0.5-4.0 ug for 1.0-3.0 mg of total protein lysate |
| Immunohistochemistry (IHC) | IHC : 1:50-1:500 |
| It is recommended that this reagent should be titrated in each testing system to obtain optimal results. | |
| Sample-dependent, Check data in validation data gallery. | |
产品信息
27013-1-AP targets TRIM26 in WB, IHC, IF, IP, ELISA applications and shows reactivity with human, mouse samples.
| 经测试应用 | WB, IP, IHC, ELISA Application Description |
| 文献引用应用 | WB, IHC, IF, IP |
| 经测试反应性 | human, mouse |
| 文献引用反应性 | human, mouse, pig |
| 免疫原 |
CatNo: Ag25546 Product name: Recombinant human TRIM26 protein Source: e coli.-derived, PGEX-4T Tag: GST Domain: 151-270 aa of BC024039 Sequence: NHLSTLRRDRDKIQGFQAKGEADILAALKKLQDQRQYIVAEFEQGHQFLREREEHLLEQLAKLEQELTEGREKFKSRGVGELARLALVISELEGKAQQPAAELMQDTRDFLNRYPRKKFW 种属同源性预测 |
| 宿主/亚型 | Rabbit / IgG |
| 抗体类别 | Polyclonal |
| 产品类型 | Antibody |
| 全称 | tripartite motif-containing 26 |
| 别名 | Acid finger protein, AFP, RING finger protein 95, RNF95, TRIM26, tripartite motif containing 26, Zinc finger protein 173, ZNF173 |
| 计算分子量 | 62 kDa |
| 观测分子量 | 62 kDa |
| GenBank蛋白编号 | BC024039 |
| 基因名称 | TRIM26 |
| Gene ID (NCBI) | 7726 |
| RRID | AB_2880721 |
| 偶联类型 | Unconjugated |
| 形式 | Liquid |
| 纯化方式 | Antigen affinity purification |
| UNIPROT ID | Q12899 |
| 储存缓冲液 | PBS with 0.02% sodium azide and 50% glycerol, pH 7.3. |
| 储存条件 | Store at -20°C. Stable for one year after shipment. Aliquoting is unnecessary for -20oC storage. |
背景介绍
TRIM26 is a member of the tripartite motif (TRIM) protein family composed of more than 70 members in human. TRIM proteins share a similar characteristic structure, which includes a RING (R) domain, one or two B-boxes (B), and a coiled coil (CC) domain in the N-terminal and a domain in the C-terminal with variable structures. TRIM26 potentiates virus-triggered IRF3, NF-κB activation, IFN-β induction, and cellular antiviral responses. Further investigation suggests that TRIM26 plays an important role in the antiviral innate immune response by bridging TBK1 to NEMO and mediating TBK1 activation. (PMID: 25763818, PMID: 26611359)
实验方案
| Product Specific Protocols | |
|---|---|
| IHC protocol for TRIM26 antibody 27013-1-AP | Download protocol |
| IP protocol for TRIM26 antibody 27013-1-AP | Download protocol |
| WB protocol for TRIM26 antibody 27013-1-AP | Download protocol |
| Standard Protocols | |
|---|---|
| Click here to view our Standard Protocols |
发表文章
| Species | Application | Title |
|---|---|---|
Cell Death Dis The E3 ligase TRIM26 suppresses ferroptosis through catalyzing K63-linked ubiquitination of GPX4 in glioma | ||
Virus Res TRIM26-mediated degradation of nucleocapsid protein limits porcine reproductive and respiratory syndrome virus-2 infection. | ||
Cell Death Dis USP39 stabilizes β-catenin by deubiquitination and suppressing E3 ligase TRIM26 pre-mRNA maturation to promote HCC progression | ||
Int J Biol Sci TRIM26 promotes non-small cell lung cancer survival by inducing PBX1 degradation
| ||
FASEB J TRIM26 restricts Epstein-Barr virus infection in nasopharyngeal epithelial cells through K48-linked ubiquitination of HSP-90β
| ||
Aging (Albany NY) Machine learning-based identification and immune characterization of ferroptosis-related molecular clusters in osteoarthritis and validation |










