验证数据展示
经过测试的应用
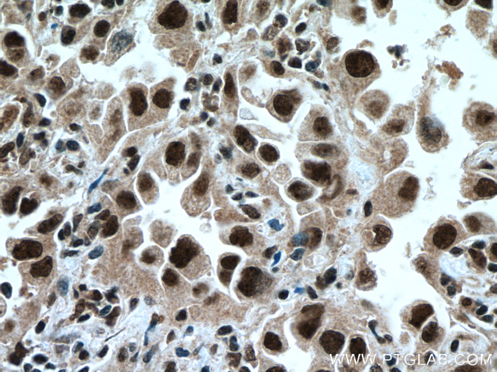
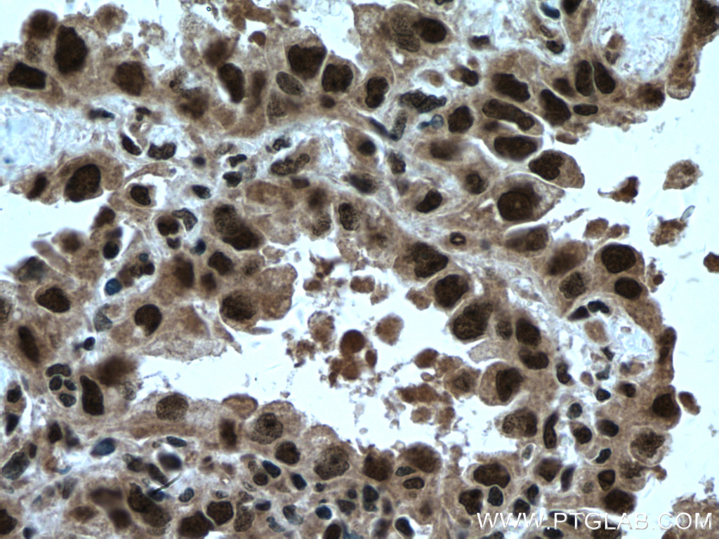
| Positive IHC detected in | human lung cancer tissue, mouse spleen tissue, mouse pancreas tissue Note: suggested antigen retrieval with TE buffer pH 9.0; (*) Alternatively, antigen retrieval may be performed with citrate buffer pH 6.0 |
推荐稀释比
| 应用 | 推荐稀释比 |
|---|---|
| Immunohistochemistry (IHC) | IHC : 1:300-1:1200 |
| It is recommended that this reagent should be titrated in each testing system to obtain optimal results. | |
| Sample-dependent, Check data in validation data gallery. | |
产品信息
13744-1-AP targets TRIM22 in WB, IHC, IF, IP, ELISA applications and shows reactivity with human samples.
| 经测试应用 | IHC, ELISA Application Description |
| 文献引用应用 | WB, IHC, IF, IP |
| 经测试反应性 | human |
| 文献引用反应性 | human |
| 免疫原 |
CatNo: Ag4683 Product name: Recombinant human TRIM22 protein Source: e coli.-derived, PGEX-4T Tag: GST Domain: 1-350 aa of BC035582 Sequence: MDFSVKVDIEKEVTCPICLELLTEPLSLDCGHSFCQACITAKIKESVIISRGESSCPVCQTRFQPGNLRPNRHLANIVERVKEVKMSPQEGQKRDVCEHHGKKLQIFCKEDGKVICWVCELSQEHQGHQTFRINEVVKECQEKLQVALQRLIKEDQEAEKLEDDIRQERTAWKNYIQIERQKILKGFNEMRVILDNEEQRELQKLEEGEVNVLDNLAAATDQLVQQRQDASTLISDLQRRLRGSSVEMLQDVIDVMKRSESWTLKKPKSVSKKLKSVFRVPDLSGMLQVLKELTDVQYYWVDVMLNPGSATSNVAISVDQRQVKTVRTCTFKNSNPCDFSAFGVFGCQYF 种属同源性预测 |
| 宿主/亚型 | Rabbit / IgG |
| 抗体类别 | Polyclonal |
| 产品类型 | Antibody |
| 全称 | tripartite motif-containing 22 |
| 别名 | GPSTAF50, RING finger protein 94, RNF94, Staf 50, STAF50, TRIM22, tripartite motif containing 22 |
| 计算分子量 | 498 aa, 57 kDa |
| 观测分子量 | 50 kDa |
| GenBank蛋白编号 | BC035582 |
| 基因名称 | TRIM22 |
| Gene ID (NCBI) | 10346 |
| RRID | AB_2877974 |
| 偶联类型 | Unconjugated |
| 形式 | Liquid |
| 纯化方式 | Antigen affinity purification |
| UNIPROT ID | Q8IYM9 |
| 储存缓冲液 | PBS with 0.02% sodium azide and 50% glycerol, pH 7.3. |
| 储存条件 | Store at -20°C. Stable for one year after shipment. Aliquoting is unnecessary for -20oC storage. |
背景介绍
Tripartite motif containing 22 (TRIM22), a member of the TRIM/RBCC family, has been reported to activate the nuclear factor-kappa B (NF-κB) pathway in unstimulated macrophage cell lines (PMID: 23818111). TRIM22 is involved in the host antiviral response, TRIM22 expression is modulated in response to several other viruses and viral antigens.TRIM22 expression is high in monocytes and early granulocytes but decreases in the lymphocyte and late granulocyte populations and is undetectable in erythroid cells (PMID: 32814880).
实验方案
| Product Specific Protocols | |
|---|---|
| IHC protocol for TRIM22 antibody 13744-1-AP | Download protocol |
| Standard Protocols | |
|---|---|
| Click here to view our Standard Protocols |
发表文章
| Species | Application | Title |
|---|---|---|
Nat Microbiol Kaposi's sarcoma-associated herpesvirus induces mitochondrial fission to evade host immune responses and promote viral production | ||
Nat Commun Identification of DAXX as a restriction factor of SARS-CoV-2 through a CRISPR/Cas9 screen. | ||
Oncotarget TRIM22 confers poor prognosis and promotes epithelial-mesenchymal transition through regulation of AKT/GSK3β/β-catenin signaling in non-small cell lung cancer.
| ||
Front Cell Infect Microbiol Constitutive TRIM22 Expression in the Respiratory Tract Confers a Pre-Existing Defence Against Influenza A Virus Infection.
| ||
Immunobiology Shared biomarkers of multi-tissue origin for primary Sjogren's syndrome and their importance in immune microenvironment alterations | ||
Cell Biol Int TRIM22 knockdown suppresses chronic myeloid leukemia via inhibiting PI3K/Akt/mTOR signaling pathway.
|





