验证数据展示
经过测试的应用
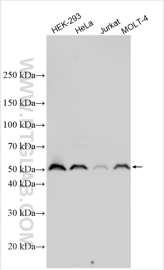
| Positive WB detected in | HEK-293 cells, HeLa cells, human testis tissue, Jurkat cells, MOLT-4 cells |
| Positive IP detected in | HeLa cells |
推荐稀释比
| 应用 | 推荐稀释比 |
|---|---|
| Western Blot (WB) | WB : 1:1000-1:6000 |
| Immunoprecipitation (IP) | IP : 0.5-4.0 ug for 1.0-3.0 mg of total protein lysate |
| It is recommended that this reagent should be titrated in each testing system to obtain optimal results. | |
| Sample-dependent, Check data in validation data gallery. | |
产品信息
26846-1-AP targets TRAF2 in WB, IHC, IF, IP, ELISA applications and shows reactivity with human samples.
| 经测试应用 | WB, IP, ELISA Application Description |
| 文献引用应用 | WB, IHC, IF, IP |
| 经测试反应性 | human |
| 文献引用反应性 | human, mouse, rat, pig, bovine, sheep |
| 免疫原 |
CatNo: Ag25387 Product name: Recombinant human TRAF2 protein Source: e coli.-derived, PGEX-4T Tag: GST Domain: 438-501 aa of BC032410 Sequence: NNREHVIDAFRPDVTSSSFQRPVNDMNIASGCPLFCPVSKMEAKNSYVRDDAIFIKAIVDLTGL 种属同源性预测 |
| 宿主/亚型 | Rabbit / IgG |
| 抗体类别 | Polyclonal |
| 产品类型 | Antibody |
| 全称 | TNF receptor-associated factor 2 |
| 别名 | E3 ubiquitin-protein ligase TRAF2, EC:2.3.2.27, RING-type E3 ubiquitin transferase TRAF2, TNF receptor-associated factor 2, TRAP |
| 计算分子量 | 56 kDa |
| 观测分子量 | 53 kDa |
| GenBank蛋白编号 | BC032410 |
| 基因名称 | TRAF2 |
| Gene ID (NCBI) | 7186 |
| RRID | AB_2880656 |
| 偶联类型 | Unconjugated |
| 形式 | Liquid |
| 纯化方式 | Antigen affinity purification |
| UNIPROT ID | Q12933 |
| 储存缓冲液 | PBS with 0.02% sodium azide and 50% glycerol, pH 7.3. |
| 储存条件 | Store at -20°C. Stable for one year after shipment. Aliquoting is unnecessary for -20oC storage. |
背景介绍
Tumor necrosis factor (TNF) receptor-associated factor-2 (TRAF2) is one of the members of the TRAF superfamily protein, which is an intracellular junction protein with E3 ligase activity. TRAF2 mediates and regulates the activation of nuclear factor kappa B (NF-κB) and microtubule-associated protein kinase (MAPK) signaling pathways by binding to TNFR family proteins. Recent studies have demonstrated that TRAF2 regulates tumor progression through multiple pathways.
实验方案
| Product Specific Protocols | |
|---|---|
| IF protocol for TRAF2 antibody 26846-1-AP | Download protocol |
| IHC protocol for TRAF2 antibody 26846-1-AP | Download protocol |
| IP protocol for TRAF2 antibody 26846-1-AP | Download protocol |
| WB protocol for TRAF2 antibody 26846-1-AP | Download protocol |
| Standard Protocols | |
|---|---|
| Click here to view our Standard Protocols |
发表文章
| Species | Application | Title |
|---|---|---|
Emerg Microbes Infect African swine fever virus modulates the endoplasmic reticulum stress-ATF6-calcium axis to facilitate viral replication | ||
Redox Biol FUT2-dependent fucosylation of HYOU1 protects intestinal stem cells against inflammatory injury by regulating unfolded protein response | ||
J Hematol Oncol Integrated proteogenomic characterization of urothelial carcinoma of the bladder. | ||
J Hazard Mater Endoplasmic reticulum stress manipulates autophagic response that antagonizes polybrominated diphenyl ethers quinone induced cytotoxicity in microglial BV2 cells. | ||
EMBO Rep Snail enhances arginine synthesis by inhibiting ubiquitination-mediated degradation of ASS1.
| ||
Free Radic Biol Med TRAF2 inhibits senescence in hepatocellular carcinoma cells via regulating the ROMO1/ NAD+/SIRT3/SOD2 axis
|








