验证数据展示
经过测试的应用
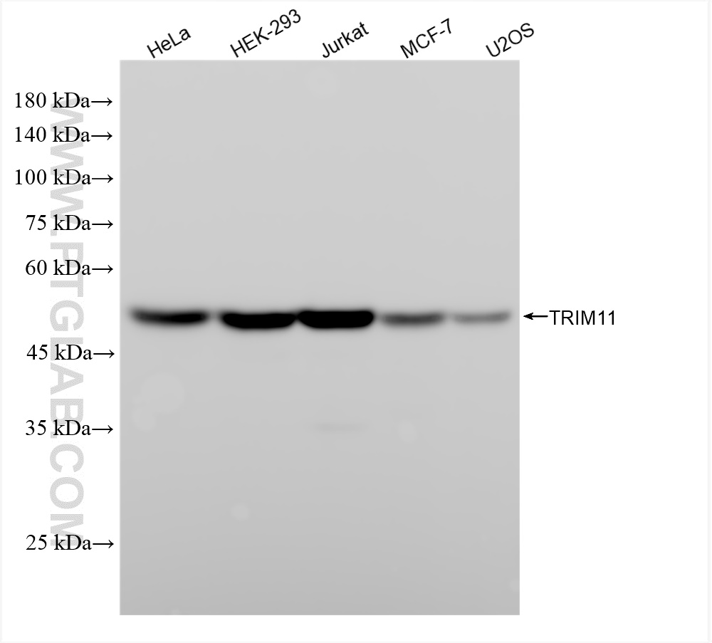
| Positive WB detected in | HeLa cells, HEK-293 cells, Jurkat cells, MCF-7 cells, U2OS cells |
推荐稀释比
| 应用 | 推荐稀释比 |
|---|---|
| Western Blot (WB) | WB : 1:2000-1:10000 |
| It is recommended that this reagent should be titrated in each testing system to obtain optimal results. | |
| Sample-dependent, Check data in validation data gallery. | |
产品信息
84651-3-RR targets TRIM11 in WB, ELISA applications and shows reactivity with human samples.
| 经测试应用 | WB, ELISA Application Description |
| 经测试反应性 | human |
| 免疫原 |
CatNo: Ag1308 Product name: Recombinant human TRIM11 protein Source: e coli.-derived, PGEX-4T Tag: GST Domain: 1-202 aa of BC011629 Sequence: MELRTVCRVPGLVETLRRFRGDVTLDPDTANPELILSEDRRSVQRGDLRQALPDSPERFDPGPCVLGQERFTSGRHYWEVEVGDRTSWALGVCRENVNRKEKGELSAGNGFWILVFLGSYYNSSERALAPLRDPPRRVGIFLDYEAGHLSFYSATDGSLLFIFPEIPFSGTLRPLFSPLSSSPTPMTICRPKGGSGDTLAPQ 种属同源性预测 |
| 宿主/亚型 | Rabbit / IgG |
| 抗体类别 | Recombinant |
| 产品类型 | Antibody |
| 全称 | tripartite motif-containing 11 |
| 别名 | RING finger protein 92, Protein BIA1, EC:2.3.2.27, E3 ubiquitin-protein ligase TRIM11, BIA1 |
| 计算分子量 | 52 kDa |
| 观测分子量 | 53 kDa |
| GenBank蛋白编号 | BC011629 |
| 基因名称 | TRIM11 |
| Gene ID (NCBI) | 81559 |
| RRID | AB_3743630 |
| 偶联类型 | Unconjugated |
| 形式 | Liquid |
| 纯化方式 | Protein A purfication |
| UNIPROT ID | Q96F44 |
| 储存缓冲液 | PBS with 0.02% sodium azide and 50% glycerol, pH 7.3. |
| 储存条件 | Store at -20°C. Stable for one year after shipment. Aliquoting is unnecessary for -20oC storage. |
背景介绍
TRIM11(Tripartite motif-containing protein 11) is also named as RNF92 and Belongs to the TRIM/RBCC family. It is a member of the tripartite-motif-containing protein family and is known to destabilize humanin, an inhibitor of Alzheimer-like neuronal insults(PMID: 16904669). This protein has 3 isoforms produced by alternative splicing.
实验方案
| Product Specific Protocols | |
|---|---|
| WB protocol for TRIM11 antibody 84651-3-RR | Download protocol |
| Standard Protocols | |
|---|---|
| Click here to view our Standard Protocols |

