验证数据展示
经过测试的应用
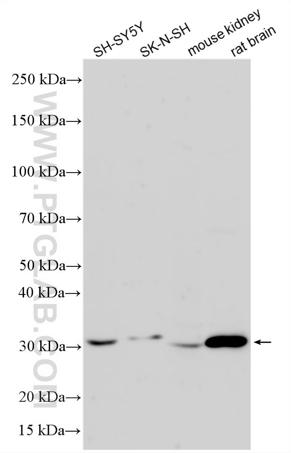
| Positive WB detected in | SH-SY5Y cells, SK-N-SH cells, mouse kidney tissue, rat brain tissue |
推荐稀释比
| 应用 | 推荐稀释比 |
|---|---|
| Western Blot (WB) | WB : 1:1000-1:6000 |
| It is recommended that this reagent should be titrated in each testing system to obtain optimal results. | |
| Sample-dependent, Check data in validation data gallery. | |
产品信息
33038-1-AP targets TPRG1L in WB, ELISA applications and shows reactivity with human, mouse, rat samples.
| 经测试应用 | WB, ELISA Application Description |
| 经测试反应性 | human, mouse, rat |
| 免疫原 |
CatNo: Ag37863 Product name: Recombinant human TPRG1L protein Source: e coli.-derived, PGEX-4T Tag: GST Domain: 1-90 aa of BC019034 Sequence: MLQLRDSVDSAGTSPTAVLAAGEEVGAGGGPGGGRPGAGTPLRQTLWPLSIHDPTRRARVKEYFVFRPGSIEQAVEEIRVVVRPVEDGEI 种属同源性预测 |
| 宿主/亚型 | Rabbit / IgG |
| 抗体类别 | Polyclonal |
| 产品类型 | Antibody |
| 全称 | tumor protein p63 regulated 1-like |
| 别名 | FAM79A, h mover, Mossy fiber terminal-associated vertebrate-specific presynaptic protein, MOVER, Protein FAM79A |
| 观测分子量 | 31 kDa |
| GenBank蛋白编号 | BC019034 |
| 基因名称 | TPRG1L |
| Gene ID (NCBI) | 127262 |
| 偶联类型 | Unconjugated |
| 形式 | Liquid |
| 纯化方式 | Antigen affinity Purification |
| UNIPROT ID | Q5T0D9 |
| 储存缓冲液 | PBS with 0.02% sodium azide and 50% glycerol, pH 7.3. |
| 储存条件 | Store at -20°C. Stable for one year after shipment. Aliquoting is unnecessary for -20oC storage. |
背景介绍
TPRG1L (Tumor protein p63-regulated gene 1-like protein) belongs to the presynaptic protein involved in the synaptic transmission tuning. It can regulate synaptic release probability by decreasing the calcium sensitivity of release. TPRG1L has two isoforms with molecular weights of 30kd and 23kd respectively.
实验方案
| Product Specific Protocols | |
|---|---|
| WB protocol for TPRG1L antibody 33038-1-AP | Download protocol |
| Standard Protocols | |
|---|---|
| Click here to view our Standard Protocols |
