验证数据展示
经过测试的应用
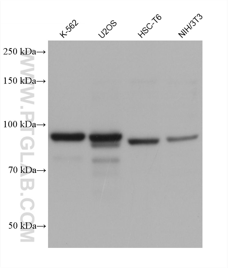
| Positive WB detected in | A549 cells, HEK-293 cells, Jurkat cells, K-562 cells, MCF-7 cells, HeLa cells, U2OS cells, HSC-T6 cells, NIH/3T3 cells |
| Positive IF/ICC detected in | U2OS cells, A549 cells |
推荐稀释比
| 应用 | 推荐稀释比 |
|---|---|
| Western Blot (WB) | WB : 1:5000-1:50000 |
| Immunofluorescence (IF)/ICC | IF/ICC : 1:2000-1:8000 |
| It is recommended that this reagent should be titrated in each testing system to obtain optimal results. | |
| Sample-dependent, Check data in validation data gallery. | |
产品信息
68712-1-Ig targets TPX2 in WB, IF/ICC, ELISA applications and shows reactivity with human, mouse, rat samples.
| 经测试应用 | WB, IF/ICC, ELISA Application Description |
| 经测试反应性 | human, mouse, rat |
| 免疫原 |
CatNo: Ag33683 Product name: Recombinant human TPX2 protein Source: e coli.-derived, PET28a Tag: 6*His Domain: 1-395 aa of BC020207 Sequence: MSQVKSSYSYDAPSDFINFSSLDDEGDTQNIDSWFEEKANLENKLLGKNGTGGLFQGKTPLRKANLQQAIVTPLKPVDNTYYKEAEKENLVEQSIPSNACSSLEVEAAISRKTPAQPQRRSLRLSAQKDLEQKEKHHVKMKAKRCATPVIIDEILPSKKMKVSNNKKKPEEEGSAHQDTAEKNASSPEKAKGRHTVPCMPPAKQKFLKSTEEQELEKSMKMQQEVVEMRKKNEEFKKLALAGIGQPVKKSVSQVTKSVDFHFRTDERIKQHPKNQEEYKEVNFTSELRKHPSSPARVTKGCTIVKPFNLSQGKKRTFDETVSTYVPLAQQVEDFHKRTPNRYHLRSKKDDINLLPSKSSVTKICRDPQTPVLQTKHRARAVTCKSTAELEAEELE 种属同源性预测 |
| 宿主/亚型 | Mouse / IgG2b |
| 抗体类别 | Monoclonal |
| 产品类型 | Antibody |
| 全称 | TPX2, microtubule-associated, homolog (Xenopus laevis) |
| 别名 | 2E10C1, C20orf1, C20orf2, Differentially expressed in cancerous and non-cancerous lung cells 2, DIL 2 |
| 计算分子量 | 747 aa, 86 kDa |
| 观测分子量 | 98 kDa |
| GenBank蛋白编号 | BC020207 |
| 基因名称 | TPX2 |
| Gene ID (NCBI) | 22974 |
| RRID | AB_3670405 |
| 偶联类型 | Unconjugated |
| 形式 | Liquid |
| 纯化方式 | Protein A purification |
| UNIPROT ID | Q9ULW0 |
| 储存缓冲液 | PBS with 0.02% sodium azide and 50% glycerol, pH 7.3. |
| 储存条件 | Store at -20°C. Stable for one year after shipment. Aliquoting is unnecessary for -20oC storage. |
背景介绍
TPX2, also known as DIL2, p10, is a microtubule organization- and cell cycle-associated protein. In the early stage of mitosis, TPX2 is released in a RanGTP-dependent manner and plays a significant role in mitotic spindle formation and subsequent proper segregation of chromosomes during cell division. Furthermore, during interphase, TPX2 is involved in DNA damage response by regulation of γ-H2AX signals(PMID: 25914189). Aberrant expression of TPX2 leads to improper spindle assembly and chromosomal instability. Overexpressed in cancers, TPX2 is being established as the marker for the diagnosis and prognosis of malignancies(PMID: 24556998).
实验方案
| Product Specific Protocols | |
|---|---|
| IF protocol for TPX2 antibody 68712-1-Ig | Download protocol |
| WB protocol for TPX2 antibody 68712-1-Ig | Download protocol |
| Standard Protocols | |
|---|---|
| Click here to view our Standard Protocols |





