验证数据展示
经过测试的应用
| Positive WB detected in | mouse brain tissue |
| Positive IP detected in | mouse brain tissue |
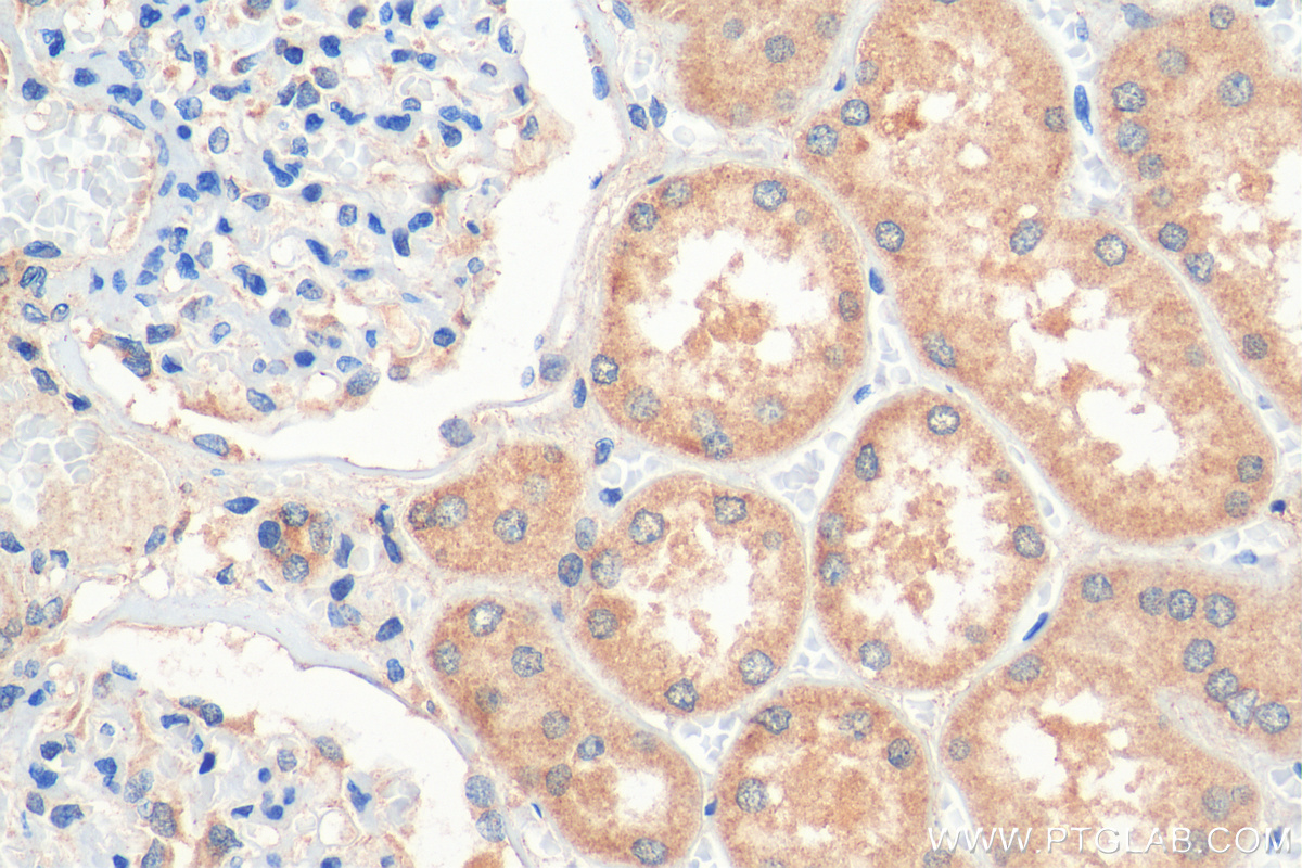
| Positive IHC detected in | human kidney tissue, mouse brain tissue, mouse skeletal muscle tissue Note: suggested antigen retrieval with TE buffer pH 9.0; (*) Alternatively, antigen retrieval may be performed with citrate buffer pH 6.0 |
| Positive IF/ICC detected in | HEK-293 cells |
推荐稀释比
| 应用 | 推荐稀释比 |
|---|---|
| Western Blot (WB) | WB : 1:500-1:1000 |
| Immunoprecipitation (IP) | IP : 0.5-4.0 ug for 1.0-3.0 mg of total protein lysate |
| Immunohistochemistry (IHC) | IHC : 1:50-1:500 |
| Immunofluorescence (IF)/ICC | IF/ICC : 1:50-1:500 |
| It is recommended that this reagent should be titrated in each testing system to obtain optimal results. | |
| Sample-dependent, Check data in validation data gallery. | |
产品信息
16014-1-AP targets TRAPPC9, NIBP in WB, IHC, IF/ICC, IP, CoIP, ELISA applications and shows reactivity with human, mouse, rat samples.
