验证数据展示
经过测试的应用
| Positive WB detected in | human peripheral blood leukocyte, human liver tissue, human spleen tissue, mouse lung tissue |
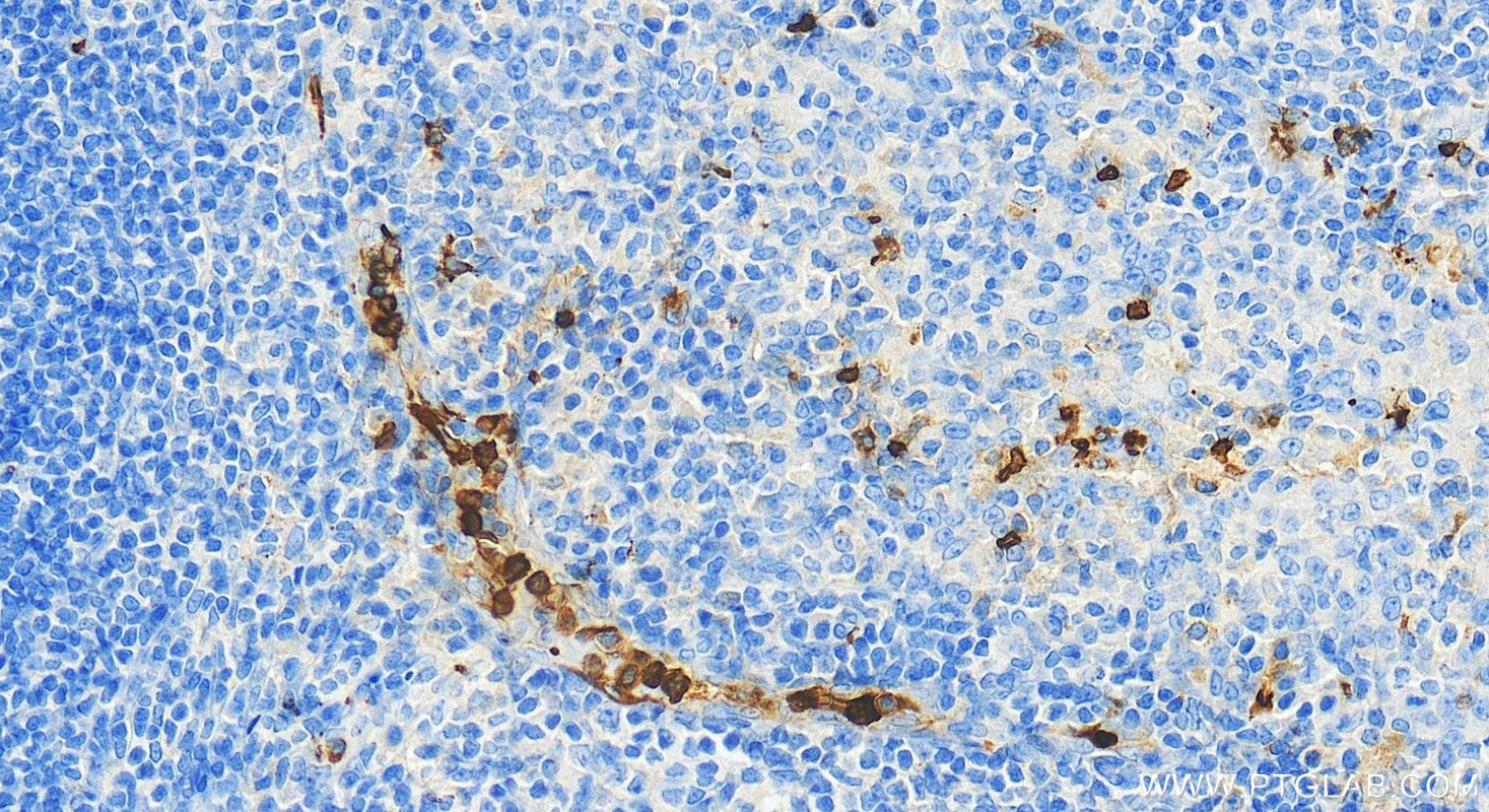
| Positive IHC detected in | human tonsillitis tissue Note: suggested antigen retrieval with TE buffer pH 9.0; (*) Alternatively, antigen retrieval may be performed with citrate buffer pH 6.0 |
推荐稀释比
| 应用 | 推荐稀释比 |
|---|---|
| Western Blot (WB) | WB : 1:200-1:1000 |
| Immunohistochemistry (IHC) | IHC : 1:4000-1:16000 |
| It is recommended that this reagent should be titrated in each testing system to obtain optimal results. | |
| Sample-dependent, Check data in validation data gallery. | |
产品信息
11791-1-AP targets TREM-1/CD354 in WB, IHC, IF, CoIP, ELISA applications and shows reactivity with human, mouse samples.
