验证数据展示
经过测试的应用
| Positive WB detected in | HEK-293 cells, HeLa cells, Jurkat cells |
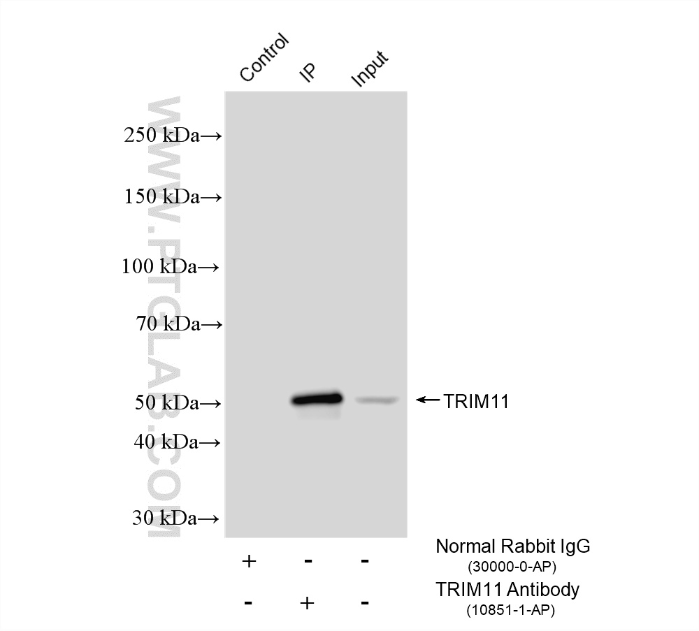
| Positive IP detected in | HeLa cells |
| Positive IHC detected in | human colon cancer tissue Note: suggested antigen retrieval with TE buffer pH 9.0; (*) Alternatively, antigen retrieval may be performed with citrate buffer pH 6.0 |
推荐稀释比
| 应用 | 推荐稀释比 |
|---|---|
| Western Blot (WB) | WB : 1:1000-1:6000 |
| Immunoprecipitation (IP) | IP : 0.5-4.0 ug for 1.0-3.0 mg of total protein lysate |
| Immunohistochemistry (IHC) | IHC : 1:250-1:1000 |
| It is recommended that this reagent should be titrated in each testing system to obtain optimal results. | |
| Sample-dependent, Check data in validation data gallery. | |
产品信息
10851-1-AP targets TRIM11 in WB, IHC, IF, IP, CoIP, ELISA applications and shows reactivity with human samples.
| 经测试应用 | WB, IHC, IP, ELISA Application Description |
| 文献引用应用 | WB, IHC, IF, CoIP |
| 经测试反应性 | human |
| 文献引用反应性 | human, mouse |
| 免疫原 |
CatNo: Ag1308 Product name: Recombinant human TRIM11 protein Source: e coli.-derived, PGEX-4T Tag: GST Domain: 1-202 aa of BC011629 Sequence: MELRTVCRVPGLVETLRRFRGDVTLDPDTANPELILSEDRRSVQRGDLRQALPDSPERFDPGPCVLGQERFTSGRHYWEVEVGDRTSWALGVCRENVNRKEKGELSAGNGFWILVFLGSYYNSSERALAPLRDPPRRVGIFLDYEAGHLSFYSATDGSLLFIFPEIPFSGTLRPLFSPLSSSPTPMTICRPKGGSGDTLAPQ 种属同源性预测 |
| 宿主/亚型 | Rabbit / IgG |
| 抗体类别 | Polyclonal |
| 产品类型 | Antibody |
| 全称 | tripartite motif-containing 11 |
| 别名 | BIA1, E3 ubiquitin-protein ligase TRIM11, EC:2.3.2.27, Protein BIA1, RING finger protein 92 |
| 计算分子量 | 52 kDa |
| 观测分子量 | 53 kDa |
| GenBank蛋白编号 | BC011629 |
| 基因名称 | TRIM11 |
| Gene ID (NCBI) | 81559 |
| RRID | AB_2209210 |
| 偶联类型 | Unconjugated |
| 形式 | Liquid |
| 纯化方式 | Antigen affinity purification |
| UNIPROT ID | Q96F44 |
| 储存缓冲液 | PBS with 0.02% sodium azide and 50% glycerol, pH 7.3. |
| 储存条件 | Store at -20°C. Stable for one year after shipment. Aliquoting is unnecessary for -20oC storage. |
背景介绍
TRIM11(Tripartite motif-containing protein 11) is also named as RNF92 and Belongs to the TRIM/RBCC family. It is a member of the tripartite-motif-containing protein family and is known to destabilize humanin, an inhibitor of Alzheimer-like neuronal insults(PMID: 16904669). This protein has 3 isoforms produced by alternative splicing.
实验方案
| Product Specific Protocols | |
|---|---|
| WB protocol for TRIM11 antibody 10851-1-AP | Download protocol |
| IP protocol for TRIM11 antibody 10851-1-AP | Download protocol |
| IHC protocol for TRIM11 antibody 10851-1-AP | Download protocol |
| Standard Protocols | |
|---|---|
| Click here to view our Standard Protocols |
发表文章
| Species | Application | Title |
|---|---|---|
J Hazard Mater The proteasome-dependent degradation of ALKBH5 regulates ECM deposition in PM2.5 exposure-induced pulmonary fibrosis of mice. | ||
Oncogene TRIM11 is overexpressed in high-grade gliomas and promotes proliferation, invasion, migration and glial tumor growth. | ||
FASEB J The topological key lncRNA H2k2 from the ceRNA network promotes mesangial cell proliferation in diabetic nephropathy via the miR-449a/b/Trim11/Mek signaling pathway. | ||
Int J Biol Sci SOX13/TRIM11/YAP axis promotes the proliferation, migration and chemoresistance of anaplastic thyroid cancer. | ||
Neoplasia TRIM11 promotes breast cancer cell proliferation by stabilizing estrogen receptor α.
|