| 经测试应用 | WB, IHC, IF/ICC, IP, ELISA Application Description |
| 文献引用应用 | WB, IHC, IF, IP, CoIP |
| 经测试反应性 | human, mouse, rat |
| 文献引用反应性 | human, mouse, zebrafish |
| 免疫原 |
CatNo: Ag8791 Product name: Recombinant human TRAPPC9,NIBP protein Source: e coli.-derived, PGEX-4T Tag: GST Domain: 563-912 aa of BC006206 Sequence: SCQENLLQDLSDDGISVSGFPLSSPFRQVVRPRVEGKPVNPPESNKAGDYSHVKTLEAVLNFKYSGGPGHTEGYYRNLSLGLHVEVEPSVFFTRVSTLPATSTRQCHLLLDVFNSTEHELTVSTRSSEALILHAGECQRMAIQVDKFNFESFPESPGEKGQFANPKQLEEERREARGLEIHSKLGICWRIPSLKRSGEASVEGLLNQLVLEHLQLAPLQWDVLVDGQPCDREAVAACQVGDPVRLEVRLTNRSPRSVGPFALTVVPFQDHQNGVHNYDLHDTVSFVGSSTFYLDAVQPSGQSACLGALLFLYTGDFFLHIRFHEDSTSKELPPSWFCLPSVHVCALEAQA 种属同源性预测 |
| 宿主/亚型 | Rabbit / IgG |
| 抗体类别 | Polyclonal |
| 产品类型 | Antibody |
| 全称 | trafficking protein particle complex 9 |
| 别名 | NIBP, TRAPPC9, TRAPPC9,NIBP, TRAPPC9/NIBP, NIK- and IKBKB-binding protein |
| 计算分子量 | 139 kDa |
| 观测分子量 | 128-140 kDa |
| GenBank蛋白编号 | BC006206 |
| 基因名称 | NIBP/Trappc9 |
| Gene ID (NCBI) | 83696 |
| RRID | AB_2256482 |
| 偶联类型 | Unconjugated |
| 形式 | Liquid |
| 纯化方式 | Antigen affinity purification |
| UNIPROT ID | Q96Q05 |
| 储存缓冲液 | PBS with 0.02% sodium azide and 50% glycerol, pH 7.3. |
| 储存条件 | Store at -20°C. Stable for one year after shipment. Aliquoting is unnecessary for -20oC storage. |
背景介绍
TRAPPC9, also named KIAA1882 and NIBP, belongs to the NIBP family. It functions as an activator of NF-kappa-B through increased phosphorylation of the IKK complex. TRAPPC9 may function in neuronal cell differentiation and play a role in vesicular transport from the endoplasmic reticulum to the Golgi. TRAPPC9 was found in neurons of the cerebral cortex, hippocampus, and deep gray matter. Western blotting indicates the molecular weight of TRAPPC9 is 130-140 kDa, and 250 kDa may be detected with extensive posttranslational modification of TRAPPC9.
实验方案
| Product Specific Protocols | |
|---|---|
| IF protocol for TRAPPC9, NIBP antibody 16014-1-AP | Download protocol |
| IHC protocol for TRAPPC9, NIBP antibody 16014-1-AP | Download protocol |
| IP protocol for TRAPPC9, NIBP antibody 16014-1-AP | Download protocol |
| WB protocol for TRAPPC9, NIBP antibody 16014-1-AP | Download protocol |
| Standard Protocols | |
|---|---|
| Click here to view our Standard Protocols |
发表文章
| Species | Application | Title |
|---|---|---|
Proc Natl Acad Sci U S A Primary cilia membrane assembly is initiated by Rab11 and transport protein particle II (TRAPPII) complex-dependent trafficking of Rabin8 to the centrosome. | ||
Int J Biol Sci Defective neurite elongation and branching in Nibp/Trappc9 deficient zebrafish and mice | ||
EMBO Rep TRAPPC1 is essential for the maintenance and differentiation of common myeloid progenitors in mice | ||
J Biol Chem The C7orf43/TRAPPC14 component links the TRAPPII complex to RABIN8 for preciliary vesicle tethering at the mother centriole during ciliogenesis.
| ||
Tumour Biol NIK- and IKKβ-binding protein promotes colon cancer metastasis by activating the classical NF-κB pathway and MMPs. |








