验证数据展示
经过测试的应用
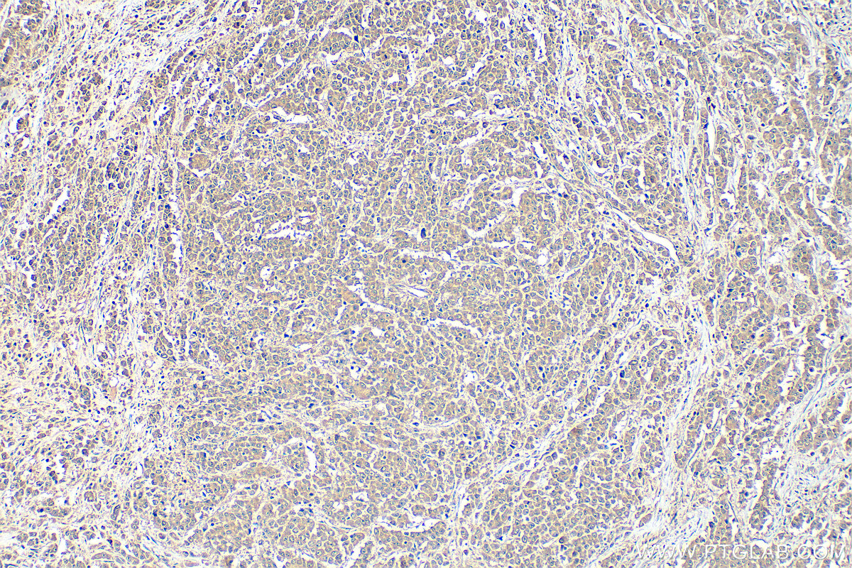
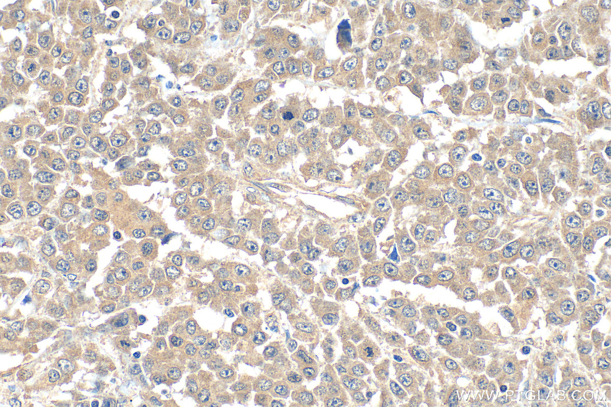
| Positive IHC detected in | human colon cancer tissue Note: suggested antigen retrieval with TE buffer pH 9.0; (*) Alternatively, antigen retrieval may be performed with citrate buffer pH 6.0 |
| Positive IF-P detected in | human colon cancer tissue |
推荐稀释比
| 应用 | 推荐稀释比 |
|---|---|
| Immunohistochemistry (IHC) | IHC : 1:300-1:1200 |
| Immunofluorescence (IF)-P | IF-P : 1:50-1:500 |
| It is recommended that this reagent should be titrated in each testing system to obtain optimal results. | |
| Sample-dependent, Check data in validation data gallery. | |
产品信息
11780-1-AP targets TRAF7 in WB, IHC, IF-P, CoIP, ELISA applications and shows reactivity with human samples.
| 经测试应用 | IHC, IF-P, ELISA Application Description |
| 文献引用应用 | WB, IHC, IF, CoIP |
| 经测试反应性 | human |
| 文献引用反应性 | human, mouse, rat, zebrafish |
| 免疫原 |
CatNo: Ag2414 Product name: Recombinant human TRAF7 protein Source: e coli.-derived, PGEX-4T Tag: GST Domain: 70-420 aa of BC024267 Sequence: QAALQDSMPPISTPRRSDSAISVRSLHSESSMSLRSTFSLPEEEEEPEPLVFAEQPSVKLCCQLCCSVFKDPVITTCGHTFCRRCALKSEKCPVDNVKLTVVVNNIAVAEQIGELFIHCRHGCRVAGSGKPPIFEVDPRGCPFTIKLSARKDHEGSCDYRPVRCPNNPSCPPLLRMNLEAHLKECEHIKCPHSKYGCTFIGNQDTYETHLETCRFEGLKEFLQQTDDRFHEMHVALAQKDQEIAFLRSMLGKLSEKIDQLEKSLELKFDVLDENQSKLSEDLMEFRRDASMLNDELSHINARLNMGILGSYDPQQIFKCKGTFVGHQGPVWCLCVYSMGDLLFSGSSDKTI 种属同源性预测 |
| 宿主/亚型 | Rabbit / IgG |
| 抗体类别 | Polyclonal |
| 产品类型 | Antibody |
| 全称 | TNF receptor-associated factor 7 |
| 别名 | E3 ubiquitin-protein ligase TRAF7, EC:2.3.2.-, RFWD1, RING finger and WD repeat-containing protein 1, RING-type E3 ubiquitin transferase TRAF7 |
| 计算分子量 | 75 kDa |
| 观测分子量 | 67-75 kDa |
| GenBank蛋白编号 | BC024267 |
| 基因名称 | TRAF7 |
| Gene ID (NCBI) | 84231 |
| RRID | AB_2877793 |
| 偶联类型 | Unconjugated |
| 形式 | Liquid |
| 纯化方式 | Antigen affinity purification |
| UNIPROT ID | Q6Q0C0 |
| 储存缓冲液 | PBS with 0.02% sodium azide and 50% glycerol, pH 7.3. |
| 储存条件 | Store at -20°C. Stable for one year after shipment. Aliquoting is unnecessary for -20oC storage. |
实验方案
| Product Specific Protocols | |
|---|---|
| IF protocol for TRAF7 antibody 11780-1-AP | Download protocol |
| IHC protocol for TRAF7 antibody 11780-1-AP | Download protocol |
| Standard Protocols | |
|---|---|
| Click here to view our Standard Protocols |
发表文章
| Species | Application | Title |
|---|---|---|
Kidney Int Copy number variation analysis identifies novel CAKUT candidate genes in children with a solitary functioning kidney. | ||
Mol Ther Nucleic Acids HFD-induced TRAF6 upregulation promotes liver cholesterol accumulation and fatty liver development via EZH2-mediated miR-429/PPARα axis. | ||
Virol Sin TRAF7 negatively regulates the RLR signaling pathway by facilitating the K48-linked ubiquitination of TBK1
| ||
Cell Death Discov TRAF7-targeted HOXA5 acts as a tumor suppressor in prostate cancer progression and stemness via transcriptionally activating SPRY2 and regulating MEK/ERK signaling | ||
Free Radic Biol Med Hydrogen sulfide improves endothelial barrier function by modulating the ubiquitination degradation of KLF4 through TRAF7 S-sulfhydration in diabetic aorta | ||
Genes (Basel) Expression of Congenital Anomalies of the Kidney and Urinary Tract (CAKUT) Candidate Genes EDA2R, PCDH9, and TRAF7 in Normal Human Kidney Development and CAKUT |


