验证数据展示
经过测试的应用
| Positive WB detected in | HepG2 cells, mouse liver tissue, mouse spleen tissue |
| Positive IP detected in | mouse liver tissue |
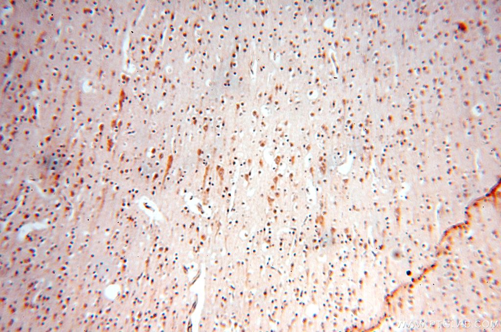
| Positive IHC detected in | human brain tissue, human kidney tissue, human ovary tissue, human placenta tissue, human spleen tissue, human testis tissue Note: suggested antigen retrieval with TE buffer pH 9.0; (*) Alternatively, antigen retrieval may be performed with citrate buffer pH 6.0 |
| Positive IF/ICC detected in | HeLa cells |
推荐稀释比
| 应用 | 推荐稀释比 |
|---|---|
| Western Blot (WB) | WB : 1:500-1:2000 |
| Immunoprecipitation (IP) | IP : 0.5-4.0 ug for 1.0-3.0 mg of total protein lysate |
| Immunohistochemistry (IHC) | IHC : 1:20-1:200 |
| Immunofluorescence (IF)/ICC | IF/ICC : 1:200-1:800 |
| It is recommended that this reagent should be titrated in each testing system to obtain optimal results. | |
| Sample-dependent, Check data in validation data gallery. | |
产品信息
15753-1-AP targets TRBP in WB, IHC, IF/ICC, IP, CoIP, RIP, ELISA applications and shows reactivity with human, mouse, rat samples.
| 经测试应用 | WB, IHC, IF/ICC, IP, ELISA Application Description |
| 文献引用应用 | WB, IF, IP, CoIP, RIP |
| 经测试反应性 | human, mouse, rat |
| 文献引用反应性 | human, mouse |
| 免疫原 |
CatNo: Ag8255 Product name: Recombinant human TRBP protein Source: e coli.-derived, PGEX-4T Tag: GST Domain: 1-366 aa of BC005860 Sequence: MSEEEQGSGTTTGCGLPSIEQMLAANPGKTPISLLQEYGTRIGKTPVYDLLKAEGQAHQPNFTFRVTVGDTSCTGQGPSKKAAKHKAAEVALKHLKGGSMLEPALEDSSSFSPLDSSLPEDIPVFTAAAAATPVPSVVLTRSPPMELQPPVSPQQSECNPVGALQELVVQKGWRLPEYTVTQESGPAHRKEFTMTCRVERFIEIGSGTSKKLAKRNAAAKMLLRVHTVPLDARDGNEVEPDDDHFSIGVGSRLDGLRNRGPGCTWDSLRNSVGEKILSLRSCSLGSLGALGPACCRVLSELSEEQAFHVSYLDIEELSLSGLCQCLVELSTQPATVCHGSATTREAARGEAARRALQYLKIMAGSK 种属同源性预测 |
| 宿主/亚型 | Rabbit / IgG |
| 抗体类别 | Polyclonal |
| 产品类型 | Antibody |
| 全称 | TAR (HIV-1) RNA binding protein 2 |
| 别名 | TARBP2, TRBP1, Trans-activation-responsive RNA-binding protein, TAR RNA-binding protein 2, RISC-loading complex subunit TARBP2 |
| 计算分子量 | 39 kDa |
| 观测分子量 | 43-46 kDa |
| GenBank蛋白编号 | BC005860 |
| 基因名称 | TRBP |
| Gene ID (NCBI) | 6895 |
| RRID | AB_2200485 |
| 偶联类型 | Unconjugated |
| 形式 | Liquid |
| 纯化方式 | Antigen affinity purification |
| UNIPROT ID | Q15633 |
| 储存缓冲液 | PBS with 0.02% sodium azide and 50% glycerol, pH 7.3. |
| 储存条件 | Store at -20°C. Stable for one year after shipment. Aliquoting is unnecessary for -20oC storage. |
背景介绍
TARBP2 is a component of the RISC loading complex (RLC), also known as the micro-RNA (miRNA) loading complex (miRLC). Within the complex, TARBP2 and DICER1 are required to process precursor miRNAs (pre-miRNA) to mature miRNA and then load them onto EIF2C2/AGO2. It may has a role in the production of short interfering RNAs (siRNAs) from double-stranded RNA (dsRNA) by DICER1. Otherwise, it binds to the HIV-1 TAR RNA that is located in the long terminal repeat (LTR) of HIV-1, and stimulates translation of TAR-containing RNAs. The endogenous TRBP that was present in HEK293 cells, with apparent molecular masses of 43-46 kDa, are expressed in human cells. (PMID: 16142218)
实验方案
| Product Specific Protocols | |
|---|---|
| IF protocol for TRBP antibody 15753-1-AP | Download protocol |
| IHC protocol for TRBP antibody 15753-1-AP | Download protocol |
| IP protocol for TRBP antibody 15753-1-AP | Download protocol |
| WB protocol for TRBP antibody 15753-1-AP | Download protocol |
| Standard Protocols | |
|---|---|
| Click here to view our Standard Protocols |
发表文章
| Species | Application | Title |
|---|---|---|
Mol Cell Nuclear TARBP2 Drives Oncogenic Dysregulation of RNA Splicing and Decay.
| ||
Nat Commun Hypoxia regulates overall mRNA homeostasis by inducing Met1-linked linear ubiquitination of AGO2 in cancer cells. | ||
Nucleic Acids Res S6K2-mediated regulation of TRBP as a determinant of miRNA expression in human primary lymphatic endothelial cells.
| ||
J Med Chem Identification of a Novel TAR RNA-Binding Protein 2 Modulator with Potential Therapeutic Activity against Hepatocellular Carcinoma. |

