| 经测试应用 | WB, IHC, ELISA Application Description |
| 文献引用应用 | WB, IHC, IF, CoIP |
| 经测试反应性 | human, mouse |
| 文献引用反应性 | human, mouse |
| 免疫原 |
CatNo: Ag2418 Product name: Recombinant human TREM1 protein Source: e coli.-derived, PGEX-4T Tag: GST Domain: 1-234 aa of BC017773 Sequence: MRKTRLWGLLWMLFVSELRAATKLTEEKYELKEGQTLDVKCDYTLEKFASSQKAWQIIRDGEMPKTLACTERPSKNSHPVQVGRIILEDYHDHGLLRVRMVNLQVEDSGLYQCVIYQPPKEPHMLFDRIRLVVTKGFSGTPGSNENSTQNVYKIPPTTTKALCPLYTSPRTVTQAPPKSTADVSTPDSEINLTNVTDIIRVPVFNIVILLAGGFLSKSLVFSVLFAVTLRSFVP 种属同源性预测 |
| 宿主/亚型 | Rabbit / IgG |
| 抗体类别 | Polyclonal |
| 产品类型 | Antibody |
| 全称 | triggering receptor expressed on myeloid cells 1 |
| 别名 | TREM1, CD354, TREM 1 |
| 计算分子量 | 234 aa, 26 kDa |
| 观测分子量 | 30 kDa |
| GenBank蛋白编号 | BC017773 |
| 基因名称 | TREM1 |
| Gene ID (NCBI) | 54210 |
| RRID | AB_2208556 |
| 偶联类型 | Unconjugated |
| 形式 | Liquid |
| 纯化方式 | Antigen affinity purification |
| UNIPROT ID | Q9NP99 |
| 储存缓冲液 | PBS with 0.02% sodium azide and 50% glycerol, pH 7.3. |
| 储存条件 | Store at -20°C. Stable for one year after shipment. Aliquoting is unnecessary for -20oC storage. |
背景介绍
Triggering receptor expressed on myeloid cells 1 (TREM1, also known as CD354) is a member of the immunoglobulin superfamily, which is expressed on neutrophils and monocytes. TREM1 plays a role in the innate immune system. TREM1 amplifies neutrophil and monocyte-mediated inflammatory responses triggered by bacterial and fungal infections by stimulating release of pro-inflammatory chemokines and cytokines, as well as increased surface expression of cell activation markers.
实验方案
| Product Specific Protocols | |
|---|---|
| WB protocol for TREM-1/CD354 antibody 11791-1-AP | Download protocol |
| Standard Protocols | |
|---|---|
| Click here to view our Standard Protocols |
发表文章
| Species | Application | Title |
|---|---|---|
Theranostics A COX-2/sEH dual inhibitor PTUPB alleviates lipopolysaccharide-induced acute lung injury in mice by inhibiting NLRP3 inflammasome activation. | ||
Int Immunopharmacol Triggering receptor expressed on myeloid cells-1 aggravates obliterative bronchiolitis via enhancing the proinflammatory phenotype of macrophages | ||
ACS Chem Neurosci Pilot Screening of TREM1 Inhibitors in Cell-Based Reporter Assays Reflecting TREM1/DAP12 Receptor Assembly and Functionality | ||
Int Immunopharmacol Activation of NLRP3 inflammasome up-regulates TREM-1 expression in murine macrophages via HMGB1 and IL-18. | ||
Acta Trop Malaria-derived exosomes exacerbate liver injury during blood stage of Plasmodium berghei infection | ||
J Inflamm Res Overexpression of TREM1 is Associated with the Immune-Suppressive Microenvironment and Unfavorable Prognosis in Pan-Cancer |





